HAS1 Antibody
-
中文名稱:HAS1兔多克隆抗體
-
貨號:CSB-PA547529
-
規格:¥1100
-
圖片:
-
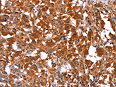
The image on the left is immunohistochemistry of paraffin-embedded Human thyroid cancer tissue using CSB-PA547529(HAS1 Antibody) at dilution 1/30, on the right is treated with synthetic peptide. (Original magnification: ×200)
-
The image on the left is immunohistochemistry of paraffin-embedded Human gastric cancer tissue using CSB-PA547529(HAS1 Antibody) at dilution 1/30, on the right is treated with synthetic peptide. (Original magnification: ×200)
-
Gel: 6%SDS-PAGE, Lysate: 40 μg, Lane 1-2: Human testis tissue, Human prostate tissue, Primary antibody: CSB-PA547529(HAS1 Antibody) at dilution 1/350, Secondary antibody: Goat anti rabbit IgG at 1/8000 dilution, Exposure time: 30 seconds
-
-
其他:
產品詳情
-
Uniprot No.:
-
基因名:
-
別名:HAS1; HAS; Hyaluronan synthase 1; Hyaluronate synthase 1; Hyaluronic acid synthase 1; HA synthase 1; HuHAS1
-
宿主:Rabbit
-
反應種屬:Human,Mouse
-
免疫原:Synthetic peptide of Human HAS1
-
免疫原種屬:Homo sapiens (Human)
-
標記方式:Non-conjugated
-
抗體亞型:IgG
-
純化方式:Antigen affinity purification
-
濃度:It differs from different batches. Please contact us to confirm it.
-
保存緩沖液:-20°C, pH7.4 PBS, 0.05% NaN3, 40% Glycerol
-
產品提供形式:Liquid
-
應用范圍:ELISA,WB,IHC
-
推薦稀釋比:
Application Recommended Dilution ELISA 1:1000-1:2000 WB 1:200-1:1000 IHC 1:50-1:200 -
Protocols:
-
儲存條件:Upon receipt, store at -20°C or -80°C. Avoid repeated freeze.
-
貨期:Basically, we can dispatch the products out in 1-3 working days after receiving your orders. Delivery time maybe differs from different purchasing way or location, please kindly consult your local distributors for specific delivery time.
-
用途:For Research Use Only. Not for use in diagnostic or therapeutic procedures.
相關產品
靶點詳情
-
功能:Catalyzes the addition of GlcNAc or GlcUA monosaccharides to the nascent hyaluronan polymer. Therefore, it is essential to hyaluronan synthesis a major component of most extracellular matrices that has a structural role in tissues architectures and regulates cell adhesion, migration and differentiation. This is one of the isozymes catalyzing that reaction. Also able to catalyze the synthesis of chito-oligosaccharide depending on the substrate.
-
基因功能參考文獻:
- hyaluronic acid synthase-1 promotes malignant transformation via epithelial-to-mesenchymal transition, micronucleation and centrosome abnormalities PMID: 29137675
- our study indicated a HAS1-miR214-SOX-4 pathway in regulating the growth and metastasis of Esophageal squamous cell carcinoma (ESCC) , providing a promising target for ESCC therapy PMID: 28656277
- Reduced expression of HAS1 and HAS2 is associated with melanoma progression and suggests that HAS1 and HAS2 have a prognostic significance in cutaneous melanoma. PMID: 27184066
- The minor allele genotypes of HAS1 SNPs are significantly more frequent in MM, WM, CLL and in affected members of a monoclonal gammopathy-prone family than they are in breast cancer, sporadic MGUS or healthy donors PMID: 24950197
- transcriptional regulation of the HAS and HAS2-antisense RNA 1 genes, was analyzed. PMID: 25325984
- HAS1 is the main enzyme responsible for hyaluronan production by normal keratinocytes. PMID: 24658508
- The HAS1-dependent coat is induced by inflammatory agents and glycemic stress, mediated by altered presentation of either CD44 or hyaluronan, and can offer a rapid cellular response to injury and inflammation. PMID: 24099991
- Among the genes affected by FAK or HAS3 inhibition were genes, playing role in apoptosis, cell cycle regulation, adhesion, transcription, heatshock and WNT pathways. PMID: 22934709
- Inverse expression of hyaluronidase 2 and hyaluronan synthases 1-3 is associated with reduced hyaluronan content in malignant cutaneous melanoma. PMID: 23560496
- aberrant intronic HAS1 splicing in multiple myeloma patients may rely on intronic HAS1 deletions and mutations that are frequent in MM patients but absent from healthy donors PMID: 23301075
- TGF-beta1 up-regulation of HAS1 transcription was mediated via Smad3 but not Smad2, while HAS1 induction by IL-1beta was Sp3, not Sp1, dependent. PMID: 23123404
- Hyaluronan synthase 1 (HAS1) requires higher cellular UDP-GlcNAc concentration than HAS2 and HAS3 PMID: 23303191
- HA chains synthesized by HAS1 and HAS2 contribute to outflow resistance, while hyaluronan produced by HAS3 does not appear to play a significant role. PMID: 22695958
- analysis of changes in cervical glycosaminoglycan composition during normal pregnancy and preterm birth: Has1 is expressed in preterm birth, while Has2 is induced at term PMID: 22529214
- this study provides strong evidence that HAS1-driven Hyaluonan-synthesis is a target of estradiol in human vascular smooth muscle cells PMID: 21901291
- HYAL-1 and HAS1 expression predicted bladder cancer metastasis, and HYAL-1 expression also predicted disease-specific survival. PMID: 20960509
- Hyaluronan synthases (HAS1-3) and hyaluronidases (HYAL1-2) in the accumulation of hyaluronan in endometrioid endometrial carcinoma PMID: 20875124
- Data show that a significant in expression levels of HA synthases (HASs) and hyaluronidases (Hyals) was observed in vitro on stimulation of epithelial ovarian carcinoma cells by gonadotropins. PMID: 20072653
- hyaluronan synthase expression in prostate adenocarcinoma cells PMID: 11790779
- characterization of expression and hyaluronan synthesis in bone marrow mesenchymal progenitor cells: predominant expression of mRNA and up-regulated hyaluronan synthesis in bone marrow cells derived from multiple myeloma patients PMID: 12239172
- Expression of HAS1 in Waldenstrom's macroglobulinemia. Variants of HAS1 synthesize the intracellular HA ligand for RHAMM and may contribute to genetic instability in Waldenstrom's macroglobulinemia. PMID: 12720129
- Expression of each hyaluronan synthase isoform is regulated differently by growth factors and cytokines in vascular endothelial cells. Expressed in proliferative membranes from proliferative vitreoretinal diseases. May affect progression of diseases. PMID: 14636845
- hyaluronan synthase 1 variants have a role in progression of multiple myeloma PMID: 15731173
- Increased HAS1 expression and an increase in serum hyaluronan in endometrial cancer may be associated with disease progression through myometrial invasion and lymph-vascular space involvement PMID: 15870928
- IkappaB kinase and IkappaBalpha reveal NF-kappaB-dependent as well as NF-kappaB-independent pathways of HAS1 activation PMID: 16258173
- mRNA for HAS1 is undetectable but HAS3 mRNA can be readily detected in freshly isolated CD133+ as well as in CD133- umbilical cord blood (UCB) cells. mRNA for HAS2 can only be detected in CD133+ progenitor cells. PMID: 16564133
- Evidence is provided that in type-B synoviocytes (TBS) HAS1 is a gene that depends on the transcription factor nuclear factor kappa B (NF-kappaB) for its activation. PMID: 16723203
- The aim of this study was to evaluate how TNF-alpha, IFN-gamma,IL-1beta, and exposition to oxidative stress may modulate HAS activities in normal human skin fibroblasts. PMID: 16786194
- Interleukin-1beta stimulation resulted in induction of HAS1 and HAS2 transcription but did not induce phenotypic differentiation or induce hyaluronan coat assembly PMID: 17611197
- HAS1 captured in this pull-down approach is readily immunodetected by Western blot analysis using appropriate antibodies. PMID: 17904513
- Treatment of fibroblasts with growth factors up-regulated HAS gene expression and increased HAS enzymes and HA production. PMID: 17922656
- HAS1 regulates bladder cancer growth and progression by modulating hyaluronic acid synthesis and hyaluronic acid receptor levels. PMID: 18199543
- HAS1 is activated by Epstein-Barr virus and synthetic double- and single-stranded viral RNA analogs PMID: 18400745
- genetic contributions toward aberrant splicing of the HAS1 gene in multiple myeloma and Waldenstrom macroglobulinemia were characterized; 3616 bp in HAS1 exons and introns involved in aberrant splicing, from 17 patients were sequenced PMID: 18815290
- HAS expression in human articular chondrocytes during the de- and re-differentiation processes. PMID: 19148550
- By intensive sequencing of the hyaluronan synthase 1 (HAS1) gene in malignant and normal cells from patients with WM, we have identified both types of mutation in HAS1 exons and introns. PMID: 19362966
- HAS1, HAS2 and HAS3 expression is not consistently elevated in ovarian carcinomas. PMID: 19435493
- HAS1 (Hyaluronan Synthase 1) splice variants multimerize with and modulate normally spliced HAS1 protein PMID: 19451652
- Transfection with siHAS2 and siHAS1 showed that mainly HAS1 synthesized high molecular weight HA regulates HT1080 cell motility. PMID: 19577615
- HAS activity can be modulated by post-translational modification, such as phosphorylation and N-glycosylation PMID: 19737932
顯示更多
收起更多
-
亞細胞定位:Membrane; Multi-pass membrane protein.
-
蛋白家族:NodC/HAS family
-
組織特異性:Widely expressed. Highly expressed in ovary followed by spleen, thymus, prostate, testes and large intestine. Weakly expressed in small intestine.
-
數據庫鏈接:
Most popular with customers
-
-
YWHAB Recombinant Monoclonal Antibody
Applications: ELISA, WB, IHC, IF, FC
Species Reactivity: Human, Mouse, Rat
-
Phospho-YAP1 (S127) Recombinant Monoclonal Antibody
Applications: ELISA, WB, IHC
Species Reactivity: Human
-
-
-
-
-















