HGD Antibody
-
中文名稱:HGD兔多克隆抗體
-
貨號:CSB-PA842354ESR2HU
-
規格:¥3900
-
圖片:
-
Western blot
All lanes: HGDantibody at 2.43μg/ml
Lane 1: Hela whole cell lysate
Lane 2: 293T whole cell lysate
Secondary
Goat polyclonal to rabbit IgG at 1/10000 dilution
Predicted band size: 50 kDa
Observed band size: 50 kDa -
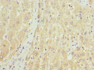
Immunohistochemistry of paraffin-embedded human liver tissue using CSB-PA842354ESR2HU at dilution of 1:100
-
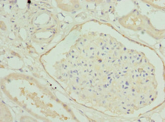
Immunohistochemistry of paraffin-embedded human kidney tissue using CSB-PA842354ESR2HU at dilution of 1:100
-
-
其他:
產品詳情
-
產品名稱:Rabbit anti-Homo sapiens (Human) HGD Polyclonal antibody
-
Uniprot No.:
-
基因名:HGD
-
別名:2-dioxygenase antibody; AKU antibody; FLJ94126 antibody; hgd antibody; HGD_HUMAN antibody; HGO antibody; Homogentisate 1 2 dioxygenase antibody; Homogentisate 1 antibody; Homogentisate oxidase antibody; Homogentisate oxygenase antibody; Homogentisic acid oxidase antibody; Homogentisicase antibody
-
宿主:Rabbit
-
反應種屬:Human
-
免疫原:Recombinant Human Homogentisate 1,2-dioxygenase protein (226-445AA)
-
免疫原種屬:Homo sapiens (Human)
-
標記方式:Non-conjugated
-
克隆類型:Polyclonal
-
抗體亞型:IgG
-
純化方式:Antigen Affinity Purified
-
濃度:It differs from different batches. Please contact us to confirm it.
-
保存緩沖液:PBS with 0.02% sodium azide, 50% glycerol, pH7.3.
-
產品提供形式:Liquid
-
應用范圍:ELISA, WB, IHC
-
推薦稀釋比:
Application Recommended Dilution WB 1:1000-1:5000 IHC 1:20-1:200 -
Protocols:
-
儲存條件:Upon receipt, store at -20°C or -80°C. Avoid repeated freeze.
-
貨期:Basically, we can dispatch the products out in 1-3 working days after receiving your orders. Delivery time maybe differs from different purchasing way or location, please kindly consult your local distributors for specific delivery time.
-
用途:For Research Use Only. Not for use in diagnostic or therapeutic procedures.
相關產品
靶點詳情
-
基因功能參考文獻:
- Twelve novel HGD gene variants have been identified in 99 alkaptonuria patients affecting the bones. PMID: 25804398
- A novel alkaptonuria mutation, c.87 + 1G > A, shows a significant founder effect and high prevalence in a nomadic Indian population. PMID: 24575791
- study described two novel HGD mutations in a Chinese alkaptonuria family, the splicing mutation of IVS7 1G>C, a donor splice site of exon 7, and a missense mutation of F329C in exon 12 PMID: 23353776
- Report mutations of the HGD gene in Jordanian alkaptonuria patients. PMID: 21437689
- The observed increase of HGD expression in Alkaptonuria cells is probably due to a compensatory mechanism to overcome the almost null catalytic activity of the deficient enzyme PMID: 22105303
- An update on molecular genetics of Alkaptonuria (AKU).(review) PMID: 21720873
- Familiar ochronotic arthropathy is caused by a gene mutation of the homogentisic acid 1,2-dioxygenase (HGD) gene traced three hundred years in a Hungarian family. PMID: 20462779
- A comprehensive mutation analysis of 93 patients enrolled in this study, as well as an extensive update of all previously published HGD mutations associated with alkaptonuria, is reported. PMID: 19862842
- Turkish mutation shares an homogentisate 1,2-dioxygenase haplotype with the mutation found in Finland, Slovakia and India, suggesting that R58fs is an old alkaptonuria mutation that probably originated in central Asia PMID: 12872836
- Four different mutations of the HGD gene were found in alkaptonuria and ochronotic arthropathy diagnoses. PMID: 16085442
- A single nucleotide deletion located in exon 3 resulted in a frameshift mutation in HGD gene in family with alkaptonuria. PMID: 18945288
顯示更多
收起更多
-
相關疾病:Alkaptonuria (AKU)
-
蛋白家族:Homogentisate dioxygenase family
-
組織特異性:Highest expression in the prostate, small intestine, colon, kidney and liver.
-
數據庫鏈接:
Most popular with customers
-
-
YWHAB Recombinant Monoclonal Antibody
Applications: ELISA, WB, IHC, IF, FC
Species Reactivity: Human, Mouse, Rat
-
Phospho-YAP1 (S127) Recombinant Monoclonal Antibody
Applications: ELISA, WB, IHC
Species Reactivity: Human
-
-
-
-
-















