HEXB Antibody
-
中文名稱:HEXB兔多克隆抗體
-
貨號:CSB-PA010316LA01HU
-
規格:¥440
-
圖片:
-
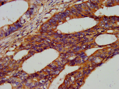
IHC image of CSB-PA010316LA01HU diluted at 1:300 and staining in paraffin-embedded human colon cancer performed on a Leica BondTM system. After dewaxing and hydration, antigen retrieval was mediated by high pressure in a citrate buffer (pH 6.0). Section was blocked with 10% normal goat serum 30min at RT. Then primary antibody (1% BSA) was incubated at 4°C overnight. The primary is detected by a biotinylated secondary antibody and visualized using an HRP conjugated SP system.
-
-
其他:
產品詳情
-
產品名稱:Rabbit anti-Homo sapiens (Human) HEXB Polyclonal antibody
-
Uniprot No.:
-
基因名:
-
別名:Beta hexosaminidase beta chain antibody; Beta hexosaminidase subunit beta antibody; Beta N acetylhexosaminidase antibody; Beta-hexosaminidase subunit beta chain A antibody; Beta-N-acetylhexosaminidase subunit beta antibody; Cervical cancer proto oncogene 7 protein antibody; Cervical cancer proto-oncogene 7 protein antibody; ENC 1AS antibody; Epididymis luminal protein 248 antibody; HCC 7 antibody; HCC-7 antibody; HCC7 antibody; HEL 248 antibody; HEX B antibody; Hexb antibody; HEXB_HUMAN antibody; Hexosaminidase B (beta polypeptide) antibody; Hexosaminidase B antibody; Hexosaminidase subunit B antibody; HexosaminidaseB antibody; N acetyl beta glucosaminidase antibody; N-acetyl-beta-glucosaminidase subunit beta antibody
-
宿主:Rabbit
-
反應種屬:Human
-
免疫原:Recombinant Human Beta-hexosaminidase subunit beta protein (408-528AA)
-
免疫原種屬:Homo sapiens (Human)
-
標記方式:Non-conjugated
本頁面中的產品,HEXB Antibody (CSB-PA010316LA01HU),的標記方式是Non-conjugated。對于HEXB Antibody,我們還提供其他標記。見下表:
-
克隆類型:Polyclonal
-
抗體亞型:IgG
-
純化方式:>95%, Protein G purified
-
濃度:It differs from different batches. Please contact us to confirm it.
-
保存緩沖液:Preservative: 0.03% Proclin 300
Constituents: 50% Glycerol, 0.01M PBS, pH 7.4 -
產品提供形式:Liquid
-
應用范圍:ELISA, IHC
-
推薦稀釋比:
Application Recommended Dilution IHC 1:200-1:500 -
Protocols:
-
儲存條件:Upon receipt, store at -20°C or -80°C. Avoid repeated freeze.
-
貨期:Basically, we can dispatch the products out in 1-3 working days after receiving your orders. Delivery time maybe differs from different purchasing way or location, please kindly consult your local distributors for specific delivery time.
-
用途:For Research Use Only. Not for use in diagnostic or therapeutic procedures.
相關產品
靶點詳情
-
功能:Hydrolyzes the non-reducing end N-acetyl-D-hexosamine and/or sulfated N-acetyl-D-hexosamine of glycoconjugates, such as the oligosaccharide moieties from proteins and neutral glycolipids, or from certain mucopolysaccharides. The isozyme B does not hydrolyze each of these substrates, however hydrolyzes efficiently neutral oligosaccharide. Only the isozyme A is responsible for the degradation of GM2 gangliosides in the presence of GM2A. During fertilization is responsible, at least in part, for the zona block to polyspermy. Present in the cortical granules of non-activated oocytes, is exocytosed during the cortical reaction in response to oocyte activation and inactivates the sperm galactosyltransferase-binding site, accounting for the block in sperm binding to the zona pellucida.
-
基因功能參考文獻:
- a modified human hexosaminidase subunit beta (HexB), which we have termed mod2B, composed of homodimeric beta subunits that contain amino acid sequences from the alpha subunit that confer GM2 ganglioside-degrading activity and protease resistance. PMID: 27018595
- Mutations of the HEXB gene is associated with maple syrup urine disease or Sandhoff disease. PMID: 27682710
- report on the heterogeneity of the mutational spectrum of the HEXB gene in Indian patients with Sandhoff disease PMID: 26582265
- The absence of beta-N-acetyl-hexosaminidase activity does not alter the differentiation of i-DCs from HSCs, but it is critical for the activation of CD4(+)T cells because knock-down of HEXA or HEXB gene causes a loss of function of i-DCs. PMID: 21997228
- Concentration and specific activity of N-acetyl-B-hexosaminidase in palatine tonsils in patients with tonsillar hypertrophy and chronic tonsillitis both in childhood and adulthood significantly increase in comparison to healthy individuals. PMID: 23911049
- A total of 19 HEXB variants were found in the 1092 genomes of which 5 are suspected of having a deleterious effect on hexosaminidase activity. PMID: 24461908
- DNA from Iranian Tay-Sachs patients reveals a novel mutation in HEXB predicting a termination codon or nonsense mutation. PMID: 24518553
- A patient with Sandhoff disease also is found to have a compound macro-deletion in HEXB. PMID: 23886397
- A highly significant correlation of HEX-7 and %CDT has been found. Because of exclusion of the P isoform, HEX-7 could be a useful supplementary marker for detecting chronic alcohol abuse. PMID: 23906468
- Expression of beta-hexosaminidase in the neurons of Sandhoff disease patients rescues transgenic mice from neurodegeneration. PMID: 22863301
- minigene studies revealed the presence of a novel alternative spliced HEXB mRNA variant also present in normal cells PMID: 22848519
- Characterization of seven novel mutations on the HEXB gene in French Sandhoff patients. PMID: 23046579
- We describe a novel HEXB mutation that is shared among 4 patients with Sandhoff disease. PMID: 22191674
- Plasma beta-hexosaminidase and beta-galactosidase) levels are higher in patients with Alzheimer's disease-type 2 diabetes mellitus (T2DM) compared to those with T2DM alone. PMID: 21321400
- The X-ray crystal structure of beta-hexosaminidase B provides new insights into mutations that cause Sandhoff disease. PMID: 12706724
- novel c.1556A>G transition in exon 12 of the HEXB gene associated with chronic Sandhoff's disease PMID: 17251047
- Beta-hexosaminidase is a peptidoglycan hydrolase that surprisingly exerts its mycobactericidal effect at the macrophage plasma membrane during mycobacteria-induced secretion of lysosomes PMID: 18180457
- Elevated activity of beta-hexosaminidase observed in subjects with asthma suggests that the beta-hex isozyme could take part in airway inflammation and remodeling in asthma. PMID: 18204279
- Lysosome-related genes, such as CLN2, CLN3, and HEXB, may be involved in the pathogenesis of adipose tissue hypertrophy in TED. PMID: 18552385
- These results reveal a new aspect of beta-hexosaminidase biology and suggest that a fully processed membrane-associated form of Hex is translocated from the lysosomal membrane to the PM by an as yet unknown mechanism. W PMID: 18588514
- Results describe the molecular genetics of Sandhoff disease in Italy and provide new insights into the molecular basis of the disease through HEXB mutation. PMID: 18758829
- A new D459A missense HEXB mutation was discovered in six juvenile patients with Sandhoff disease. PMID: 18930675
- Gene therapy reduced GM(2) storage and ameliorated neuroinflammation in the brain of HexB(-/-) mice, as well as attenuated behavioral deficits. PMID: 19278737
- Data suggest that cigarette smoking can inhibit, by the influence on N-acetyl-beta-hexosaminidase activity, catabolism of oligosaccharide chains in cancer tissues. PMID: 19615986
顯示更多
收起更多
-
相關疾病:GM2-gangliosidosis 2 (GM2G2)
-
亞細胞定位:Lysosome. Cytoplasmic vesicle, secretory vesicle, Cortical granule.
-
蛋白家族:Glycosyl hydrolase 20 family
-
數據庫鏈接:
Most popular with customers
-
-
YWHAB Recombinant Monoclonal Antibody
Applications: ELISA, WB, IHC, IF, FC
Species Reactivity: Human, Mouse, Rat
-
Phospho-YAP1 (S127) Recombinant Monoclonal Antibody
Applications: ELISA, WB, IHC
Species Reactivity: Human
-
-
-
-
-















