HMGA1 Antibody
-
中文名稱:HMGA1兔多克隆抗體
-
貨號:CSB-PA983341
-
規格:¥1100
-
圖片:
-
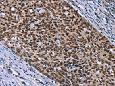
The image on the left is immunohistochemistry of paraffin-embedded Human colon cancer tissue using CSB-PA983341(HMGA1 Antibody) at dilution 1/30, on the right is treated with synthetic peptide. (Original magnification: ×200)
-
The image on the left is immunohistochemistry of paraffin-embedded Human cervical cancer tissue using CSB-PA983341(HMGA1 Antibody) at dilution 1/30, on the right is treated with synthetic peptide. (Original magnification: ×200)
-
-
其他:
產品詳情
-
Uniprot No.:
-
基因名:HMGA1
-
別名:High mobility group (nonhistone chromosomal) protein isoforms I and Y antibody; High mobility group AT hook 1 antibody; High mobility group AT-hook protein 1 antibody; High mobility group protein 1 antibody; High mobility group protein A1 antibody; High mobility group protein HMG-I/HMG-Y antibody; High mobility group protein Ia antibody; High mobility group protein R antibody; HMG R antibody; HMG-I(Y) antibody; HMGA1 antibody; HMGA1_HUMAN antibody; HMGA1A antibody; HMGIY antibody; MGC12816 antibody; MGC4242 antibody; MGC4854 antibody; Nonhistone chromosomal high mobility group protein HMG I/HMG Y antibody
-
宿主:Rabbit
-
反應種屬:Human,Mouse,Rat
-
免疫原:Synthetic peptide of Human HMGA1
-
免疫原種屬:Homo sapiens (Human)
-
標記方式:Non-conjugated
-
抗體亞型:IgG
-
純化方式:Antigen affinity purification
-
濃度:It differs from different batches. Please contact us to confirm it.
-
保存緩沖液:-20°C, pH7.4 PBS, 0.05% NaN3, 40% Glycerol
-
產品提供形式:Liquid
-
應用范圍:ELISA,IHC
-
推薦稀釋比:
Application Recommended Dilution ELISA 1:2000-1:10000 IHC 1:50-1:200 -
Protocols:
-
儲存條件:Upon receipt, store at -20°C or -80°C. Avoid repeated freeze.
-
貨期:Basically, we can dispatch the products out in 1-3 working days after receiving your orders. Delivery time maybe differs from different purchasing way or location, please kindly consult your local distributors for specific delivery time.
-
用途:For Research Use Only. Not for use in diagnostic or therapeutic procedures.
相關產品
靶點詳情
-
功能:HMG-I/Y bind preferentially to the minor groove of A+T rich regions in double-stranded DNA. It is suggested that these proteins could function in nucleosome phasing and in the 3'-end processing of mRNA transcripts. They are also involved in the transcription regulation of genes containing, or in close proximity to A+T-rich regions.
-
基因功能參考文獻:
- Study reveals HMGA1, a CK2 Substrate, as a drug-resistant target in non-small cell lung cancer (NSCLC). Results delineate the tyrosine kinase inhibitors (TKI) resistance-associated kinase-substrate network, suggesting a potential therapeutic strategy for overcoming TKI-induced resistance in NSCLC. PMID: 28290473
- HMGA1 overexpression increased FoxO1 mRNA and protein expression in vitro, in cultured HepG2 and HEK-293 cells by binding FoxO1 gene promoter, thereby activating FoxO1 gene transcription. PMID: 29052178
- High HMGA1 expression is associated with Esophageal Squamous Cell Carcinoma. PMID: 27882471
- The HMGA1 rs139876191 variant played a key role in a protective mechanism against proliferative diabetic retinopathy by downregulating the expression of vascular endothelial growth factor A (VEGFA), a major activator of neovascularization in diabetic retinopathy. PMID: 27991577
- results from Transwell and woundhealing experiments indicated that HMGA1 participates cell invasion and migration through the ILK/Akt/GSK3beta pathway PMID: 29152644
- Thrombocytosis was more prevalent in patients with inflammatory breast cancer (IBC)than in those with non-IBC and it was associated with poor prognosis. GRO and TGF-beta were associated with thrombocytosis in IBC. PMID: 28831670
- Findings demonstrate that proper subcellular localization of High-mobility group A1 (HMGA1) is important for its function in trophoblast cells, and suggest that aberrant cytoplasmic expression of HMGA1 contributes to the pathogenesis of preeclampsia through impairment of trophoblast migration. PMID: 28345487
- these results clearly indicate HMGA1 as a key regulator of the autophagic pathway in cancer cells. PMID: 28777374
- IGF2BP2 protein is a tumor promoter that drives cancer proliferation through its client mRNAs IGF2 and HMGA1. PMID: 28753127
- IL-24 inhibits AKT via regulating the HMGA1/miR-222 signaling node in human lung cancer cells and acts as an effective tumor suppressor. PMID: 27602961
- These data reveal an essential role for the molecular chaperone GRP78 in IGF-IR signaling and implicate the use of GRP78 inhibitors in blocking IGF-IR signaling in hepatoma cells. PMID: 28389416
- HMGA1 and MMP-11 may play a key role in the proliferation and progression of skin tumors in humans. PMID: 29374701
- HMGA1 overexpression in adherent A2780 cells increased cancer stem cell properties, including proliferation, spheroid-forming efficiency and the expression of stemness-related genes. In addition, HMGA1 regulated ABCG2 promoter activity through HMGA1-binding sites. PMID: 27561949
- Studies indicate that pseudogenes of the HMGA1 gene, that codes for the HMGA1a and HMGA1b proteins having a critical role in development and cancer progression. PMID: 26895108
- study revealed a subset of potential development-associated miRNAs and suggests a novel regulatory axis for myogenesis in which miR-195/497 promote myogenic differentiation by repressing the HMGA1-Id3 pathway. PMID: 28255268
- Findings demonstrate that a relationship exists between the HMGA1 rs146052672 variant and acute myocardial infarction, suggesting that defects at the HMGA1 locus may play a pathogenetic role. PMID: 27839822
- SNP rs5498 in ICAM-1 gene and IVS5-13insC variant in HMGA1 gene were not associated with the susceptibility of DR in the Chinese T2DM cohort. PMID: 26717491
- We show that the chromatin remodeling protein HMGA1 functions as a downstream effector of these biological responses to miR-296-5p and regulates Sox2 expression, a master driver of cell stemness, by modifying chromatin architecture at the Sox2 promoter PMID: 26898758
- tissue microarray revealed that HMGA1 was expressed in thyroid carcinoma more than that in normal thyroid tissues ; expression of HMGA1 and MMP-2 was identified to be positively correlated . The present study established the first link between HMGA1 and TGF-b1 in the regulation of thyroid cancer proliferation and invasion PMID: 28393241
- our research indicated an H19-miR138-HMGA1 pathway in regulating the migration and invasion of colon cancer, providing new insight for treatment of colon cancer. PMID: 28358427
- The results reported here indicate a critical role of HMGA1 in the development of glioblastoma multiforme; its suppression impairs proliferation and self-renewal of brain tumor stem cells PMID: 27486901
- miR-214 expression was poor while that of HMGA1 was high in cervical and colorectal cancer tissues. miR-214-re-expression or HMGA1 downregulation inhibited proliferation, migration and invasion of cancer cells while miR-214 inhibition had opposite effects. miR-214 was demonstrated to bind to the wild-type 3' untranslated region of HMGA1 but not with its mutant. PMID: 27537384
- HMGA1 is frequently expressed in cirrhotic tissues and HCCs and its expression is associated with high Edmondson grade and worse prognosis in HCC. PMID: 27855356
- Studies define a novel HMGA1-MMP-2 pathway involved in a subset of human carcinosarcomas and tumor progression in murine models. PMID: 27001612
- HMGA1 may function as an oncogene and modulate endometrial cancer cell migration and invasion by activating Wnt/beta-catenin pathway. PMID: 27470368
- Increased HMGA1 in pulmonary arterial endothelial cells resulting from dysfunctional BMPr2 signaling can transition endothelium to smooth muscle-like cells associated with pulmonary arterial hypertension. PMID: 27045138
- in splenic hemangioma with t(3;6)(q26;p21), the entire coding region of HMGA1 comes under the control of the TBL1XR1 promoter, bringing about dysregulation of HMGA1 PMID: 26708416
- This is the first report for the association between HMGA1 and S100A13 expression in the modulation of thyroid cancer growth and invasion. PMID: 27008379
- Data indicate that the high mobility group A1 (HMGA1) proteomic signature has prognostic value in breast cancer. PMID: 26527623
- In breast cancer patients, high levels of HMGA1 and CCNE2 expression are associated with the YAP/TAZ signature. PMID: 26265440
- HMGA1 is overexpressed in human breast carcinomas and its levels are associated with a particular endocrine status. PMID: 26251519
- Report epigenetic modification of miRNA targets HMGA transcripts on pituitary cells. PMID: 25557289
- Our data indicates that measuring urine high mobility group AT-hook 1 may serve as a useful diagnostic tool for serous epithelial ovarian cancer. PMID: 25586095
- The HMGA1 rs146052672 genotype variant had an overall statistically significant effect on increasing the risk of development of type 2 diabetes mellitus in Europeans. (Meta-analysis) PMID: 26296198
- Somatic mutation of mtDNA was associated with better prognosis of head and neck squamous cell carcinoma. PMID: 24976238
- Results show that HMGA1 binds CRMP1 promoter and regulates its expression in medulloblastoma cells. PMID: 26009886
- HMGA1 plays an important role on breast cancer aggressiveness and prognosis and may act as a promising target for prognostic prediction. PMID: 25772486
- CBX7/HMGA1b/NF-kappaB could take part in the same transcriptional mechanism that finally leads to the regulation of SPP1 gene expression in papillary thyroid carcinoma. PMID: 25595895
- The results of the present study indicate that miR-26a may be associated with human breast carcinogenesis, which inhibits tumor cell proliferation by targeting HMGA1. PMID: 25755724
- High expression of HMGA1 along with miR-26a downregulation indicated a worse prognosis for patients with urothelial bladder cancer. PMID: 25455159
- High HMGA1 expression is associated with colorectal cancer. PMID: 24696416
- Increased HMGA1 expression in human chondrocytes is associated with increased expression of IGFBP-3. PMID: 23036517
- HMGA1 plays an important role on NSCLC progression and prognosis and may act as a convictive biomarker for prognostic prediction PMID: 25344216
- results indicated that miR-142-3p may function as a tumor suppressor by targeting HMGA1 in osteosarcoma PMID: 24803022
- The prognostic significance of the HMGA-1 antigen was not confirmed in pituitary adenomas with residual tumor growth. PMID: 24452592
- our data indicate a critical role for HMGA1 in regulating both self-renewal and the symmetric/asymmetric division ratio in cancer stem cells PMID: 24833610
- HMGA1 is a key molecular switch required by cancer cells for tumor progression and a poorly differentiated, stem-like state. The HMGA1 gene and proteins are expressed at high levels in all aggressive tumors studied to date. Review. PMID: 24684280
- a differential control exerted by both Oct-1 and Oct-2 in the transcriptional regulation of the HMGA1 gene PMID: 24367622
- HMGA1 gene variant may have a role in type 2 diabetes, body mass index, and high-density lipoprotein cholesterol in a Hispanic-American population PMID: 24148075
- Results support a model in which the HMGA1/TAR interaction prevents the binding of transcription-activating cellular co-factors and Tat, subsequently leading to reduced HIV-1 transcription. PMID: 23392246
顯示更多
收起更多
-
相關疾病:A chromosomal aberration involving HMGA1 is found in pulmonary chondroid hamartoma. Translocation t(6;14)(p21;q23-24) with RAD51B.
-
亞細胞定位:Nucleus. Chromosome.
-
蛋白家族:HMGA family
-
數據庫鏈接:
Most popular with customers
-
-
YWHAB Recombinant Monoclonal Antibody
Applications: ELISA, WB, IHC, IF, FC
Species Reactivity: Human, Mouse, Rat
-
Phospho-YAP1 (S127) Recombinant Monoclonal Antibody
Applications: ELISA, WB, IHC
Species Reactivity: Human
-
-
-
-
-















