HSF1 (Ab-303) Antibody
-
中文名稱:HSF1 (Ab-303)兔多克隆抗體
-
貨號:CSB-PA796250
-
規格:¥2024
-
圖片:
-
Western blot analysis of extracts from MCF7 cells using HSF1(Ab-303) Antibody and the same antibody preincubated with blocking peptide.
-
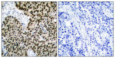
Immunohistochemical analysis of paraffin-embedded human breast carcinoma tissue using HSF1(Ab-303) Antibody(left) or the same antibody preincubated with blocking peptide(right).
-
-
其他:
產品詳情
-
產品名稱:Rabbit anti-Homo sapiens (Human) HSF1 Polyclonal antibody
-
Uniprot No.:
-
基因名:
-
宿主:Rabbit
-
反應種屬:Human
-
免疫原:Peptide sequence around aa.301~305 (P-P-S-P-P) derived from Human HSF1.
-
免疫原種屬:Homo sapiens (Human)
-
克隆類型:Polyclonal
-
純化方式:Antibodies were produced by immunizing rabbits with synthetic peptide and KLH conjugates. Antibodies were purified by affinity-chromatography using epitope-specific peptide.
-
濃度:It differs from different batches. Please contact us to confirm it.
-
產品提供形式:Liquid
-
應用范圍:ELISA,WB,IHC
-
推薦稀釋比:
Application Recommended Dilution WB 1:500-1:1000 IHC 1:50-1:200 -
Protocols:
-
儲存條件:Upon receipt, store at -20°C or -80°C. Avoid repeated freeze.
-
貨期:Basically, we can dispatch the products out in 1-3 working days after receiving your orders. Delivery time maybe differs from different purchasing way or location, please kindly consult your local distributors for specific delivery time.
-
用途:For Research Use Only. Not for use in diagnostic or therapeutic procedures.
相關產品
靶點詳情
-
功能:Functions as a stress-inducible and DNA-binding transcription factor that plays a central role in the transcriptional activation of the heat shock response (HSR), leading to the expression of a large class of molecular chaperones heat shock proteins (HSPs) that protect cells from cellular insults' damage. In unstressed cells, is present in a HSP90-containing multichaperone complex that maintains it in a non-DNA-binding inactivated monomeric form. Upon exposure to heat and other stress stimuli, undergoes homotrimerization and activates HSP gene transcription through binding to site-specific heat shock elements (HSEs) present in the promoter regions of HSP genes. Activation is reversible, and during the attenuation and recovery phase period of the HSR, returns to its unactivated form. Binds to inverted 5'-NGAAN-3' pentamer DNA sequences. Binds to chromatin at heat shock gene promoters. Plays also several other functions independently of its transcriptional activity. Involved in the repression of Ras-induced transcriptional activation of the c-fos gene in heat-stressed cells. Positively regulates pre-mRNA 3'-end processing and polyadenylation of HSP70 mRNA upon heat-stressed cells in a symplekin (SYMPK)-dependent manner. Plays a role in nuclear export of stress-induced HSP70 mRNA. Plays a role in the regulation of mitotic progression. Plays also a role as a negative regulator of non-homologous end joining (NHEJ) repair activity in a DNA damage-dependent manner. Involved in stress-induced cancer cell proliferation in a IER5-dependent manner.; (Microbial infection) Plays a role in latent human immunodeficiency virus (HIV-1) transcriptional reactivation. Binds to the HIV-1 long terminal repeat promoter (LTR) to reactivate viral transcription by recruiting cellular transcriptional elongation factors, such as CDK9, CCNT1 and EP300.
-
基因功能參考文獻:
- HSF1 may be closely associated with the proliferation and motility of gastric cancer cells and poor prognosis of patients with gastric cancer. Accordingly, HSF1 could serve as a prognostic marker for gastric cancer. PMID: 30328318
- HSF1 positively regulates the transcription of latent HIV PMID: 27189267
- A strong reduction in heat shock transcription factor 1 (HSF1) levels was evident in Huntington's Disease (HD). PMID: 28194040
- Variations in brain defects result from cellular mosaicism in the activation of Hsf1 heat shock signaling. PMID: 28462912
- Studies indicate that heat shock factor 1 (HSF1) acts in diverse stress-induced cellular processes and molecular mechanisms. PMID: 29774376
- In response to DNA damage, activated and auto-poly-ADP-ribosylated PARP1 dissociates from HSF1-PARP13, and redistributes to DNA lesions and DNA damage-inducible gene loci. PMID: 29158484
- Overexpressed HSF1 triggers pre-mRNA 3' processing in cancers. PMID: 29268782
- High HSF1 expression in tumor tissues may be a prognostic biomarker in patients with intrahepatic cholangiocarcinoma. PMID: 29278438
- Studies suggest that heat shock factor 1 (HSF1) serves to integrate diverse biological and pathological responses [Review]. PMID: 28890254
- The single nucleotide polymorphism rs78202224 (G>T) was significantly associated with increased risk of breast cancer. PMID: 29494616
- results thus contribute to the knowledge of the regulatory mechanism of HSF1 in down-regulating ArgBP2, providing new insight into the HSF1&MORC2-PRC2-ArgBP2 signaling pathway and a better understanding of their functions in gastric cancer cells. PMID: 29339121
- These findings indicate that activation of HSF1 at Ser326 residue and transcription of HSP27 is related to the maintenance of gynecological CSCs/CICs. PMID: 28415561
- Results show that HSF1 is a key transcription factor for inducing the expression of DNAJB8 and SOX2 and that cellular stress induces cancer stem-like cells through the expression of DNAJB8 by activation of HSF1 . PMID: 29316077
- The mRNA expression levels of heat shock transcription factor 1 (HSF1) in estrogen receptor (ER)-positive breast cancer are associated with both shorter relapse-free and overall survival. PMID: 27713164
- Our study provides evidence that HSF1 functions as a novel oncogene in pancreatic tumors and is implicated as a target for the diagnosis and treatment of pancreatic cancer. PMID: 28482903
- In normal ovarian tissues, HSF1 was barely detected, whereas, high expression of HSF1 was found in malignant epithelial ovarian cancer (EOC) tissues, including serous, mucinous, endometrioid, and clear cell EOC tissues. PMID: 28487934
- Our findings show that miR-487a, mediated by heat shock factor 1, promotes proliferation and metastasis of Hepatocellular carcinoma (HCC) by PIK3R1 and SPRED2 binding, respectively. Our study provides a rationale for developing miR-487a as a potential prognostic marker or a potential therapeutic target against HCC. PMID: 27827315
- HSF1 activity is decreased in fibrotic hearts. HSF1 inhibits phosphorylation and nuclear distribution of Smad3 via direct binding to Smad3. Active Smad3 blocks the anti-fibrotic effect of HSF1. PMID: 28091697
- Results suggest for targeting heat shock factor 1 (HSF1)activation in combination with bortezomib to enhance multiple myeloma treatment efficacy. PMID: 27487129
- MD simulation of high-resolution X-ray structures reveals post-translational modification dependent conformational changes in HSF-DNA interaction. PMID: 27882499
- We found that HSF1 activation mediated by 1,4-NQ upregulated downstream genes, such as HSPA6. The results suggest that activation of the HSP90-HSF1 signal transduction pathway mediated by 1,4-NQ protects cells against 1,4-NQ and that per/polysulfides can diminish the reactivity of 1,4-NQ by forming sulfur adducts. PMID: 28049024
- casein kinase 1 phosphorylates the SQSTM1 S349 residue when harmful proteins accumulate under HSF1 stress PMID: 27846364
- Evidence for the essential function of HSF1 in the transcriptional activation of TERRA and in telomere protection upon stress. PMID: 28369628
- Acetylation of the protein triggers TDP-43 pathology in cultured cells and mouse skeletal muscle, which can be cleared through an HSF1-dependent chaperone mechanism that disaggregates the protein. PMID: 28724966
- Low glucose culture hampered typical epithelial-mesenchymal transition-like morphological change, "cadherin switching," and cell migration of hepatocellular carcinoma cells through inducing persistent down-regulation of HSF1, resulting in direct inhibition of snail1 expression. PMID: 27755964
- piR-823 increased the transcriptional activity of HSF1, the common transcription factor of HSPs, by binding to HSF1 and promoting its phosphorylation at Ser326. PMID: 28618124
- Reporter assay showed that HSF1 increased the transcriptional activity of ATG4B gene promoter, and chromatin immunoprecipitation assay verified that HSF1 bound to the site (-1429 to -1417) in ATG4B gene promoter region. PMID: 28889000
- Knockdown of HSF1 reduced the proliferation, migration and invasion of osteosarcoma cells, while overexpression of HSF1 promoted the proliferation, migration and invasion of osteosarcoma cells. PMID: 28370690
- Studies indicate correlations between heat shock transcription factor 1 (HSF1) activity and the incidence of several cancer types. PMID: 27225066
- These findings suggest that HSF1 is important in the ovarian cancer TGFbeta response and in Epithelial-Mesenchymal Transition. PMID: 27997575
- BRD4 regulates splicing during heat shock by interacting with HSF1 such that under heat stress BRD4 is recruited to nuclear stress bodies, and non-coding SatIII RNA transcripts are up-regulated. PMID: 27536004
- Results demonstrate that p38 MAPK not only causes phosphorylation of HSF1 at S326 but also at S303/307 , and transcriptionally activates HSF1. PMID: 27354066
- HSF1 translationally augments the proteotoxic stress response. PMID: 27043084
- Heat Shock Factor 1 Depletion Sensitizes A172 Glioblastoma Cells to Temozolomide via Suppression of Cancer Stem Cell-Like Properties. PMID: 28241425
- By showing transcription factor HSF1 activation, we demonstrated that HCA induces the expression of BAG3 through HSF1 activation. More importantly, knockdown of BAG3 expression using siRNA largely inhibited HCA-induced apoptosis, suggesting that BAG3 is actively involved in HCA-induced cancer cell death PMID: 27922674
- miR-34b suppressed AML cell proliferation and survival by targeting HSF1, in turn leading to the inactivation of Wnt-beta-catenin pathway, which may highlight a new therapeutic approach for AML. PMID: 27296951
- The evidence of genetic associations has been found for the multivariate response phenotype that involves trans effects modulating expression of genes following heat shock, including HSF1 and UBQLN1. PMID: 27553423
- M3-mAChR activation leads to enhancement of hsp expression via PKC-dependent phosphorylation of HSF1, thereby stabilizing the mutant hERG-FLAG protein. Thus, M3-mAChR activators may have a therapeutic value for patients with LQT2. PMID: 27803431
- Oncogenic signaling mobilizes HSF1, cancer cells rely on HSF1 to avert proteomic instability and repress tumor-suppressive amyloidogenesis. [review] PMID: 26597576
- These results reveal the existence of a novel IER5-mediated cancer regulation pathway that is responsible for the activation of HSF1 observed in various cancers. PMID: 26754925
- The authors found a temperature-dependent unfolding of Hsf1 in the regulatory region happening concomitant to tighter packing in the trimerization region. PMID: 26785146
- Ginsenoside Rg3 induces FUT4-mediated apoptosis in H. pylori CagA-treated gastric cancer cells by regulating SP1 and HSF1 expressions PMID: 26427350
- Aberrant HSF1 degradation is a key neurodegenerative mechanism underlying alpha-synucleinopathy. Elevated NEDD4 is implicated as the responsible ubiquitin E3 ligase for HSF1 degradation through ubiquitin-proteasome system. PMID: 26503960
- High HSF1 expression is associated with acute myeloid leukemia. PMID: 26473447
- Glucose, but not 2D-glucose, can induce the phosphorylation of HSF1 at S326 and upregulate the expression of HSF1's downstream alpha B-crystallin and Hsp70 PMID: 26010766
- Data show that tonantzitlolone (TZL) was able to induce protein kinase c theta (PKCtheta;)-dependent heat shock transcription factor 1 (HSF1)phosphorylation. PMID: 26298773
- Data suggest that heat shock factor 1 (HSF1) interacts with both Ku autoantigens Ku70 and Ku86 to induce defective non-homologous end joining (NHEJ) repair activity and genomic instability. PMID: 26359349
- Suggest that the early activation of Hsf1 dependent cell stress pathway by mono-allelic mutations in APC can affect cell programming in a way that contributes to cancer onset. PMID: 26320184
- The study presents cocrystal structures of the human HSF1 DNA-binding domain in complex with cognate DNA. PMID: 26727489
- Phosphorylation of HSF1 at Ser230 is responsible for Hsp70-1 upregulation during coxsackieviral infection. PMID: 26361762
顯示更多
收起更多
-
亞細胞定位:Nucleus. Cytoplasm. Nucleus, nucleoplasm. Cytoplasm, perinuclear region. Cytoplasm, cytoskeleton, spindle pole. Cytoplasm, cytoskeleton, microtubule organizing center, centrosome. Chromosome, centromere, kinetochore.
-
蛋白家族:HSF family
-
數據庫鏈接:
Most popular with customers
-
-
YWHAB Recombinant Monoclonal Antibody
Applications: ELISA, WB, IHC, IF, FC
Species Reactivity: Human, Mouse, Rat
-
Phospho-YAP1 (S127) Recombinant Monoclonal Antibody
Applications: ELISA, WB, IHC
Species Reactivity: Human
-
-
-
-
-















