HERC5 Antibody
-
中文名稱:HERC5兔多克隆抗體
-
貨號:CSB-PA883435LA01HU
-
規格:¥440
-
圖片:
-
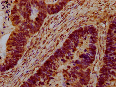
IHC image of CSB-PA883435LA01HU diluted at 1:100 and staining in paraffin-embedded human ovarian cancer performed on a Leica BondTM system. After dewaxing and hydration, antigen retrieval was mediated by high pressure in a citrate buffer (pH 6.0). Section was blocked with 10% normal goat serum 30min at RT. Then primary antibody (1% BSA) was incubated at 4°C overnight. The primary is detected by a biotinylated secondary antibody and visualized using an HRP conjugated SP system.
-
Immunofluorescence staining of Hela cells with CSB-PA883435LA01HU at 1:33, counter-stained with DAPI. The cells were fixed in 4% formaldehyde, permeabilized using 0.2% Triton X-100 and blocked in 10% normal Goat Serum. The cells were then incubated with the antibody overnight at 4°C. The secondary antibody was Alexa Fluor 488-congugated AffiniPure Goat Anti-Rabbit IgG(H+L).
-
-
其他:
產品詳情
-
產品名稱:Rabbit anti-Homo sapiens (Human) HERC5 Polyclonal antibody
-
Uniprot No.:
-
基因名:HERC5
-
別名:CEB1 antibody; CEBP1 antibody; Cyclin E binding protein 1 antibody; Cyclin-E-binding protein 1 antibody; E3 ISG15--protein ligase HERC5 antibody; HECT domain and RCC1 like domain containing protein 5 antibody; HECT domain and RCC1-like domain-containing protein 5 antibody; Hect domain and RLD 5 antibody; HECT E3 ubiquitin ligase antibody; HERC5 antibody; HERC5_HUMAN antibody; Herc6 antibody
-
宿主:Rabbit
-
反應種屬:Human
-
免疫原:Recombinant Human E3 ISG15--protein ligase HERC5 protein (153-284AA)
-
免疫原種屬:Homo sapiens (Human)
-
標記方式:Non-conjugated
本頁面中的產品,HERC5 Antibody (CSB-PA883435LA01HU),的標記方式是Non-conjugated。對于HERC5 Antibody,我們還提供其他標記。見下表:
-
克隆類型:Polyclonal
-
抗體亞型:IgG
-
純化方式:>95%, Protein G purified
-
濃度:It differs from different batches. Please contact us to confirm it.
-
保存緩沖液:Preservative: 0.03% Proclin 300
Constituents: 50% Glycerol, 0.01M PBS, pH 7.4 -
產品提供形式:Liquid
-
應用范圍:ELISA, IHC, IF
-
推薦稀釋比:
Application Recommended Dilution IHC 1:20-1:200 IF 1:20-1:200 -
Protocols:
-
儲存條件:Upon receipt, store at -20°C or -80°C. Avoid repeated freeze.
-
貨期:Basically, we can dispatch the products out in 1-3 working days after receiving your orders. Delivery time maybe differs from different purchasing way or location, please kindly consult your local distributors for specific delivery time.
-
用途:For Research Use Only. Not for use in diagnostic or therapeutic procedures.
相關產品
靶點詳情
-
功能:Major E3 ligase for ISG15 conjugation. Acts as a positive regulator of innate antiviral response in cells induced by interferon. Functions as part of the ISGylation machinery that recognizes target proteins in a broad and relatively non-specific manner. Catalyzes ISGylation of IRF3 which results in sustained activation, it attenuates IRF3-PIN1 interaction, which antagonizes IRF3 ubiquitination and degradation, and boosts the antiviral response. Catalyzes ISGylation of influenza A viral NS1 which attenuates virulence; ISGylated NS1 fails to form homodimers and thus to interact with its RNA targets. Catalyzes ISGylation of papillomavirus type 16 L1 protein which results in dominant-negative effect on virus infectivity. Physically associated with polyribosomes, broadly modifies newly synthesized proteins in a cotranslational manner. In an interferon-stimulated cell, newly translated viral proteins are primary targets of ISG15.
-
基因功能參考文獻:
- Low HERC5 expression is associated with HIV infections. PMID: 29669830
- A synonymous mutation at rs6857425 (T-C) was present in the same region among all study groups (T-C), irrespective of their HIV status. PMID: 28737979
- Results show that HERC5 mediates covalent ISG15 conjugation to parkin in mammalian cells and that ISG15 is conjugated to the Lys349 and Lys369 residues of parkin. PMID: 27534820
- HERC5 plays a crucial role in HCC immune evasion and has clinical relevance as a reproducible prognostic marker for risk of tumor recurrence and survival in patients. PMID: 26653219
- The inhibitory effect of ISG15 on HCV RNA replication does not require its conjugation to substrates by HERC5. PMID: 26361997
- vIRF1 association with HERC5 altered ISG15 modification of cellular proteins, and knockdown of ISG15 augmented reactivation of KSHV from latency. PMID: 26355087
- The study reports on the NMR solution structure of a G-quadruplex formed by the CEB1 DNA G-rich fragment d(AGGGGGGAGGGAGGGTGG), harboring several G-tracts including one with six continuous guanines. PMID: 24742225
- Results show that HERC5 gene may be involved in regulating the spread of non-small cell lung cancer tumors where the methylation of its promoter is correlated with number increase of disseminated tumor cells and metastases as well as survival decreased. PMID: 25353388
- Authors identified a second distinct mechanism by which HERC5 inhibits HIV-1 replication and demonstrate that HERC5 is evolving under strong positive selection. PMID: 24693865
- Data indicate that income was inversely related to smoking behavior, and paternally derived CEB1 mutations were dose dependently increased when the father smoked in the 6 mo before pregnancy, 0.21 vs. 0.05 in smoking and nonsmoking fathers, respectively. PMID: 23538710
- The E3 ligase activity of HERC5 was required for blocking HIV-1 Gag particle production and correlated with the post-translational modification of Gag with ISG15. PMID: 22093708
- This study characterizes HERC5 as a positive regulator of innate antiviral responses, and show that it sustains IRF3 activation via a novel posttranslational modification, ISG15-ylation. PMID: 20308324
- Data show that HERC5, a functionally active HECT ubiquitin ligase, exhibits a tightly controlled cytosolic level under inflammatory conditions in endothelial cells. PMID: 15331633
- HERC5/Ceb1 is involved in the conjugation of ISG15 to cellular proteins. PMID: 16815975
- these results suggest that Herc5 functions as a general E3 ligase for protein ISGylation. PMID: 16884686
- Overexpression of cyclin E is associated with neuroendocrine lung tumors PMID: 17471231
顯示更多
收起更多
-
亞細胞定位:Cytoplasm, perinuclear region. Note=Associated with the polyribosomes, probably via the 60S subunit.
-
組織特異性:Expressed in testis and to a lesser degree in brain, ovary and placenta. Found in most tissues at low levels.
-
數據庫鏈接:
Most popular with customers
-
-
YWHAB Recombinant Monoclonal Antibody
Applications: ELISA, WB, IHC, IF, FC
Species Reactivity: Human, Mouse, Rat
-
Phospho-YAP1 (S127) Recombinant Monoclonal Antibody
Applications: ELISA, WB, IHC
Species Reactivity: Human
-
-
-
-
-















