HPS1 Antibody
-
中文名稱:HPS1兔多克隆抗體
-
貨號:CSB-PA856438ESR1HU
-
規格:¥440
-
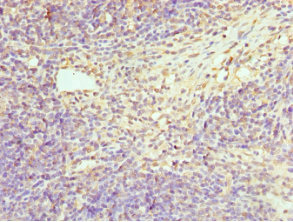
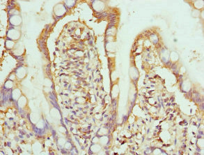
圖片:
-
其他:
產品詳情
-
產品名稱:Rabbit anti-Homo sapiens (Human) HPS1 Polyclonal antibody
-
Uniprot No.:
-
基因名:HPS1
-
別名:Hermansky Pudlak syndrome 1 protein antibody; Hermansky Pudlak syndrome gene antibody; Hermansky Pudlak syndrome type 1 antibody; Hermansky-Pudlak syndrome 1 antibody; Hermansky-Pudlak syndrome 1 protein antibody; HPS antibody; HPS1 antibody; HPS1_HUMAN antibody; MGC5277 antibody
-
宿主:Rabbit
-
反應種屬:Human
-
免疫原:Recombinant Human Hermansky-Pudlak syndrome 1 protein (1-324AA)
-
免疫原種屬:Homo sapiens (Human)
-
標記方式:Non-conjugated
-
克隆類型:Polyclonal
-
抗體亞型:IgG
-
純化方式:Antigen Affinity Purified
-
濃度:It differs from different batches. Please contact us to confirm it.
-
保存緩沖液:PBS with 0.02% sodium azide, 50% glycerol, pH7.3.
-
產品提供形式:Liquid
-
應用范圍:ELISA, IHC
-
推薦稀釋比:
Application Recommended Dilution IHC 1:20-1:200 -
Protocols:
-
儲存條件:Upon receipt, store at -20°C or -80°C. Avoid repeated freeze.
-
貨期:Basically, we can dispatch the products out in 1-3 working days after receiving your orders. Delivery time maybe differs from different purchasing way or location, please kindly consult your local distributors for specific delivery time.
-
用途:For Research Use Only. Not for use in diagnostic or therapeutic procedures.
相關產品
靶點詳情
-
功能:Component of the BLOC-3 complex, a complex that acts as a guanine exchange factor (GEF) for RAB32 and RAB38, promotes the exchange of GDP to GTP, converting them from an inactive GDP-bound form into an active GTP-bound form. The BLOC-3 complex plays an important role in the control of melanin production and melanosome biogenesis and promotes the membrane localization of RAB32 and RAB38.
-
基因功能參考文獻:
- HPS1 mutation is associated with high hypopigmentation in Hermansky-Pudlak syndrome. PMID: 27593200
- BLOC-3 is a Rab32 and Rab38 guanine nucleotide exchange factor, with a specific function in the biogenesis of lysosome-related organelles. Silencing of the BLOC-3 subunits Hps1 and Hps4 results in the mislocalization of Rab32 and Rab38. PMID: 23084991
- Seven mutations (six previously unreported) were described in the HPS1, HPS4, and HPS5 genes among Hermansky-Pudlak Syndrome patients of Mexican, Uruguayan, Honduran, Cuban, Venezuelan, and Salvadoran ancestries. PMID: 21833017
- a previously unreported missense mutation (G313S) at the 3' splice junction of exon 10 of Hermansky-Pudlak syndrome 1 protein resulted in activation of a cryptic intronic splice site causing an aberrantly spliced HPS1 mRNA PMID: 20662851
- Three different mutations in the HPS1 gene were found in the two families. PMID: 20514622
- Data show that recombinant HPS1-HPS4 produced in insect cells can be efficiently isolated as a 1:1 heterodimer, and might function as a Rab9 effector in the biogenesis of lysosome-related organelles. PMID: 20048159
- Description of mutations in HPS genes that cause Hermansky-Pudlak syndrome (review) PMID: 12125811
- Four novel mutations were discovered and the diagnosis of HPS-1, available only on molecular grounds, has important prognostic and treatment implications. PMID: 12442288
- identification as a component of two complexes, BLOC-3 and BLOC-4, involved in the biogenesis of lysosome-related organelles PMID: 12663659
- observations demonstrate that the Hermansky-Pudlak syndrome 1(HPS1) and HPS4 proteins are components of a cytosolic complex that is involved in the biogenesis of lysosomal-related organelles PMID: 12756248
- Biogenesis of lysosome-related organelles complex 3 (BLOC-3): a complex containing the Hermansky-Pudlak syndrome (HPS) proteins HPS1 and HPS4. PMID: 12847290
- Mutations in this gene are associated with Hermansky-Pudlak syndrome type 1. PMID: 16020891
- The first case report of a Chinese Hermansky-Pudlak syndrome patient with a novel mutation on HPS1 gene. PMID: 19665357
顯示更多
收起更多
-
相關疾病:Hermansky-Pudlak syndrome 1 (HPS1)
-
組織特異性:Ubiquitous.
-
數據庫鏈接:
Most popular with customers
-
-
Phospho-YAP1 (S127) Recombinant Monoclonal Antibody
Applications: ELISA, WB, IHC
Species Reactivity: Human
-
-
-
-
-
-















