HEPH Antibody
-
中文名稱:HEPH兔多克隆抗體
-
貨號:CSB-PA010289ESR1HU
-
規格:¥440
-
圖片:
-
Western Blot
Positive WB detected in: K562 whole cell lysate(30μg), Hela whole cell lysate(30μg), MCF7 whole cell lysate(30μg)
All lanes: HEPH antibody at 1:1000
Secondary
Goat polyclonal to rabbit IgG at 1/20000 dilution
Predicted band size: 131,137,101 kDa
Observed band size: 101 kDa
Exposure time: 120s -
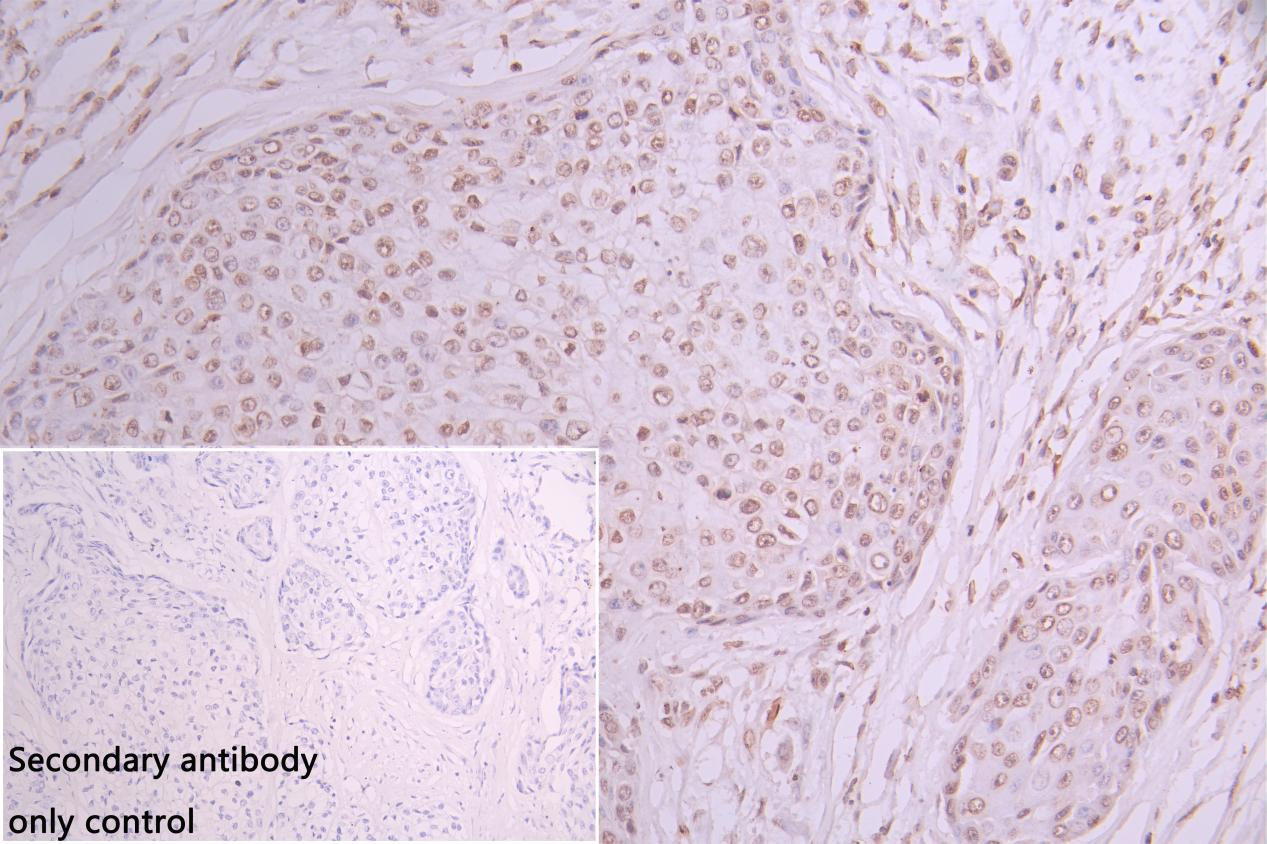
IHC image of CSB-PA010289ESR1HU diluted at 1:30 and staining in paraffin-embedded human pancreatic cancer performed on a Leica BondTM system. After dewaxing and hydration, antigen retrieval was mediated by high pressure in a citrate buffer (pH 6.0). Section was blocked with 10% normal goat serum 30min at RT. Then primary antibody (1% BSA) was incubated at 4°C overnight. The primary is detected by a Goat anti-rabbit polymer IgG labeled by HRP and visualized using 0.05% DAB. Secondary antibody only control: uses 1% BSA instead of primary antibody
-
IHCimageofCSB-PA010289ESR1HUdilutedat1:30andstaininginparaffin-embeddedhumancolorectalcancerperformedonaLeicaBondTMsystem.Afterdewaxingandhydration,antigenretrievalwasmediatedbyhighpressureinacitratebuffer(pH6.0).Sectionwasblockedwith10%normalgoatserum30minatRT.Thenprimaryantibody(1%BSA)wasincubatedat4°Covernight.TheprimaryisdetectedbyaGoatanti-rabbitpolymerIgGlabeledbyHRPandvisualizedusing0.05%DAB. Secondaryantibodyonlycontrol: uses 1%BSA instead of primary antibody
-
-
其他:
產品詳情
-
產品名稱:Rabbit anti-Homo sapiens (Human) HEPH Polyclonal antibody
-
Uniprot No.:
-
基因名:HEPH
-
別名:CPL antibody; Heph antibody; HEPH_HUMAN antibody; Hephaestin antibody
-
宿主:Rabbit
-
反應種屬:Human
-
免疫原:Recombinant Human Hephaestin protein (300-580AA)
-
免疫原種屬:Homo sapiens (Human)
-
標記方式:Non-conjugated
-
克隆類型:Polyclonal
-
抗體亞型:IgG
-
純化方式:Antigen Affinity Purified
-
濃度:It differs from different batches. Please contact us to confirm it.
-
保存緩沖液:Preservative: 0.03% Proclin 300
Constituents: 50% Glycerol, 0.01M PBS, pH 7.4 -
產品提供形式:Liquid
-
應用范圍:ELISA, WB, IHC
-
推薦稀釋比:
Application Recommended Dilution WB 1:500-1:2000 IHC 1:20-1:100 -
Protocols:
-
儲存條件:Upon receipt, store at -20°C or -80°C. Avoid repeated freeze.
-
貨期:Basically, we can dispatch the products out in 1-3 working days after receiving your orders. Delivery time maybe differs from different purchasing way or location, please kindly consult your local distributors for specific delivery time.
-
用途:For Research Use Only. Not for use in diagnostic or therapeutic procedures.
相關產品
靶點詳情
-
功能:May function as a ferroxidase for ferrous (II) to ferric ion (III) conversion and may be involved in copper transport and homeostasis. Implicated in iron homeostasis and may mediate iron efflux associated to ferroportin 1.
-
基因功能參考文獻:
- This review describes function of hephaestin as ferroxidase is essential for iron binding to apotransferrin in the lamina propria of the intestinal mucosa, a process that is important for further transport of iron to the liver by the portal vein. PMID: 24988611
- Iron efflux from human brain microvasculature endothelial cells ferroportin requires the action of an exocytoplasmic ferroxidase which can be either endogenous hephaestin or extracellular ceruloplasmin. PMID: 23640881
- Heph is active in placenta but may not play a key role in placental iron transport. PMID: 22170436
- These results support the hypothesis that hephaestin is involved in iron mobilization of iron from the intestine to circulation. PMID: 22503983
- In contrast to ceruloplasmin, hephaestin was incapable of direct oxidation of adrenaline and dopamine implying a difference in biological substrate specificities between these two homologous ferroxidases. PMID: 21802403
- Hephaestin is expressed in enterocytes, in the antral portion of the stomach, in the myenteric and submucous plexi, and in pancreatic beta-cells. PMID: 20019163
- location was observed on or near the cell surface suggesting it might participate in surface membrane transport of iron PMID: 11891802
- The gene structure, spanning approximately 100 kb, was assembled from the cDNA clones and the chromosome X genomic sequence data. Modelling supports its role as a membrane-tethered ferroxidase. PMID: 11932491
- The hephaestin protein mRNA expression is not significantly altered by variations in iron homeostasis. The effect of phlebotomy-induced erythropoiesis did not alter either gene transcript mRNA expression. PMID: 16137899
- Reombinant hephaestin was shown to have both multicopper oxidase and ferroxidase activity. PMID: 16274220
- Results suggest the possibility that FPN-1 might associate and interact with Heph in the process of iron exit across the basolateral membrane of intestinal absorptive cell. PMID: 17486601
- stable complex between these Cp and Hp and Tf does not occur under the experimental conditions used PMID: 18022819
- Repletion of copper in Caco2 cells leads to reconstitution of hephaestin protein expression, activity, and transepithelial iron transport. PMID: 19452451
顯示更多
收起更多
-
亞細胞定位:Membrane; Single-pass type I membrane protein.
-
蛋白家族:Multicopper oxidase family
-
組織特異性:Detected in breast, colon, bone trabecular cells and fibroblasts.
-
數據庫鏈接:
Most popular with customers
-
-
YWHAB Recombinant Monoclonal Antibody
Applications: ELISA, WB, IHC, IF, FC
Species Reactivity: Human, Mouse, Rat
-
Phospho-YAP1 (S127) Recombinant Monoclonal Antibody
Applications: ELISA, WB, IHC
Species Reactivity: Human
-
-
-
-
-















