HIC1 Antibody
-
中文名稱:HIC1兔多克隆抗體
-
貨號:CSB-PA623921LA01HU
-
規格:¥440
-
圖片:
-
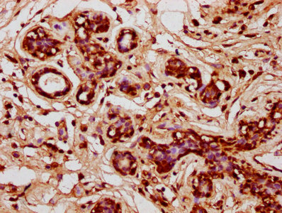
IHC image of CSB-PA623921LA01HU diluted at 1:400 and staining in paraffin-embedded human endometrial cancer performed on a Leica BondTM system. After dewaxing and hydration, antigen retrieval was mediated by high pressure in a citrate buffer (pH 6.0). Section was blocked with 10% normal goat serum 30min at RT. Then primary antibody (1% BSA) was incubated at 4°C overnight. The primary is detected by a biotinylated secondary antibody and visualized using an HRP conjugated SP system.
-
IHC image of CSB-PA623921LA01HU diluted at 1:400 and staining in paraffin-embedded human breast cancer performed on a Leica BondTM system. After dewaxing and hydration, antigen retrieval was mediated by high pressure in a citrate buffer (pH 6.0). Section was blocked with 10% normal goat serum 30min at RT. Then primary antibody (1% BSA) was incubated at 4°C overnight. The primary is detected by a biotinylated secondary antibody and visualized using an HRP conjugated SP system.
-
-
其他:
產品詳情
-
產品名稱:Rabbit anti-Homo sapiens (Human) HIC1 Polyclonal antibody
-
Uniprot No.:
-
基因名:HIC1
-
別名:Hic 1 antibody; HIC ZBTB transcriptional repressor 1 antibody; Hic-1 antibody; Hic1 antibody; HIC1_HUMAN antibody; Hypermethylated in cancer 1 antibody; Hypermethylated in cancer 1 protein antibody; ZBTB29 antibody; Zinc finger and BTB domain-containing protein 29 antibody; ZNF901 antibody
-
宿主:Rabbit
-
反應種屬:Human
-
免疫原:Recombinant Human Hypermethylated in cancer 1 protein (297-418AA)
-
免疫原種屬:Homo sapiens (Human)
-
標記方式:Non-conjugated
本頁面中的產品,HIC1 Antibody (CSB-PA623921LA01HU),的標記方式是Non-conjugated。對于HIC1 Antibody,我們還提供其他標記。見下表:
-
克隆類型:Polyclonal
-
抗體亞型:IgG
-
純化方式:>95%, Protein G purified
-
濃度:It differs from different batches. Please contact us to confirm it.
-
保存緩沖液:Preservative: 0.03% Proclin 300
Constituents: 50% Glycerol, 0.01M PBS, pH 7.4 -
產品提供形式:Liquid
-
應用范圍:ELISA, IHC
-
推薦稀釋比:
Application Recommended Dilution IHC 1:200-1:500 -
Protocols:
-
儲存條件:Upon receipt, store at -20°C or -80°C. Avoid repeated freeze.
-
貨期:Basically, we can dispatch the products out in 1-3 working days after receiving your orders. Delivery time maybe differs from different purchasing way or location, please kindly consult your local distributors for specific delivery time.
-
用途:For Research Use Only. Not for use in diagnostic or therapeutic procedures.
相關產品
靶點詳情
-
功能:Transcriptional repressor. Recognizes and binds to the consensus sequence '5-[CG]NG[CG]GGGCA[CA]CC-3'. May act as a tumor suppressor. Involved in development of head, face, limbs and ventral body wall. Involved in down-regulation of SIRT1 and thereby is involved in regulation of p53/TP53-dependent apoptotic DNA-damage responses. The specific target gene promoter association seems to be depend on corepressors, such as CTBP1 or CTBP2 and MTA1. In cooperation with MTA1 (indicative for an association with the NuRD complex) represses transcription from CCND1/cyclin-D1 and CDKN1C/p57Kip2 specifically in quiescent cells. Involved in regulation of the Wnt signaling pathway probably by association with TCF7L2 and preventing TCF7L2 and CTNNB1 association with promoters of TCF-responsive genes. Seems to repress transcription from E2F1 and ATOH1 which involves ARID1A, indicative for the participation of a distinct SWI/SNF-type chromatin-remodeling complex. Probably represses transcription of ACKR3, FGFBP1 and EFNA1.
-
基因功能參考文獻:
- In this present work, the authors identify and characterize a transcription factor i.e. HIC1, which physically interacts with both Bcl11b/CTIP2 and HMGA1 to co-regulate specific subsets of cellular genes and the HIV-1 tat gene. PMID: 27725726
- our data demonstrate that HIC1 SUMOylation is important for the transcriptional response to non-repairable DSBs but dispensable for DNA repair. PMID: 27935866
- Data suggest that aberrant expression of hypermethylated in cancer-1 (HIC1)/sirtuin-1 (SIRT1) and hypermethylation of the HIC1 promoter may be critical for the development and progression of papillary thyroid cancer. PMID: 27793057
- Hypermethylation of HIC1 gene is associated with Colon Cancer. PMID: 26671036
- Data show that secretion of IL-6 induced by loss of HIC1 activated STAT3 through IL-6/JAK pathway and was associated with NSCLC progression. PMID: 27107418
- The VNTR sequence near HIC1 could be a predictive marker for oxaliplatin-based chemotherapy in patients with metastatic colorectal cancer. PMID: 28708932
- Therefore, our data identify HIC1 as a novel factor involved in B cell differentiation acting as an epigenetic repressor of CIITA transcription. PMID: 27720955
- HIC1 loss promotes prostate cancer metastasis by triggering epithelial-mesenchymal transition. PMID: 28466555
- Data show that expression of hypermethylated in cancer 1 protein (HIC1) is downregulated in uveal melanoma. PMID: 27449031
- HIC1 attenuates invasion and metastasis by inhibiting the IL-6/STAT3 signalling pathway in human pancreatic ductal adenocarcinoma. PMID: 27085461
- Epigenetic silencing of HIC1 promotes epithelial-mesenchymal transition and drives progression in esophageal squamous cell carcinoma via EphA2 signaling. PMID: 26510908
- The tumor-suppressive function of Hic1 in colon is related to its inhibitory action on proproliferative signaling mediated by the Tlr2 receptor present on tumor cells. PMID: 25934696
- Results demonstrated an important role of HIC1 for the normal progression of cell cycle, and could affect the homeostasis of p53 as well as number of cell cycle-related genes, which may or may not be directly linked to p53. PMID: 24992983
- We found that EVI1 and HIC1 colocalize in the nucleus, and their interaction is mediated by the amino terminal zinc finger binding domain of EVI1 PMID: 24907396
- HIC-1 expression was assessed on a tissue microarray containing 80 cases of breast cancer. PMID: 24489730
- Hypermethylation of HIC1 promoter and aberrant expression of HIC1/SIRT1 might contribute to the carcinogenesis of pancreatic cancer. PMID: 22552606
- ectopic expression of HIC1 in U2OS and MDA-MB-231 cell lines decreases expression of the ApoER2 and VLDLR genes, encoding two canonical tyrosine kinase receptors for Reelin. PMID: 24076391
- HIC1 silencing in triple-negative breast cancer drives progression through misregulation of LCN2. PMID: 24295734
- HIC1 interacts with and modulates the transcriptional activity of STAT3. PMID: 24067369
- Reactivation of HIC1 suppressed cell migration and induced cell cycle arrest in the G0/G1 phase, as well as induced apoptosis in gastric cancer cells. PMID: 23769968
- Our data show for the first time that hypermethylation of HIC1 promoter results in loss of its repressive function, responsible for prostate cancer progression and invasion. PMID: 23340301
- epigenetic HIC1 inactivation, which is an early step in tumorigenesis, could contribute to the accumulation of DNA mutations through impaired DNA repair and thus favor tumorigenesis. PMID: 23417673
- these results further demonstrate that HIC1 is a key player in the regulation of the DNA damage response. PMID: 23178572
- A growth-regulatory role of HIC1 in the parathyroid glands and perturbed expression of HIC1 may represent an early event during tumor development. PMID: 22544915
- Promoter hypermethylation of tumor suppressor HIC1 is associated with prostate carcinoma. PMID: 22136354
- these results demonstrate that the activating acetylation to SUMOylation switch of HIC1 is favored by genotoxic stresses to regulate the DNA damage response. PMID: 22510409
- Identify HIC1 hypermethylation in renal cell carcinoma as an independent predictor of reduced recurrence-free survival. PMID: 22327210
- identify HIC1 as the first transcription factor in mammals able to recruit PRC2 to some target promoters through its interaction with Polycomb-like proteins. PMID: 22315224
- loss of the regulation of this Eph pathway through HIC1 epigenetic silencing could be an important mechanism in the pathogenesis of epithelial cancers PMID: 22184117
- early inactivation of HIC1 in breast carcinomas could predispose to stress-induced metastasis through up-regulation of the beta-2 adrenergic receptor PMID: 22194601
- Silencing of HIC1 and TOB1 expression is a common occurrence in gastric cancer and may contribute to the development and progression of the disease. PMID: 21533545
- High frequency of methylation at MGMT, RASSFA, and HIC-1 was detected in colorectal carcinoma patients PMID: 21274674
- This review highlights the role of HIC1 inactivation in solid tumours and particularly in leukaemia development PMID: 21104471
- Maternal genes FLNB, HIC1 and ZNF189 were strongly associated with risk of clefting. PMID: 20634891
- Investigated the methylation of the SFRP2, P16, DAPK1, HIC1, and MGMT genes, as well as the mutation of amino acid codons 12 and 13 of the KRAS gene in normal and tumor tissue DNA of patients diagnosed with sporadic colorectal cancer. PMID: 20682398
- identify MTA1, a subunit of the NuRD complex, as a new HIC1 corepressor PMID: 20547755
- The human candidate tumor suppressor gene HIC1 recruits CtBP through a degenerate GLDLSKK motif. PMID: 12052894
- aberrant methylation of HIC1 may play a role in the pathogenesis of specific pediatric tumors PMID: 14506157
- epigenetic silencing of HIC-1 may well contribute to the pathogenesis in the majority of medulloblastomas. PMID: 14656076
- Inactivation of HIC1 by hypermethylation is associated with medulloblastoma pathogenesis PMID: 14688019
- analysis of HIC1 consensus binding sequence and its DNA binding and repressive properties PMID: 15231840
- In human osteosarcomas, hypermethylation of HIC1 is frequent only in tumors with p53 mutation PMID: 15488761
- HIC1 p53-responsive element (HIC1.PRE) is necessary and sufficient to mediate induction of transcription by p53 PMID: 16301995
- HIC1 is involved in a certain feedback regulation for p53 in tumor suppression through histone deacetylase. (review) PMID: 16386221
- These data indicate that the intracellular amounts of HIC1 protein can modulate the level of the transcriptional stimulation of the genes regulated by canonical Wnt/beta-catenin signaling. PMID: 16724116
- HIC1 interaction with the corepressor CtBP depends on a central leucine residue PMID: 16762039
- HIC1 is a target of the class III deacetylase SIRT1 and identify a new posttranslational modification step in the P53-HIC1-SIRT1 regulatory loop. PMID: 17283066
- Detailed mapping of chromosome 17p deletions reveals HIC1 as a novel tumor suppressor gene candidate telomeric to TP53 in diffuse large B-cell lymphoma PMID: 17982487
- ARID1A/BAF250A was identified as a new HIC1 partner. PMID: 19486893
- Transcription factors were screened for regulation of a human HIC1 promoter reporter. Found that E2F1 strongly activates the full-length HIC1 promoter reporter. PMID: 19491197
顯示更多
收起更多
-
亞細胞定位:Nucleus.
-
蛋白家族:Krueppel C2H2-type zinc-finger protein family, Hic subfamily
-
組織特異性:Ubiquitously expressed with highest levels found in lung, colon, prostate, thymus, testis and ovary. Expression is absent or decreased in many tumor cells.
-
數據庫鏈接:
Most popular with customers
-
-
YWHAB Recombinant Monoclonal Antibody
Applications: ELISA, WB, IHC, IF, FC
Species Reactivity: Human, Mouse, Rat
-
Phospho-YAP1 (S127) Recombinant Monoclonal Antibody
Applications: ELISA, WB, IHC
Species Reactivity: Human
-
-
-
-
-















