HCN2 Antibody
-
中文名稱:HCN2兔多克隆抗體
-
貨號:CSB-PA076798
-
規格:¥1100
-
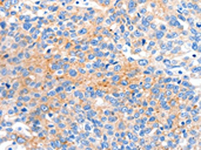
圖片:
-
The image on the left is immunohistochemistry of paraffin-embedded Human breast cancer tissue using CSB-PA076798(HCN2 Antibody) at dilution 1/80, on the right is treated with synthetic peptide. (Original magnification: ×200)
-
The image on the left is immunohistochemistry of paraffin-embedded Human ovarian cancer tissue using CSB-PA076798(HCN2 Antibody) at dilution 1/80, on the right is treated with synthetic peptide. (Original magnification: ×200)
-
-
其他:
產品詳情
-
Uniprot No.:
-
基因名:
-
別名:BCNG-2 antibody; BCNG2 antibody; Brain cyclic nucleotide gated channel 2 antibody; Brain cyclic nucleotide-gated channel 2 antibody; HAC1 antibody; Hcn2 antibody; HCN2_HUMAN antibody; Potassium/sodium hyperpolarization-activated cyclic nucleotide-gated channel 2 antibody
-
宿主:Rabbit
-
反應種屬:Human,Mouse,Rat
-
免疫原:Synthetic peptide of Human HCN2
-
免疫原種屬:Homo sapiens (Human)
-
標記方式:Non-conjugated
-
抗體亞型:IgG
-
純化方式:Antigen affinity purification
-
濃度:It differs from different batches. Please contact us to confirm it.
-
保存緩沖液:-20°C, pH7.4 PBS, 0.05% NaN3, 40% Glycerol
-
產品提供形式:Liquid
-
應用范圍:ELISA,IHC
-
推薦稀釋比:
Application Recommended Dilution ELISA 1:2000-1:10000 IHC 1:50-1:200 -
Protocols:
-
儲存條件:Upon receipt, store at -20°C or -80°C. Avoid repeated freeze.
-
貨期:Basically, we can dispatch the products out in 1-3 working days after receiving your orders. Delivery time maybe differs from different purchasing way or location, please kindly consult your local distributors for specific delivery time.
-
用途:For Research Use Only. Not for use in diagnostic or therapeutic procedures.
相關產品
靶點詳情
-
功能:Hyperpolarization-activated ion channel exhibiting weak selectivity for potassium over sodium ions. Contributes to the native pacemaker currents in heart (If) and in neurons (Ih). Can also transport ammonium in the distal nephron. Produces a large instantaneous current. Modulated by intracellular chloride ions and pH; acidic pH shifts the activation to more negative voltages.
-
基因功能參考文獻:
- beta2-adrenoceptors alone strongly enhanced the activity of HCN2 channels, and co-expression of odorant receptors further diversified the HCN2 channel activity. PMID: 29054409
- TRIP8b competes with a portion of the cAMP-binding site or distorts the binding site by making interactions with the binding pocket, thus acting predominantly as a competitive antagonist that inhibits the cyclic-nucleotide dependence of HCN channels. PMID: 28864772
- HCN2 has a role in maturation and processing of the amyloid precursor protein PMID: 28017718
- promoter methylation status does not appear to be a major determinant of HCN2 expression in normal and adenoid cystic carcinoma ( ACC )tissues. HCN2 hypomethylation is a biomarker of ACC and may play an important role in the carcinogenesis of ACC. PMID: 27212063
- Aged patients with sinus rhythm exhibited significantly higher expression levels of HCN2 and HCN4 channel mRNA and protein (P<0.05), but significantly lower expression levels of miR1 and 133, compared with those of adult patients with sinus rhythm. PMID: 26005035
- Data show that Rab8b-interacting protein TRIP8b does not compete with cyclic AMP for the same binding region of hyperpolarization activated cyclic nucleotide gated potassium channel 2 (HCN2). PMID: 25197093
- N-glycosylation is not required for HCN2 channels to function. PMID: 25423599
- Thermal hyperalgesia under chronic inflammatory conditions is mediated by HCN2 channels. PMID: 24525276
- Novel HCN2 mutation contributes to febrile seizures by shifting the channel's kinetics in a temperature-dependent manner. PMID: 24324597
- HCN2 polymorphism may play a role in chronic inflammatory periodontitis but not in peri-implantitis. PMID: 23907424
- LBB-injected HCN2/SkM1 potentially provides a more clinically suitable biological pacemaker strategy than other reported constructs. This superiority is attributable to the more negative AP threshold and injection into the LBB PMID: 23395072
- HCN2 channels make an important contribution to the maintenance of spontaneous burst activity in embryonic cortical neuron cultures. PMID: 22094222
- This is the first evidence in humans for a single-point, homozygous loss-of-function mutation in HCN2 potentially associated with generalized epilepsy with recessive inheritance. PMID: 22131395
- Genetic analysis in 48 Sudden unexpected death in epilepsy cases identified six novel and three previously reported nonsynonymous (amino acid changing) variants in HCN1 , HCN2, HCN3 and HCN4. PMID: 21615589
- HCN4 activates substantially slower than HCN2 and with a half-maximum activation voltage approximately equal 10 mV less negative, both isoforms activate more positively in myocytes suggesting cell-type specificity PMID: 12194012
- activation of the fast channel HCN2 is dependent on the S1 segment PMID: 12813043
- HCN1 and HCN2 expression were measured using in situ hybridization and immunocytochemistry in hippocampi; the expression of HCN isoforms is dynamically regulated in human as well as in experimental hippocampal epilepsy PMID: 12890777
- Native I(f) channels in atrial myocardium are heteromeric complexes composed of HCN4 and/or HCN2. PMID: 15687126
- Mutations of a putative cyclic-nucleotide-binding domain (CNBD) can disrupt the function of the hyperpolarization-activated cyclic-nucleotide-gated channel (HCN2). PMID: 15961404
- an intact F-actin cytoskeleton is a prerequisite for the swelling-induced HCN2 current PMID: 15980171
- With computer modelling, we show that in channels with relatively slow opening kinetics and fast mode-shift transitions, such as HCN2 and HCN4 channels, the mode shift effects are not readily observable, except in the tail kinetics. PMID: 16777944
- Noise analysis on macroscopic currents revealed fluctuations whose magnitudes were systematically larger than predicted from the actual single channel current size, consistent with cooperativity between single HCN channels. PMID: 17043149
- Several functional variants were identified including the amino acid substitution R527Q in HCN2 exon 5. HCN2 channels containing the R527Q variant demonstrated a trend towards a decreased slope of the conductance-voltage relation. PMID: 17931874
- RPTPalpha plays a critical role in HCN channel function via tyrosine dephosphorylation PMID: 18768480
顯示更多
收起更多
-
亞細胞定位:Cell membrane; Multi-pass membrane protein.
-
蛋白家族:Potassium channel HCN family
-
組織特異性:Highly expressed throughout the brain. Detected at low levels in heart.
-
數據庫鏈接:
Most popular with customers
-
-
YWHAB Recombinant Monoclonal Antibody
Applications: ELISA, WB, IHC, IF, FC
Species Reactivity: Human, Mouse, Rat
-
Phospho-YAP1 (S127) Recombinant Monoclonal Antibody
Applications: ELISA, WB, IHC
Species Reactivity: Human
-
-
-
-
-















