HACD3 Antibody
-
中文名稱:HACD3兔多克隆抗體
-
貨號:CSB-PA878945LA01HU
-
規格:¥440
-
圖片:
-
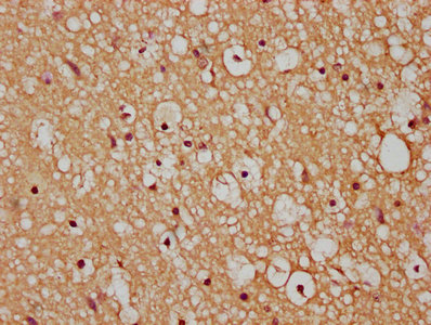
IHC image of CSB-PA878945LA01HU diluted at 1:200 and staining in paraffin-embedded human brain tissue performed on a Leica BondTM system. After dewaxing and hydration, antigen retrieval was mediated by high pressure in a citrate buffer (pH 6.0). Section was blocked with 10% normal goat serum 30min at RT. Then primary antibody (1% BSA) was incubated at 4°C overnight. The primary is detected by a biotinylated secondary antibody and visualized using an HRP conjugated SP system.
-
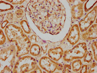
IHC image of CSB-PA878945LA01HU diluted at 1:200 and staining in paraffin-embedded human kidney tissue performed on a Leica BondTM system. After dewaxing and hydration, antigen retrieval was mediated by high pressure in a citrate buffer (pH 6.0). Section was blocked with 10% normal goat serum 30min at RT. Then primary antibody (1% BSA) was incubated at 4°C overnight. The primary is detected by a biotinylated secondary antibody and visualized using an HRP conjugated SP system.
-
-
其他:
產品詳情
-
產品名稱:Rabbit anti-Homo sapiens (Human) HACD3 Polyclonal antibody
-
Uniprot No.:
-
基因名:HACD3
-
別名:HACD3; BIND1; PTPLAD1; Very-long-chain; 3R-3-hydroxyacyl-CoA dehydratase 3; 3-hydroxyacyl-CoA dehydratase 3; HACD3; Butyrate-induced protein 1; B-ind1; hB-ind1; Protein-tyrosine phosphatase-like A domain-containing protein 1
-
宿主:Rabbit
-
反應種屬:Human
-
免疫原:Recombinant Human Very-long-chain (3R)-3-hydroxyacyl-CoA dehydratase 3 protein (1-145AA)
-
免疫原種屬:Homo sapiens (Human)
-
標記方式:Non-conjugated
本頁面中的產品,HACD3 Antibody (CSB-PA878945LA01HU),的標記方式是Non-conjugated。對于HACD3 Antibody,我們還提供其他標記。見下表:
-
克隆類型:Polyclonal
-
抗體亞型:IgG
-
純化方式:>95%, Protein G purified
-
濃度:It differs from different batches. Please contact us to confirm it.
-
保存緩沖液:Preservative: 0.03% Proclin 300
Constituents: 50% Glycerol, 0.01M PBS, pH 7.4 -
產品提供形式:Liquid
-
應用范圍:ELISA, IHC
-
推薦稀釋比:
Application Recommended Dilution IHC 1:200-1:500 -
Protocols:
-
儲存條件:Upon receipt, store at -20°C or -80°C. Avoid repeated freeze.
-
貨期:Basically, we can dispatch the products out in 1-3 working days after receiving your orders. Delivery time maybe differs from different purchasing way or location, please kindly consult your local distributors for specific delivery time.
-
用途:For Research Use Only. Not for use in diagnostic or therapeutic procedures.
相關產品
靶點詳情
-
功能:Catalyzes the third of the four reactions of the long-chain fatty acids elongation cycle. This endoplasmic reticulum-bound enzymatic process, allows the addition of two carbons to the chain of long- and very long-chain fatty acids/VLCFAs per cycle. This enzyme catalyzes the dehydration of the 3-hydroxyacyl-CoA intermediate into trans-2,3-enoyl-CoA, within each cycle of fatty acid elongation. Thereby, it participates in the production of VLCFAs of different chain lengths that are involved in multiple biological processes as precursors of membrane lipids and lipid mediators. May be involved in Rac1-signaling pathways leading to the modulation of gene expression. Promotes insulin receptor/INSR autophosphorylation and is involved in INSR internalization.
-
基因功能參考文獻:
- HACD3 (PTPLAD1) is a new candidate gene for type-2 diabetes risk. HACD3 deletion decreases the autophosphorylation of insulin receptor in vitro. HACD3 may regulate the activity of CDK2 and RAB5C.Overexpression of HACD3 inhibits the tyrosine phosphorylation of CDK2 and RAB5C. HACD3 stimulates the physical association of insulin receptor with RAB11A and may regulate the recycling of insulin receptor to the plasma membrane. PMID: 30300385
- Our results indicate that PTPLAD1 (HACD3) is in complex with insulin receptor (IR) in rat's liver and in human HEK293 cells. SiRNA-mediated partial knockdown of PTPLAD1 increased level of IR tyrosine phosphorylation and affect IR endocytosis. PTPLAD1 depletion strongly enhanced insulin effect on Glut2 translocation in HEK293 cells similar to the increase in AKT-ser473 phosphorylation. [PTPLAD1] PMID: 25687571
- Genes in the erythroid differentiation and cell cycle regulation pathways influence interindividual variation in RBC indices. Our results provide insights into the molecular basis underlying variation in RBC traits. PMID: 22560525
- The structure of the B-IND1 gene promoter region was determined. PMID: 16516406
- results suggest that hB-ind1 plays a crucial role in HCV RNA replication and the propagation of JFH1 virus through interaction with viral and host proteins PMID: 18160438
- These results suggest that an Hsp90-dependent chaperone pathway incorporating hB-ind1 is involved in protein folding in the membranous web for the circumvention of the UPR and that it facilitates HCV replication PMID: 19656872
顯示更多
收起更多
-
亞細胞定位:Endoplasmic reticulum membrane; Multi-pass membrane protein.
-
蛋白家族:Very long-chain fatty acids dehydratase HACD family
-
組織特異性:Highly expressed in testis, kidney, brain, liver and weakly in skeletal muscle, spleen and heart. No expression detected in leukocytes.
-
數據庫鏈接:
Most popular with customers
-
-
YWHAB Recombinant Monoclonal Antibody
Applications: ELISA, WB, IHC, IF, FC
Species Reactivity: Human, Mouse, Rat
-
Phospho-YAP1 (S127) Recombinant Monoclonal Antibody
Applications: ELISA, WB, IHC
Species Reactivity: Human
-
-
-
-
-















