HAS3 Antibody
-
中文名稱:HAS3兔多克隆抗體
-
貨號:CSB-PA010142ESR1HU
-
規格:¥440
-
圖片:
-
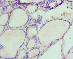
Immunohistochemistry of paraffin-embedded human thyroid tissue using CSB-PA010142ESR1HU at dilution of 1:100
-
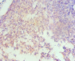
Immunohistochemistry of paraffin-embedded human cervical cancer using CSB-PA010142ESR1HU at dilution of 1:100
-
Immunofluorescent analysis of U251 cells using CSB-PA010142ESR1HU at dilution of 1:100 and Alexa Fluor 488-congugated AffiniPure Goat Anti-Rabbit IgG(H+L)
-
-
其他:
產品詳情
-
產品名稱:Rabbit anti-Homo sapiens (Human) HAS3 Polyclonal antibody
-
Uniprot No.:
-
基因名:HAS3
-
別名:HAS3; Hyaluronan synthase 3; Hyaluronate synthase 3; Hyaluronic acid synthase 3; HA synthase 3
-
宿主:Rabbit
-
反應種屬:Human
-
免疫原:Recombinant Human Hyaluronan synthase 3 protein (339-553AA)
-
免疫原種屬:Homo sapiens (Human)
-
標記方式:Non-conjugated
-
克隆類型:Polyclonal
-
抗體亞型:IgG
-
純化方式:Antigen Affinity Purified
-
濃度:It differs from different batches. Please contact us to confirm it.
-
保存緩沖液:PBS with 0.02% sodium azide, 50% glycerol, pH7.3.
-
產品提供形式:Liquid
-
應用范圍:ELISA, IHC, IF
-
推薦稀釋比:
Application Recommended Dilution IHC 1:20-1:200 IF 1:50-1:200 -
Protocols:
-
儲存條件:Upon receipt, store at -20°C or -80°C. Avoid repeated freeze.
-
貨期:Basically, we can dispatch the products out in 1-3 working days after receiving your orders. Delivery time maybe differs from different purchasing way or location, please kindly consult your local distributors for specific delivery time.
-
用途:For Research Use Only. Not for use in diagnostic or therapeutic procedures.
相關產品
靶點詳情
-
功能:Catalyzes the addition of GlcNAc or GlcUA monosaccharides to the nascent hyaluronan polymer. Therefore, it is essential to hyaluronan synthesis a major component of most extracellular matrices that has a structural role in tissues architectures and regulates cell adhesion, migration and differentiation. This is one of the isozymes catalyzing that reaction.
-
基因功能參考文獻:
- Study shows that HAS3 is induced by IL-1beta in vascular smooth muscle cells and that HAS3 is critically involved in early macrophage driven inflammation. PMID: 28987865
- miR-29a-3p can inhibit gastric cancer cells proliferation and metastasis by regulation HAS3 expression. These findings reveal a new mechanism by which, at least partially, miR-29a-3p may act as a candidate tumor suppressor. PMID: 29693123
- Hyaluronan synthase 3 (HAS3) and tumor necrosis factor-alpha (TNF-alpha) formed an inter-regulation loop to enhance tumorigenesis in oral cancer. PMID: 28107185
- The study describes novel regulatory mechanisms governed by UDP-sugars in hyaluronan synthesis, i.e. the intracellular trafficking and extracellular shedding of HAS3. The control mechanisms reveal the significance of these glucose metabolites in hyaluronan synthesis, which is particularly important in the interactions of malignant cells with their microenvironment, and hence the progression of tumors, like melanoma. PMID: 26883802
- Overexpression of HAS3 decreased ERK1/2 phosphorylation suggesting that inhibition of MAP-kinase signaling was responsible for decreased melanoma cell adhesion, migration and proliferation. PMID: 26222208
- HAS3 underexpression is associated with advanced tumor stage and adverse pathological features, as well as implies inferior clinical outcomes for both groups of patients with UTUCs and UBUCs, suggesting its critical role in tumor progression PMID: 25934334
- Hyaluronan accumulation by HAS3 favors pancreatic cancer growth. PMID: 25147816
- Transcriptional factor binding analysis indicated that HAS3 gene promoter lacks of canonical TATA box, but contains classical GC box as well as other putative binding sites for transcriptional factors PMID: 25843802
- HAS3 mRNA expression level increases in atopic dermatitis lesions compared with healthy and non-lesional skin PMID: 24658508
- Rab10 silencing increased the plasma membrane residence of HAS3, resulting in a significant increase of hyaluronan secretion and an enlarged cell surface HA coat, whereas Rab10 overexpression suppressed hyaluronan synthesis. PMID: 24509846
- Hyaluronan (HA) produced by HAS3 is a ubiquitous component of the extracellular matrix and plays an active role in tissue remodeling. In addition, HA is known to reduce reactive oxygen species (ROS) -induced cardiac injury. PMID: 24470002
- Nodular basal cell carcinoma is associated with increased levels of hyaluronic acid concomitant with upregulation of gene expression of HAS3, HYAL3 and RHAMM, when compared with normal adjacent skin. PMID: 20849445
- Data show that mRNA of HAS isoform 3 (HAS3) was upregulated in ESCC biopsies. PMID: 21429221
- Hyaluronan and HAS3 function in the growth and progression of colon carcinoma PMID: 14566823
顯示更多
收起更多
-
亞細胞定位:Membrane; Multi-pass membrane protein.
-
蛋白家族:NodC/HAS family
-
數據庫鏈接:
Most popular with customers
-
-
YWHAB Recombinant Monoclonal Antibody
Applications: ELISA, WB, IHC, IF, FC
Species Reactivity: Human, Mouse, Rat
-
Phospho-YAP1 (S127) Recombinant Monoclonal Antibody
Applications: ELISA, WB, IHC
Species Reactivity: Human
-
-
-
-
-















