HOXB4 Antibody
-
中文名稱:HOXB4兔多克隆抗體
-
貨號:CSB-PA010664LA01HU
-
規格:¥440
-
圖片:
-
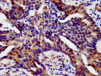
IHC image of CSB-PA010664LA01HU diluted at 1:500 and staining in paraffin-embedded human lung cancer performed on a Leica BondTM system.
-
Immunofluorescence staining of Hela cells with CSB-PA010664LA01HU at 1:166, counter-stained with DAPI. The cells were fixed in 4% formaldehyde, permeabilized using 0.2% Triton X-100 and blocked in 10% normal Goat Serum. The cells were then incubated with the antibody overnight at 4°C. The secondary antibody was Alexa Fluor 488-congugated AffiniPure Goat Anti-Rabbit IgG(H+L).
-
-
其他:
產品詳情
-
產品名稱:Rabbit anti-Homo sapiens (Human) HOXB4 Polyclonal antibody
-
Uniprot No.:
-
基因名:HOXB4
-
別名:Homeo box 2F antibody; Homeo box B4 antibody; Homeobox 2F antibody; Homeobox B4 antibody; Homeobox protein Hox B4 antibody; Homeobox protein Hox-2.6 antibody; Homeobox protein Hox-2F antibody; Homeobox protein Hox-B4 antibody; Homeobox protein HoxB4 antibody; HOX 2 antibody; Hox 2.6 antibody; Hox 2F antibody; HOX B4 antibody; HOX2 antibody; Hox2.6 antibody; Hox2F antibody; HOXB 4 antibody; hoxb4 antibody; HXB4_HUMAN antibody
-
宿主:Rabbit
-
反應種屬:Human
-
免疫原:Recombinant Human Homeobox protein Hox-B4 protein (88-166AA)
-
免疫原種屬:Homo sapiens (Human)
-
標記方式:Non-conjugated
本頁面中的產品,HOXB4 Antibody (CSB-PA010664LA01HU),的標記方式是Non-conjugated。對于HOXB4 Antibody,我們還提供其他標記。見下表:
-
克隆類型:Polyclonal
-
抗體亞型:IgG
-
純化方式:>95%, Protein G purified
-
濃度:It differs from different batches. Please contact us to confirm it.
-
保存緩沖液:Preservative: 0.03% Proclin 300
Constituents: 50% Glycerol, 0.01M PBS, pH 7.4 -
產品提供形式:Liquid
-
應用范圍:ELISA, IHC, IF
-
推薦稀釋比:
Application Recommended Dilution IHC 1:500-1:1000 IF 1:50-1:200 -
Protocols:
-
儲存條件:Upon receipt, store at -20°C or -80°C. Avoid repeated freeze.
-
貨期:Basically, we can dispatch the products out in 1-3 working days after receiving your orders. Delivery time maybe differs from different purchasing way or location, please kindly consult your local distributors for specific delivery time.
-
用途:For Research Use Only. Not for use in diagnostic or therapeutic procedures.
相關產品
靶點詳情
-
功能:Sequence-specific transcription factor which is part of a developmental regulatory system that provides cells with specific positional identities on the anterior-posterior axis.
-
基因功能參考文獻:
- Data suggests that an impaired capacity of eutopic and ectopic endometrial tissue to upregulate levels of HOXB4 during the proliferative phase may play a role in the pathogenesis of endometriosis and that further downregulation of HOXB4 may enhance ectopic implant invasiveness. PMID: 28969513
- Authors observed that induced expression of HOXB4 in the UW473 cell line significantly reduced in vitro cell proliferation and migration capability of UW473 cells with no effect on the in vivo tumorigenicity. PMID: 29039487
- Study revealed that HOXB4 was highly expressed in ovarian cancer cells. HOXB4 silencing enhanced the cytotoxic effect of Taxol and DDP by downregulating ABC transporters via inhibition of the PI3K/Akt signaling pathway. These results for the first time elucidated the critical roles and molecular basis of HOXB4 underlying drug resistance in ovarian cancer cells. PMID: 29660518
- HOXB4 knockout led to downregulation of P-glycoprotein, multidrug resistance-associated protein 1 and breast cancer resistance protein expression and PI3K/Akt signaling activity, suggesting that repression of HOXB4 might be a key point to reverse Multidrug resistance of K562/ADM cells. PMID: 27779650
- This study provides novel evidences of the mechanisms integrating Notch and TNF-alpha signaling in the transcriptional induction of GATA3 and HOXB4. PMID: 27251160
- Increased expression of HOXB4 in human embryonic stem cells enhances the production of hematopoietic Progenitors but does not effect the maturation of red blood cells. PMID: 27352929
- The analysis of HOX expression in primary mesothelioma tumors indicated that these cells could also be sensitive to the disruption of HOX activity by HXR9, and that the expression of HOXB4 is strongly associated with overall survival PMID: 26867567
- showed that OAC1 treatment led to OCT4-mediated upregulation of HOXB4 PMID: 26202933
- a crucial regulator of NK lytic function PMID: 24810639
- Epigenetic analysis revealed that increased promoter methylation of HOXB4 correlates with decreased expression of its transcript in oral cancer cell lines. HOXB4 may work as an epigenetic biomarker gene. PMID: 24859765
- Our study demonstrates for the first time the regulation of HOXB4 by miR-23a PMID: 23630040
- our results outline the effects of HOXB4 in combination with stromal cells in the development of NK cells from embryonic stem cells. PMID: 22761810
- GATA-2 directly regulates HOXB4 expression in hematopoietic stem cells, which may play an important role in the development and/or progression of aplastic anemia. PMID: 23028422
- HOXB4-positivity as an independent predictor of overall survival of acute myeloid leukemia patients PMID: 22664110
- Expressions of ABCB1, BMI-1, HOXB4 were not detected in the patients with non-malignant hematologic diseases, but were higher in de novo acute leukemia patients and lower in patients in complete remission. PMID: 22040961
- Comparative transcriptome analysis of CD34(+) cells subjected or not to HOXB4 or HOXC4 demonstrated that both homeoproteins regulate the same set of genes, some of which encode key hematopoietic factors and signaling molecules. PMID: 22298821
- cytomegalovirus infection markedly down-regulated HOXB4 expression which affected proliferation and differentiation of erythroid and lymphocyte progenitor cells. PMID: 22402911
- Down-regulation of mitochondria and lysosomal genes by HoxB4 plays a role in the impaired lymphoid lineage development from embryonic stem cells-derived hematopoietic stem cells. PMID: 22438249
- Hox B4 protein is present in the precursor lesions as CC cells, suggesting that Hox B4 could be a protein related to the neoplastic state (non-differentiated cells) of human cervical epithelium. PMID: 22120585
- These results indicate that transient, but not constitutive, HoxB4 expression is sufficient to augment the hematopoietic differentiation of embryonic stem and induced pluripotent stem cells. PMID: 22000550
- The demethylation of CpG island in the promoter region of HOXB4 gene may be correlated with the high expression of HOXB4 gene in CD34(+) cells, while the promoter methylation of HOXB4 gene may be associated with HOXB4 gene silencing in PBMCs. PMID: 19549386
- these data suggest that increased HoxB4 enhanced early megakaryocytic development in human TF1 cells and CD34 positively-selected cord blood cells primarily by upregulating TpoR and Fli-1 expression and downregulating c-Myb expression. PMID: 20599537
- overexpression of HOXB4 in human ESC did not improve the generation of CD34(+) hematopoietic cells via co-culture methodology PMID: 19878058
- may play a role in the regulation of cellular proliferation/adhesion in developing fetal human epidermis and in hyperproliferation conditions, including cancers, in adult epidermis PMID: 11984874
- Retrovirally mediated expression of HOXB4 rapidly triggers an increase in the number of stem cells without alternating the balance of lymphomyeloid reconstitution, suggesting that HOXB4 does not affect control of end-cell output. PMID: 12130496
- In NOD/SCID mice HOXB4-overexpressing cord blood CD34+ cells had a selective growth advantage in vivo. However, high HOXB4 expression substantially impaired myeloerythroid differentiation & B-cell output. PMID: 12406897
- NF-Y is a developmentally regulated inducer of the HOXB4 gene in hematopoietic cells. PMID: 12791656
- The growth promoting effects of HOXB4 are critically dependent on HOXB4 expression levels and that this can result in important species-specific differences in potency. PMID: 17510218
- The protein transduction domain-Hoxb4protein can be used with other recombinant proteins to efficiently generate transplantable hemaat4opoietic stem cells from human embryonic stem cells. PMID: 17784829
- contribution of HOXB4 in the maintenance of the intrinsic lymphomyeloid differentiation potential of defined hematopoietic progenitor cell subsets PMID: 17962697
- overexpression of HoxB4 in differentiating hESCs increases hematopoietic colony formation and hematopoietic cell formation in vitro, but does not affect in vivo repopulation in adult mice hosts PMID: 18511880
- These data suggest that HoxB4-induced effects on human embryonic stem cell-derived hematopoietic stem cells are concentration-dependent during in vitro development and reduce proliferation of other cell types in vitro and in vivo. PMID: 18617691
顯示更多
收起更多
-
亞細胞定位:Nucleus.
-
蛋白家族:Antp homeobox family, Deformed subfamily
-
數據庫鏈接:
Most popular with customers
-
-
Phospho-YAP1 (S127) Recombinant Monoclonal Antibody
Applications: ELISA, WB, IHC
Species Reactivity: Human
-
-
-
-
-
-















