HOXB7 Antibody
-
中文名稱:HOXB7兔多克隆抗體
-
貨號:CSB-PA010667ESR1HU
-
規格:¥440
-
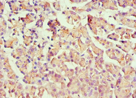
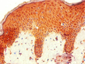
圖片:
-
其他:
產品詳情
-
產品名稱:Rabbit anti-Homo sapiens (Human) HOXB7 Polyclonal antibody
-
Uniprot No.:
-
基因名:HOXB7
-
別名:HOXB7 antibody; HOX2C antibody; Homeobox protein Hox-B7 antibody; Homeobox protein HHO.C1 antibody; Homeobox protein Hox-2C antibody
-
宿主:Rabbit
-
反應種屬:Human
-
免疫原:Recombinant Human Homeobox protein Hox-B7 protein (1-120AA)
-
免疫原種屬:Homo sapiens (Human)
-
標記方式:Non-conjugated
-
克隆類型:Polyclonal
-
抗體亞型:IgG
-
純化方式:Antigen Affinity Purified
-
濃度:It differs from different batches. Please contact us to confirm it.
-
保存緩沖液:PBS with 0.02% sodium azide, 50% glycerol, pH7.3.
-
產品提供形式:Liquid
-
應用范圍:ELISA, IHC
-
推薦稀釋比:
Application Recommended Dilution IHC 1:20-1:200 -
Protocols:
-
儲存條件:Upon receipt, store at -20°C or -80°C. Avoid repeated freeze.
-
貨期:Basically, we can dispatch the products out in 1-3 working days after receiving your orders. Delivery time maybe differs from different purchasing way or location, please kindly consult your local distributors for specific delivery time.
-
用途:For Research Use Only. Not for use in diagnostic or therapeutic procedures.
相關產品
靶點詳情
-
功能:Sequence-specific transcription factor which is part of a developmental regulatory system that provides cells with specific positional identities on the anterior-posterior axis.
-
基因功能參考文獻:
- hsa_circ_0074362 plays a crucial role in glioma progression by regulating the miR-1236-3p/HOXB7 pathway. PMID: 30388035
- miR-196b-5p inhibition led to significantly increased colorectal cancer cell migration/invasion and metastases formation in mice, whereas ectopic overexpression showed the opposite phenotype. Molecular profiling and target confirmation identified an interaction between miR-196b-5p and HOXB7 and GALNT5, which in turn regulated colorectal cancer cell migration PMID: 28533224
- The expression of HOXB7 was upregulated in osteosarcoma tissues and cells compared with paired adjacent nontumor bone tissues and osteoblastic cells using reverse transcriptionquantitative polymer chain reaction and western blotting. HOXB7 knockdown dramatically suppressed cell viability, proliferation, migration and epithelialmesenchymal transition. PMID: 28677742
- downregulation of HOXB7 inhibited proliferation, invasion, and tumorigenesis, partly through suppressing the PI3K/Akt signaling pathway in osteosarcoma cells. PMID: 27983923
- HOXB7 promotes HCC cell proliferation, migration, and invasion through the bFGF-induced MAPK/ERK pathway activation. It might be a novel prognostic factor in HCC and a promising therapeutic target for tumor metastasis and recurrence. PMID: 28454092
- Overexpression of HOXB7 was significantly correlated with poor prognosis of HCC. HOXB7 up-regulated c-Myc and Slug expression via the AKT pathway to promote the acquisition of stem-like properties and facilitate epithelial-mesenchymal transition of hepatoma cells, accelerating the malignant progression of HCC. PMID: 28646927
- MiR-376c-3p suppresses the fission, proliferation, migration and invasion and induces cell apoptosis of oral squamous cancer cells via targeting HOXB7. PMID: 28482289
- our results showed that increased expression of HOXB7 might play an important role in promoting GC proliferation, migration and invasion by inducing both AKT and MAPK pathways, thus resulting in progression of, and poor prognosis in GC patients. PMID: 27901487
- the overexpression of HOXB7 in HSC-4 and KB/VCR cells reduces the sensitivity of the cells to chemo-radiotherapy-induced apoptosis and promotes oral cancer cell migration and invasion via upregulation of TGFbeta2. PMID: 27834359
- These findings suggest that hoxb7 and hoxb9 proteins might play a role in salivary gland tumourigenesis, but in contrast to the reported for other human cancers, they were not significant prognostic determinants in the sample studied. PMID: 26991799
- These results suggested that HOXB7 stimulates ERK1/2 phosphorylation and provided evidence that HOXB7, besides its role in transcriptional regulation, also promotes cell motility and invasiveness. PMID: 28912272
- The study suggests that HOXB7 has an oncogenic role in gastric cancer, which might be related to the modulation of Akt/PTEN activity to induce cell migration/invasion and anti-apoptotic effects. PMID: 26968988
- Suggest that simultaneous targeting of key regulatory miRNA miR-222 and HOXB7 may be a useful strategy for prevention of colorectal cancer metastasis. PMID: 27855613
- HOXB7 expression was significantly associated with larger tumor size and higher rate of biliary invasion in hepatocellular carcinoma. PMID: 27272787
- HOXB7 is generally overexpressed in gastric cancer, is associated with patient clinical characteristics, and specifically promotes gastric cancer cell malignant biological properties PMID: 26307396
- MiR-337 targets HOXB7 and effects significant suppression of pancreatic ductal adenocarcinoma (PDAC) cell proliferation and invasion. PMID: 25183455
- Results point out the complex interplay between the DSB DNA repair activity and the homeoproteins HoxB7 and Cdx2 in colon cancer cells. PMID: 26902420
- HOXB7 protein expression level is downregulated following siRNA transfection and downregulation of HOXB7 gene expression effectively inhibits MCF-7 cell proliferation. PMID: 26135503
- Myelomeningocele is significantly associated with HOXB7 hypomethylation. PMID: 25565354
- HOXB7 Is an ERalpha Cofactor in the Activation of HER2 and Multiple ER Target Genes Leading to Endocrine Resistance PMID: 26180042
- HOXB7 could promote cancer cell proliferation and might be an independent prognostic factor for patients with esophageal squamous cell carcinoma. PMID: 26076456
- Study reports >1,500 chromatin binding sites in the genome of a breast cancer cell line overexpressing HOXB7 and identifies some potential direct targets that are located nearby. PMID: 26014856
- Results demonstrate HOXB7 as a master factor driving progenitors behavior lifetime, providing a better understanding of bone senescence and leading to an optimization of MSC performance. PMID: 25428821
- HoxB7 is associated with tumor metastasis in patients with lung adenocarcinoma and HoxB7 may be implicated in promoting the development of lung adenocarcinoma through activation of the TGF-beta/SMAD3 signaling. PMID: 26403398
- our results suggest that HOXB7 promotes tumor progression in a cell-autonomous and non-cell-autonomous manner through activation of the TGFbeta signaling pathway. PMID: 25542862
- Results suggest that p53-regulated TUG1 is a growth regulator, which acts in part through control of HOXB7 in non-small cell lung cancer. PMID: 24853421
- HOXB7 was over-expressed and miR-337 was minimally expressed in pancreatic ductal adenocarcinoma PMID: 24641834
- HOXB7 mRNA is overexpressed in pancreatic ductal adenocarcinomas and its knockdown induces cell cycle arrest and apoptosis. PMID: 24088503
- HOXB7 promotes LAC progression by enhancing proliferation and metastasis. PMID: 22911672
- MicroRNA-196b regulates the HOXB7-VEGF axis in cervical cancer. PMID: 23861821
- findings suggest the disruption of the HOXB7/PBX2 complexes, miR-221&222 inhibition or even better their combination, as innovative therapeutic approaches PMID: 23400877
- HOXB7 is frequently overexpressed in pancreatic adenocarcinoma, specifically promotes invasive phenotype, and is associated with lymph node metastasis and worse survival outcome. PMID: 22914903
- Measuring IGF2BP3, HOXB7 and NEK2 mRNA levels by RT-PCR in addition to cytology has the potential to improve detection of malignant biliary disorders from brush cytology specimens. PMID: 22879911
- a novel mechanism whereby polyADP-ribosylation regulates transcriptional activities of HOX proteins such as HOXB7 and HOXA7 PMID: 22844406
- the absence of HoxB7 leads to inefficient viral progeny production, as HAdV5 gene expression is highly regulated by HoxB7-mediated activation of various adenoviral promoters. PMID: 22553335
- The current study demonstrates that the expression of HOXB7 is an independent prognostic marker for oral squamous cell carcinoma. PMID: 22239410
- Up-regulation of EGFR occurs through direct binding of HOXB7 to the EGFR promoter, enhancing transcriptional activity. PMID: 21690342
- Data indicate that HOXB7 and related HOX genes are upregulated in plasma cells of specific subsets of multiple myeloma patients lacking major immunoglobulin heavy chain locus translocations, irrespective of hyperdiploidy or other cytogenetic lesions. PMID: 21953534
- Here, we showed that PI3K/AKT and MAPK pathways were activated because p-ERK, p-AKT and p-GSK3-beta were upregulated by HOXB7. PMID: 21474578
- confirmed that HOXB7 overexpression by multiple myeloma (MM) cells stimulated tumor growth, increased MM-associated angiogenesis and the expression of pro-angiogenic genes by microarray analysis PMID: 21183939
- Strongly reduced expression of the microRNA miR-196a in melanoma cells compared to healthy melanocytes leads to enhanced HOX-B7 mRNA and protein levels, which subsequently raise Ets-1 activity by inducing basic fibroblast growth factor (bFGF). PMID: 20480203
- Differential expression of HOXB7 gene in multiple myeloma and extramedullary multiple myeloma patients PMID: 19878270
- HOXB7 may contribute to oral carcinogenesis by increasing tumor cell proliferation PMID: 19956843
- Identification of transcription factors that regulate HOXB7 expression. PMID: 12697323
- HOXB7 is expressed from primordial and early primary stage follicles through to germinal vesicle (GV) oocytes. PMID: 16597639
- Homeobox B7 (HoxB7) mRNA is overexpressed in biliary cancer cell lines and possibly involved in the pathogenesis of bile duct cancer. PMID: 16673309
- HOXB7 promotes tumor invasion through activation of Ras/Rho pathway by up-regulating bFGF. HOXB7 overexpression causes epithelial-mesenchymal transition in epithelial cells, accompanied by aggressive properties of tumorigenicity, migration, & invasion. PMID: 17018609
- thalidomide inhibits the RA-induced HOXB7 expression in glioblastoma cells PMID: 17514648
顯示更多
收起更多
-
亞細胞定位:Nucleus.
-
蛋白家族:Antp homeobox family
-
數據庫鏈接:
Most popular with customers
-
-
YWHAB Recombinant Monoclonal Antibody
Applications: ELISA, WB, IHC, IF, FC
Species Reactivity: Human, Mouse, Rat
-
Phospho-YAP1 (S127) Recombinant Monoclonal Antibody
Applications: ELISA, WB, IHC
Species Reactivity: Human
-
-
-
-
-















