HOXA11 Antibody
-
中文名稱:HOXA11兔多克隆抗體
-
貨號:CSB-PA010649LA01HU
-
規格:¥440
-
圖片:
-
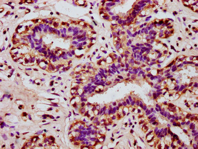
IHC image of CSB-PA010649LA01HU diluted at 1:100 and staining in paraffin-embedded human breast cancer performed on a Leica BondTM system. After dewaxing and hydration, antigen retrieval was mediated by high pressure in a citrate buffer (pH 6.0). Section was blocked with 10% normal goat serum 30min at RT. Then primary antibody (1% BSA) was incubated at 4°C overnight. The primary is detected by a biotinylated secondary antibody and visualized using an HRP conjugated SP system.
-
Immunofluorescence staining of PC-3 cells with CSB-PA010649LA01HU at 1:33, counter-stained with DAPI. The cells were fixed in 4% formaldehyde, permeabilized using 0.2% Triton X-100 and blocked in 10% normal Goat Serum. The cells were then incubated with the antibody overnight at 4°C. The secondary antibody was Alexa Fluor 488-congugated AffiniPure Goat Anti-Rabbit IgG(H+L).
-
-
其他:
產品詳情
-
產品名稱:Rabbit anti-Homo sapiens (Human) HOXA11 Polyclonal antibody
-
Uniprot No.:
-
基因名:HOXA11
-
別名:Homeo box 1I antibody; Homeo box A11 antibody; Homeobox A11 antibody; Homeobox protein Hox A11 antibody; Homeobox protein Hox-1I antibody; Homeobox protein Hox-A11 antibody; Homeobox protein HOXA11 antibody; Hox 1I antibody; HOX1 antibody; HOX1I antibody; HOXA11 antibody; HXA11_HUMAN antibody
-
宿主:Rabbit
-
反應種屬:Human
-
免疫原:Recombinant Human Homeobox protein Hox-A11 protein (115-176AA)
-
免疫原種屬:Homo sapiens (Human)
-
標記方式:Non-conjugated
本頁面中的產品,HOXA11 Antibody (CSB-PA010649LA01HU),的標記方式是Non-conjugated。對于HOXA11 Antibody,我們還提供其他標記。見下表:
-
克隆類型:Polyclonal
-
抗體亞型:IgG
-
純化方式:>95%, Protein G purified
-
濃度:It differs from different batches. Please contact us to confirm it.
-
保存緩沖液:Preservative: 0.03% Proclin 300
Constituents: 50% Glycerol, 0.01M PBS, pH 7.4 -
產品提供形式:Liquid
-
應用范圍:ELISA, IHC, IF
-
推薦稀釋比:
Application Recommended Dilution IHC 1:20-1:200 IF 1:20-1:200 -
Protocols:
-
儲存條件:Upon receipt, store at -20°C or -80°C. Avoid repeated freeze.
-
貨期:Basically, we can dispatch the products out in 1-3 working days after receiving your orders. Delivery time maybe differs from different purchasing way or location, please kindly consult your local distributors for specific delivery time.
-
用途:For Research Use Only. Not for use in diagnostic or therapeutic procedures.
相關產品
靶點詳情
-
功能:Sequence-specific transcription factor which is part of a developmental regulatory system that provides cells with specific positional identities on the anterior-posterior axis.
-
基因功能參考文獻:
- we uncovered a novel potential regulatory mechanism between HOTTIP and one of its physical HOXA clusters, HOXA11. Hence, HOTTIP may mediate, at least partly, HOXA11 expression involved in cell growth, migration, and apoptosis of breast cancer MCF-7 cells. PMID: 29415429
- High expression of lncRNA HOXA11-AS promotes breast cancer invasion and metastasis by affecting EMT. PMID: 28701685
- HOXA11 silencing suppressed osteosarcoma cell proliferation, invasion and induced cell arrest. PMID: 28558357
- Results show that aberrant hypermethylation and the methylation-induced down-regulation of HOXA11 may promote lung adenocarcinoma progression. PMID: 28380439
- Hypermethylation of HOXA11 is an independent prognostic biomarker in breast cancer. Suggest HOXA11 as a potential tumor suppressor. PMID: 28038461
- The treatment resistance induced by the underexpression of HOXA11 can contribute to a poor prognosis in GBM. PMID: 27456940
- These results suggest that mutations in the coding sequence of HOXA11 might not be a common cause of cryptorchidism, while common polymorphisms in the HOXA11 gene might contribute to the risk of developing unilateral cryptorchidism. PMID: 28261830
- demonstrated that HOXA11-antisense(AS) functioned as a molecular sponge for miR-124, and overexpression of miR-124 attenuated the proliferation and invasion-promoting effect of HOXA11-AS PMID: 28749709
- Bioinformatics prediction forecast that miR-140-5p directly targeted HOXA11-antisense RNA at 3'-UTR, which was confirmed by luciferase reporter assay PMID: 28832185
- HOXA11-AS functions as a competing endogenous RNA. PMID: 29034803
- our study demonstrated that HOXA11 function as a tumor suppressor in renal cell carcinoma PMID: 28423531
- Laparoscopic endometrioma resection increases peri-implantation endometrial HOXA-11 mRNA expression. PMID: 26056923
- Epigenetic silencing of HOXA11 promotes gastric cancer proliferation, migration and invasion through activation of Wnt signaling. PMID: 25590359
- The overexpression of miR-30d or 181a suppressed HOXA11 mRNA. PMID: 25630974
- Low HOXA11 expression is associated with hepatocellular carcinoma. PMID: 24306662
- Mutations in the coding region of HOXA11 are not common in Chinese women with Mullerian duct anomalies. PMID: 24745830
- Study suggests that HOXA11 hypermethylation may contribute to the progression of NSCLC by promoting cell proliferation or migration. PMID: 24259349
- Lower expression of HOXA11 is associated with endometriosis-associated infertility. PMID: 23979130
- Promoter methylation of HOXA11 is associated with glioblastoma. PMID: 23624749
- reduced HOXA11 expression may contribute to endometriosis-associated infertility PMID: 22233680
- Endometrial HOXA11 and LIF mRNA expression levels (normalized to beta-actin expression) were significantly decreased in endometrium of infertile patients with endometriosis compared with healthy fertile controls PMID: 21987111
- The result suggest that HOXA-11 gene expression in the endometrium during the implantation window may not be altered in patients with idiopathic infertility. PMID: 21526497
- Expression of HOXA11 represses the expression of p53 in uterosacral ligaments. PMID: 19372592
- Our results suggest that altered HOXA11 gene expression in the endometrium during a menstrual cycle may be a common phenomenon among patients with endometriosis and may cause infertility in this group of patients PMID: 20695189
- NUP98 primer and a degenerate primer corresponding to the third helix of the homeodomain of HOXA demonstrated that NUP98 was fused in-frame to HOXA11 in the patient with CML ( chronic myelogenous leukemia) PMID: 11830496
- expressed in the developing kidney PMID: 12060755
- HOXA gene expression is up-regulated at the ectopic implantation site in the fallopian tube and it may play a role in ectopic pregnancies. PMID: 15167850
- study reveals a novel expression pattern for homeo box A11(HOXA11) gene in human endometrium PMID: 15467538
- The HOXA11 gene cluster is in T-cell malignancies resulting in deregulated HOXA gene expression and is in keeping with a previous report suggesting HOXA deregulation in MLL-rearranged T cell lymphoblastic leukemia. PMID: 15674412
- HOXA11 is critical for development and maintenance of uterosacral ligaments and deficient in pelvic prolapse. PMID: 18274672
- Our findings do not support the hypothesis that mutations in the HOXA11 coding regions are involved in the pathogenesis of human non-syndromal congenital renal parenchymal malformations. PMID: 19255789
- Methylation of HOXA11 gene is associated with high-grade squamous intraepithelial lesions in cervical cancer PMID: 19609949
顯示更多
收起更多
-
相關疾病:Radioulnar synostosis with amegakaryocytic thrombocytopenia 1 (RUSAT1)
-
亞細胞定位:Nucleus.
-
蛋白家族:Abd-B homeobox family
-
數據庫鏈接:
Most popular with customers
-
-
YWHAB Recombinant Monoclonal Antibody
Applications: ELISA, WB, IHC, IF, FC
Species Reactivity: Human, Mouse, Rat
-
Phospho-YAP1 (S127) Recombinant Monoclonal Antibody
Applications: ELISA, WB, IHC
Species Reactivity: Human
-
-
-
-
-















