HSD11B1L Antibody
-
中文名稱:HSD11B1L兔多克隆抗體
-
貨號:CSB-PA770354LA01HU
-
規格:¥440
-
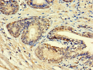
圖片:
-
其他:
產品詳情
-
產品名稱:Rabbit anti-Homo sapiens (Human) HSD11B1L Polyclonal antibody
-
Uniprot No.:
-
基因名:HSD11B1L
-
別名:HSD11B1L antibody; HSD3 antibody; SCDR10 antibody; SDR26C2Hydroxysteroid 11-beta-dehydrogenase 1-like protein antibody; EC 1.1.1.- antibody; 11-beta-hydroxysteroid dehydrogenase type 3 antibody; 11-DH3 antibody; 11-beta-HSD3 antibody; Short chain dehydrogenase/reductase family 26C member 2 antibody; Short-chain dehydrogenase/reductase 10 antibody
-
宿主:Rabbit
-
反應種屬:Human
-
免疫原:Recombinant Human Hydroxysteroid 11-beta-dehydrogenase 1-like protein (17-87AA)
-
免疫原種屬:Homo sapiens (Human)
-
標記方式:Non-conjugated
本頁面中的產品,HSD11B1L Antibody (CSB-PA770354LA01HU),的標記方式是Non-conjugated。對于HSD11B1L Antibody,我們還提供其他標記。見下表:
-
克隆類型:Polyclonal
-
抗體亞型:IgG
-
純化方式:>95%, Protein G purified
-
濃度:It differs from different batches. Please contact us to confirm it.
-
保存緩沖液:Preservative: 0.03% Proclin 300
Constituents: 50% Glycerol, 0.01M PBS, PH 7.4 -
產品提供形式:Liquid
-
應用范圍:ELISA, IHC
-
推薦稀釋比:
Application Recommended Dilution IHC 1:20-1:200 -
Protocols:
-
儲存條件:Upon receipt, store at -20°C or -80°C. Avoid repeated freeze.
-
貨期:Basically, we can dispatch the products out in 1-3 working days after receiving your orders. Delivery time maybe differs from different purchasing way or location, please kindly consult your local distributors for specific delivery time.
-
用途:For Research Use Only. Not for use in diagnostic or therapeutic procedures.
相關產品
靶點詳情
-
基因功能參考文獻:
- cloning, purification, and characterization of SCDR10B; highly expressed in brain (especially in hippocampal neurons); up-regulated in lung cancer cell lines and lung cancer tissue PMID: 19436836
-
亞細胞定位:Secreted.
-
蛋白家族:Short-chain dehydrogenases/reductases (SDR) family
-
數據庫鏈接:
Most popular with customers
-
-
YWHAB Recombinant Monoclonal Antibody
Applications: ELISA, WB, IHC, IF, FC
Species Reactivity: Human, Mouse, Rat
-
Phospho-YAP1 (S127) Recombinant Monoclonal Antibody
Applications: ELISA, WB, IHC
Species Reactivity: Human
-
-
-
-
-















