HMGB3 Antibody
-
中文名稱:HMGB3兔多克隆抗體
-
貨號:CSB-PA010561LA01HU
-
規格:¥440
-
圖片:
-
Western Blot
Positive WB detected in: 293 whole cell lysate
All lanes: HMGB3 antibody at 7µg/ml
Secondary
Goat polyclonal to rabbit IgG at 1/50000 dilution
Predicted band size: 23 kDa
Observed band size: 23 kDa -
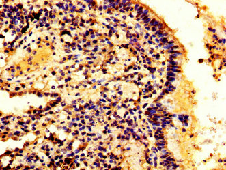
IHC image of CSB-PA010561LA01HU diluted at 1:300 and staining in paraffin-embedded human cervical cancer performed on a Leica BondTM system. After dewaxing and hydration, antigen retrieval was mediated by high pressure in a citrate buffer (pH 6.0). Section was blocked with 10% normal goat serum 30min at RT. Then primary antibody (1% BSA) was incubated at 4°C overnight. The primary is detected by a biotinylated secondary antibody and visualized using an HRP conjugated SP system.
-
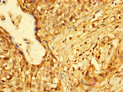
IHC image of CSB-PA010561LA01HU diluted at 1:300 and staining in paraffin-embedded human lung cancer performed on a Leica BondTM system. After dewaxing and hydration, antigen retrieval was mediated by high pressure in a citrate buffer (pH 6.0). Section was blocked with 10% normal goat serum 30min at RT. Then primary antibody (1% BSA) was incubated at 4°C overnight. The primary is detected by a biotinylated secondary antibody and visualized using an HRP conjugated SP system.
-
-
其他:
產品詳情
-
產品名稱:Rabbit anti-Homo sapiens (Human) HMGB3 Polyclonal antibody
-
Uniprot No.:
-
基因名:HMGB3
-
別名:chromosomal protein; Nonhistone; HMG4 antibody; High mobility group (nonhistone chromosomal) protein 4 antibody; High mobility group box 3 antibody; High mobility group protein 2a antibody; High mobility group protein 4 antibody; High mobility group protein B3 antibody; High mobility group protein HMG4 antibody; HMG 4 antibody; HMG-2a antibody; HMG-4 antibody; HMG2A antibody; HMGB 3 antibody; Hmgb3 antibody; HMGB3_HUMAN antibody; MGC90319 antibody; Non histone chromosomal protein antibody; Nonhistone chromosomal protein HMG4 antibody
-
宿主:Rabbit
-
反應種屬:Human
-
免疫原:Recombinant Human High mobility group protein B3 protein (1-103AA)
-
免疫原種屬:Homo sapiens (Human)
-
標記方式:Non-conjugated
本頁面中的產品,HMGB3 Antibody (CSB-PA010561LA01HU),的標記方式是Non-conjugated。對于HMGB3 Antibody,我們還提供其他標記。見下表:
-
克隆類型:Polyclonal
-
抗體亞型:IgG
-
純化方式:>95%, Protein G purified
-
濃度:It differs from different batches. Please contact us to confirm it.
-
保存緩沖液:Preservative: 0.03% Proclin 300
Constituents: 50% Glycerol, 0.01M PBS, pH 7.4 -
產品提供形式:Liquid
-
應用范圍:ELISA, WB, IHC
-
推薦稀釋比:
Application Recommended Dilution WB 1:500-1:5000 IHC 1:200-1:500 -
Protocols:
-
儲存條件:Upon receipt, store at -20°C or -80°C. Avoid repeated freeze.
-
貨期:Basically, we can dispatch the products out in 1-3 working days after receiving your orders. Delivery time maybe differs from different purchasing way or location, please kindly consult your local distributors for specific delivery time.
-
用途:For Research Use Only. Not for use in diagnostic or therapeutic procedures.
相關產品
靶點詳情
-
功能:Multifunctional protein with various roles in different cellular compartments. May act in a redox sensitive manner. Associates with chromatin and binds DNA with a preference to non-canonical DNA structures such as single-stranded DNA. Can bent DNA and enhance DNA flexibility by looping thus providing a mechanism to promote activities on various gene promoters. Proposed to be involved in the innate immune response to nucleic acids by acting as a cytoplasmic promiscuous immunogenic DNA/RNA sensor. Negatively regulates B-cell and myeloid cell differentiation. In hematopoietic stem cells may regulate the balance between self-renewal and differentiation. Involved in negative regulation of canonical Wnt signaling.
-
基因功能參考文獻:
- HMGB3 is involved in malignant transformation of hepatocytes and could be a useful biomarker for diagnosis and a potential target for therapy of liver cancer. PMID: 30166860
- The study strongly suggests that HMGB3 promotes GBM oncogenesis through the MAPK signalling pathway while miR-200b-3p and miR-200c-3p inhibit its expression. PMID: 30232806
- Luciferase reporter assays showed that HMGB3 was directly regulated by miR-205-5p in prostate cancer cells. PMID: 29196733
- HMGB3 regulates the genes expression of WNT/beta-catenin pathway PMID: 28678825
- Therefore, we infer that HMGB3 is a functional target of miR-27b in modulation of tamoxifen resistance and EMT. PMID: 27363334
- these findings demonstrate that HMBG3 may be a potential molecular marker for predicting the prognosis of esophageal squamous cell carcinoma patients PMID: 25755721
- our data suggests HMGB3 may serve as an important oncoprotein and indicate that overexpression of HMGB3 in urinary bladder cancer could be used as a potential prognostic marker. PMID: 25647262
- High expression of HMGB3 is associated with lymph node metastases in gastric cancer. PMID: 25095979
- In this family, microphthalmia, microcephaly, intellectual disability, and short stature are associated with a mutation on the X chromosome in the HMGB3 gene. PMID: 24993872
- regulation of HMGB3 by miR-205 reduced both proliferation and invasion of breast cancer cells. PMID: 24098490
- Association between co-expression networks involving HMGB3 and differentially-expressed genes in gastric cancer. PMID: 24338397
- HMGB3 has a role in gastric cancer disease onset and progression by regulating the cell cycle PMID: 23326140
- HMGB3 plays an important role in non-small cell lung cancer progression. PMID: 23609034
- Data indicate that myomiR-206 modulates Hmgb3 expression during myogenesis. PMID: 22912879
顯示更多
收起更多
-
相關疾病:Microphthalmia, syndromic, 13 (MCOPS13)
-
亞細胞定位:Nucleus. Chromosome. Cytoplasm.
-
蛋白家族:HMGB family
-
組織特異性:Expressed predominantly in placenta.
-
數據庫鏈接:
Most popular with customers
-
-
YWHAB Recombinant Monoclonal Antibody
Applications: ELISA, WB, IHC, IF, FC
Species Reactivity: Human, Mouse, Rat
-
Phospho-YAP1 (S127) Recombinant Monoclonal Antibody
Applications: ELISA, WB, IHC
Species Reactivity: Human
-
-
-
-
-















