HIST1H2AB Antibody
-
中文名稱:HIST1H2AB兔多克隆抗體
-
貨號:CSB-PA010385HA01HU
-
規格:¥440
-
圖片:
-
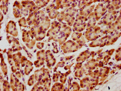
IHC image of CSB-PA010385HA01HU diluted at 1:1300 and staining in paraffin-embedded human pancreatic tissue performed on a Leica BondTM system. After dewaxing and hydration, antigen retrieval was mediated by high pressure in a citrate buffer (pH 6.0). Section was blocked with 10% normal goat serum 30min at RT. Then primary antibody (1% BSA) was incubated at 4°C overnight. The primary is detected by a biotinylated secondary antibody and visualized using an HRP conjugated SP system.
-
-
其他:
產品詳情
-
產品名稱:Rabbit anti-Homo sapiens (Human) HIST1H2AB Polyclonal antibody
-
Uniprot No.:
-
基因名:HIST1H2AB
-
別名:H2a 615 antibody; H2A antibody; H2A GL101 antibody; H2A histone family member A antibody; H2A.1 antibody; H2A.2 antibody; H2A/a antibody; H2A/m antibody; H2A/O antibody; H2A/q antibody; H2A1B_HUMAN antibody; H2AFA antibody; H2AFE antibody; H2AFL antibody; H2AFM antibody; H2AFO antibody; H2AFQ antibody; HIST1H2AE antibody; HIST1H2AJ antibody; HIST2H2AA antibody; HIST2H2AA3 antibody; HIST2H2AB antibody; HIST2H2AC antibody; Histone 1 H2ae antibody; Histone 2 H2aa3 antibody; Histone 2 H2ab antibody; Histone 2 H2ac antibody; Histone H2A type 1 B antibody; Histone H2A type 1 C antibody; Histone H2A type 1 E antibody; Histone H2A type 1 J antibody; Histone H2A type 1-B/E antibody; Histone H2A.2 antibody; Histone H2A/a antibody; Histone H2A/m antibody; MGC74460 antibody
-
宿主:Rabbit
-
反應種屬:Human
-
免疫原:Recombinant Human Histone H2A type 1-B/E protein (2-121AA)
-
免疫原種屬:Homo sapiens (Human)
-
標記方式:Non-conjugated
本頁面中的產品,HIST1H2AB Antibody (CSB-PA010385HA01HU),的標記方式是Non-conjugated。對于HIST1H2AB Antibody,我們還提供其他標記。見下表:
-
克隆類型:Polyclonal
-
抗體亞型:IgG
-
純化方式:>95%, Protein G purified
-
濃度:It differs from different batches. Please contact us to confirm it.
-
保存緩沖液:Preservative: 0.03% Proclin 300
Constituents: 50% Glycerol, 0.01M PBS, PH 7.4 -
產品提供形式:Liquid
-
應用范圍:ELISA, IHC
-
推薦稀釋比:
Application Recommended Dilution IHC 1:1000-1:2000 -
Protocols:
-
儲存條件:Upon receipt, store at -20°C or -80°C. Avoid repeated freeze.
-
貨期:Basically, we can dispatch the products out in 1-3 working days after receiving your orders. Delivery time maybe differs from different purchasing way or location, please kindly consult your local distributors for specific delivery time.
-
用途:For Research Use Only. Not for use in diagnostic or therapeutic procedures.
相關產品
靶點詳情
-
功能:Core component of nucleosome. Nucleosomes wrap and compact DNA into chromatin, limiting DNA accessibility to the cellular machineries which require DNA as a template. Histones thereby play a central role in transcription regulation, DNA repair, DNA replication and chromosomal stability. DNA accessibility is regulated via a complex set of post-translational modifications of histones, also called histone code, and nucleosome remodeling.
-
亞細胞定位:Nucleus. Chromosome.
-
蛋白家族:Histone H2A family
-
數據庫鏈接:
Most popular with customers
-
-
YWHAB Recombinant Monoclonal Antibody
Applications: ELISA, WB, IHC, IF, FC
Species Reactivity: Human, Mouse, Rat
-
Phospho-YAP1 (S127) Recombinant Monoclonal Antibody
Applications: ELISA, WB, IHC
Species Reactivity: Human
-
-
-
-
-















