HNF1B Antibody
-
中文名稱:HNF1B兔多克隆抗體
-
貨號:CSB-PA230499
-
規格:¥1100
-
圖片:
-
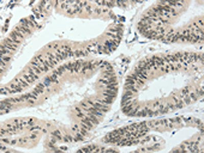
The image on the left is immunohistochemistry of paraffin-embedded Human colon cancer tissue using CSB-PA230499(HNF1B Antibody) at dilution 1/80, on the right is treated with synthetic peptide. (Original magnification: ×200)
-
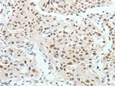
The image on the left is immunohistochemistry of paraffin-embedded Human lung cancer tissue using CSB-PA230499(HNF1B Antibody) at dilution 1/80, on the right is treated with synthetic peptide. (Original magnification: ×200)
-
-
其他:
產品詳情
-
Uniprot No.:
-
基因名:HNF1B
-
別名:FJHN antibody; Hepatocyte nuclear factor 1 beta antibody; Hepatocyte nuclear factor 1-beta antibody; HNF 1B antibody; HNF 2 antibody; HNF-1-beta antibody; HNF-1B antibody; HNF1 beta antibody; HNF1 homeobox B antibody; HNF1B antibody; HNF1B_HUMAN antibody; HNF1beta antibody; HNF2 antibody; Homeoprotein LF B3 antibody; Homeoprotein LFB3 antibody; HPC11 antibody; LF B3 antibody; LFB3 antibody; MODY 5 antibody; MODY5 antibody; TCF 2 antibody; TCF 2 protein antibody; TCF-2 antibody; TCF2 antibody; TCF2 protein antibody; Transcription factor 2 antibody; Transcription factor 2 hepatic antibody; Variant hepatic nuclear factor 1 antibody; Variant hepatic nuclear factor antibody; VHNF 1 antibody; vHNF1 antibody
-
宿主:Rabbit
-
反應種屬:Human,Mouse,Rat
-
免疫原:Synthetic peptide of Human HNF1B
-
免疫原種屬:Homo sapiens (Human)
-
標記方式:Non-conjugated
-
抗體亞型:IgG
-
純化方式:Antigen affinity purification
-
濃度:It differs from different batches. Please contact us to confirm it.
-
保存緩沖液:-20°C, pH7.4 PBS, 0.05% NaN3, 40% Glycerol
-
產品提供形式:Liquid
-
應用范圍:ELISA,IHC
-
推薦稀釋比:
Application Recommended Dilution ELISA 1:2000-1:10000 IHC 1:100-1:300 -
Protocols:
-
儲存條件:Upon receipt, store at -20°C or -80°C. Avoid repeated freeze.
-
貨期:Basically, we can dispatch the products out in 1-3 working days after receiving your orders. Delivery time maybe differs from different purchasing way or location, please kindly consult your local distributors for specific delivery time.
-
用途:For Research Use Only. Not for use in diagnostic or therapeutic procedures.
相關產品
靶點詳情
-
功能:Transcription factor that binds to the inverted palindrome 5'-GTTAATNATTAAC-3'. Binds to the FPC element in the cAMP regulatory unit of the PLAU gene. Transcriptional activity is increased by coactivator PCBD1.
-
基因功能參考文獻:
- HNF1B p.Arg527Gln nonsense mutation mutation is associated with atypical early onset diabetes and diabetic nephropathy. PMID: 29764441
- Loss of HNF1B in renal epithelial cells Results in Kidney Disease with Cysts. PMID: 29735694
- HNF1B gene rs4430796 G allele may be associated with increased risk of Gestational Diabetes. Additionally, women in HNF1B rs4430796 AG genotype were observed to have a higher BMI increase during pregnancy. PMID: 28274157
- HNF1beta is a transcriptional activator of Kcnj16. Hence, patients with HNF1beta mutations may have reduced Kir5.1 activity in the kidney, resulting in hypokalemia and hypomagnesemia. PMID: 28577853
- HNF-1B plays a critical role in lipid and glucose homeostasis in second trimester of pregnancy PMID: 28591938
- Data suggest that a missense mutation in HNF1B (c.1007A>G; p.H336R) can result in maturity-onset diabetes of the young type 5; study involved 30-year-old woman and her 58-year-old mother in a Chinese family. [CASE REPORT] PMID: 28502589
- In patients with HNF1B syndrome, diabetes complications, cardiovascular risk factors, chronic kidney disease stages 3-4, and end-stage renal disease are highly prevalent. PMID: 28420700
- HNF1B variants associate with promoter methylation and regulate gene networks activated in prostate and ovarian cancer PMID: 27732966
- HNF1B mutation represents a differential diagnosis of polyhydramnios associated with hyperechogenic (and sometimes enlarged) kidneys PMID: 27286685
- The functional, biochemical, and structural characterisation of the nuclear localisation signal present on HNF1beta and its interaction with the nuclear import protein Importin-alpha. PMID: 27346421
- HNF1beta was a direct target of miR-217, and played oncogenic role in glioma cells. PMID: 28219405
- This review discusses the role of HNF1B in human and murine pancreas and liver development, summarizes the disease phenotypes and identifies areas for future investigations in HNF1B-associated diabetes and liver disease. [Review Article] PMID: 27615128
- Low HNF1B expression is associated with Chromophobe Renal Cell Carcinomas. PMID: 28807937
- 17q12 deletions but not HNF1B intragenic mutations are associated with neurodevelopmental disorders. Hence, the HNF1B gene is not involved in the neurodevelopmental phenotype of these patients. PMID: 27234567
- Structural anomalies of the biliary system were common in HNF1B mutation carriers. PMID: 28324003
- HNF1B mutation was associated with congenital anomalies of the kidney and urinary tract, as well as pancreatic hypoplasia. PMID: 27297286
- Overall 61.2% of clear cell RCC and 75% of UC were immunopositive with HNF-1beta in our study. HNF-1beta has a limited utility in differentiating CCC of the genitourinary system from an ovarian primary PMID: 26574638
- Our MRKH families included 43 quads, 26 trios, and 30 duos. Of our MRKH probands, 87/147 (59%) had MRKH type 1 and 60/147 (41%) had type 2 with additional anomalies. CONCLUSION(S): Although the prevalence of WNT4, HNF1B, and LHX1 point mutations is low in people with MRKH, the prevalence of CNVs was approximately 19%. PMID: 28600106
- HNF-1beta suppression in tubular epithelial cells (TECs) is a crucial event for the dedifferentiation of TECs, and the upregulation of HNF-1beta in TECs has a potential to restore the dedifferentiated TECs into their normal state, leading to the attenuation of renal fibrosis PMID: 27196561
- importin-beta is involved in the maintenance of the mitotic retention of HNF1beta, suggesting a functional link between the nuclear import system and the mitotic localization/translocation of bookmarking factors. PMID: 27229139
- rs11651755 in HNF1B was found to be associated with endometriosis in this case-control study. PMID: 28214017
- Because HNF1B-related disease is a heterozygous condition, calcineurin inhibitors used to prevent rejection may induce reduced expression of the nonmutated allele of HNF1B leading to a superimposed defect of HNF-1beta transcriptional activity. PMID: 26555949
- HNF1B is a novel oncogene that can work cooperatively with ERBB2. PMID: 27001343
- We confirmed the significance of the HNF1B and GATA4 hypermethylation with emphasis on the need of selecting the most relevant sites for analysis. We suggest selected CpGs to be further examined as a potential positive prognostic factor. PMID: 28241454
- The diffuse and strong HNF-1beta expression pattern can be used to diagnose ovarian clear cell carcinoma (OCCC) with high specificity. PMID: 26166716
- Studied the role of HNF1B abnormalities in the occurrence of cognitive defects, the frequency of ID was assessed according to the presence of HNF1B mutations or deletion in a large cohort of adult patients with HNF1B-MODY. PMID: 27838256
- Expression of HNF-1-beta was detected in various extents in all types of lesions. PMID: 26685938
- Glutaminolysis is activated in ES2 and OVCAR3, though ES2 exclusively synthesizes amino acids and GSH. ES2 cells are more resistant to carboplatin than OVCAR3 and the abrogation of GSH production by BSO sensitizes ES2 to carboplatin. HNF1beta regulates the expression of GCLC, but not GCLM, and consequently GSH production in ES2 PMID: 26520442
- HNF1B mutations are associated with Maturity onset diabetes of youth. PMID: 26669242
- along with Sanger genetic screening for MODY genetic testing, we were able to diagnose the aetiology of the first case of MODY caused by an HNF1B whole-gene deletion in a Brazilian patient with atypical clinical presentation. PMID: 27321323
- We were able to diagnose the first Brazilian patient with an HNF1B whole-gene deletion, whose familial phenotype was not typically associated with this molecular diagnosis. PMID: 27321324
- HNF-1B-positive malignant cells could be bipotential cells and give rise to both hepatocytic and cholangiocytic lineages during tumorigenesis. PMID: 26311117
- Early-stage ovarian clear cell carcinoma tended to have high levels of HNF-1beta immunoreactivity. Low-level HNF-1beta expression was observed in patients with recurrence and high-level HNF-1beta was associated with good prognosis. PMID: 26945423
- rs4430796 polymorphism of HNF1B gene influences independently the prognosis of EC patients with a potential effect on tumor chemo-sensitivity. PMID: 25885815
- Combining HNF-1beta and napsin A may distinguish clear cell carcinoma from high-grade serous carcinoma, endometrioid adenocarcinoma and metastatic Krukenberg tumors. PMID: 26339401
- Meta-analysis of the association between the HNF1B rs4430796 (A>G) polymorphism and risk of prostate cancer based on case-control studies. PMID: 26214421
- HNF1B score was discriminatory for HNF1B mutations in a large cohort of individuals tested in a single UK centre PMID: 26022541
- In cervical carcinoma, expression of HNF-1beta is mostly restricted to adenocarcinomas and can be used as an auxiliary adenocarcinoma marker in the differential diagnosis of poorly differentiated cervical carcinomas. PMID: 25884453
- Our findings provide evidence for a single signal associated with endometrial cancer risk at the HNF1B locus, and that risk is likely mediated via altered HNF1B gene expression. PMID: 25378557
- Results indicated that the downregulation of HNF1B may contribute to drug resistance in ovarian cancer, through various pathways. PMID: 24968817
- Studied upstream and downstream regulatory factors of HNF-1beta in ovarian clear cell carcinomas. PMID: 26030369
- The binding of has-miRNAs 214-5p and 550a-5p regulate the expression of the HNF1B gene and the susceptibility of type 2 diabetes mellitus. PMID: 26329304
- Hepatocyte nuclear factor 1beta (HNF1beta) is a transcription factor that is essential for the embryogenesis and development of the kidney, pancreas and liver. PMID: 25638216
- Case Report: severe hepatic phenotype of an HNF1B variant. PMID: 25741167
- In diagnosis of ovarian clear cell carcinoma, HNF1beta is highly sensitive but is suboptimally specific in isolation. PMID: 25551297
- Heterozygous mutations in the coding region or splice sites of HNF1B, and complete gene deletion, each account for approximately 50% of all cases of HNF1B-associated disease, respectively, and often arise spontaneously PMID: 25536396
- A mutation in HNF-1B that encoded methionine to valine amino acid change was identified in a family with maturity-onset diabetes of the young type 5. PMID: 25367728
- Duodenal atresia in 17q12 microdeletion including HNF1B; it is hypothesized that HNF1B may play a role in intestinal differentiation and development. PMID: 25256560
- HNF1B mutations are responsible for approximately 10% of cases of congenital abnormalities of kidney and urinary tract, both in children and in adults PMID: 25500806
- High HNF1B expression is associated with prostate cancer. PMID: 24332637
顯示更多
收起更多
-
相關疾病:Renal cysts and diabetes syndrome (RCAD); Diabetes mellitus, non-insulin-dependent (NIDDM); Prostate cancer, hereditary, 11 (HPC11)
-
亞細胞定位:Nucleus.
-
蛋白家族:HNF1 homeobox family
-
數據庫鏈接:
Most popular with customers
-
-
YWHAB Recombinant Monoclonal Antibody
Applications: ELISA, WB, IHC, IF, FC
Species Reactivity: Human, Mouse, Rat
-
Phospho-YAP1 (S127) Recombinant Monoclonal Antibody
Applications: ELISA, WB, IHC
Species Reactivity: Human
-
-
-
-
-















