GUCY1A3 Antibody
-
中文名稱:GUCY1A3兔多克隆抗體
-
貨號:CSB-PA173685
-
規格:¥1100
-
圖片:
-
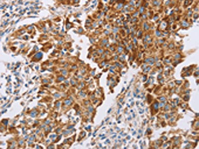
The image on the left is immunohistochemistry of paraffin-embedded Human lung cancer tissue using CSB-PA173685(GUCY1A3 Antibody) at dilution 1/40, on the right is treated with fusion protein. (Original magnification: ×200)
-
The image on the left is immunohistochemistry of paraffin-embedded Human breast cancer tissue using CSB-PA173685(GUCY1A3 Antibody) at dilution 1/40, on the right is treated with fusion protein. (Original magnification: ×200)
-
-
其他:
產品詳情
-
Uniprot No.:
-
基因名:
-
別名:GC S alpha 1 antibody; GC SA3 antibody; GCS alpha 1 antibody; GCS alpha 3 antibody; GCS-alpha-1 antibody; GCS-alpha-3 antibody; GCYA3_HUMAN antibody; Guanylate cyclase 1 soluble alpha 3 antibody; Guanylate cyclase soluble subunit alpha 1 antibody; Guanylate cyclase soluble subunit alpha 3 antibody; Guanylate cyclase soluble subunit alpha-3 antibody; Guanylate cyclase; nitric oxide-sensitive; alpha-1 subunit antibody; Guc1a1 antibody; GUC1A3 antibody; GUCA3 antibody; GUCSA3 antibody; Gucy1a1 antibody; Gucy1a3 antibody; MYMY6 antibody; nitric oxide-sensitive Guanylate cyclase; alpha-1 subunit antibody; NOGC; alpha-1 subunit antibody; Soluble guanylate cyclase large subunit antibody
-
宿主:Rabbit
-
反應種屬:Human,Mouse,Rat
-
免疫原:Fusion protein of Human GUCY1A3
-
免疫原種屬:Homo sapiens (Human)
-
標記方式:Non-conjugated
-
抗體亞型:IgG
-
純化方式:Antigen affinity purification
-
濃度:It differs from different batches. Please contact us to confirm it.
-
保存緩沖液:-20°C, pH7.4 PBS, 0.05% NaN3, 40% Glycerol
-
產品提供形式:Liquid
-
應用范圍:ELISA,IHC
-
推薦稀釋比:
Application Recommended Dilution ELISA 1:1000-1:5000 IHC 1:50-1:200 -
Protocols:
-
儲存條件:Upon receipt, store at -20°C or -80°C. Avoid repeated freeze.
-
貨期:Basically, we can dispatch the products out in 1-3 working days after receiving your orders. Delivery time maybe differs from different purchasing way or location, please kindly consult your local distributors for specific delivery time.
-
用途:For Research Use Only. Not for use in diagnostic or therapeutic procedures.
相關產品
靶點詳情
-
基因功能參考文獻:
- Human Red Blood Cells carry catalytically active alpha1beta1-soluble guanylate cyclase (isoform 1). Red cell soluble guanylate cyclase activity is fully preserved in patients with stable coronary artery disease. PMID: 29024896
- Peptide B-8R killed both androgen-dependent and androgen-independent prostate cancer cells that expressed sGCalpha1, but not cells that do not express this gene. Peptide B-8R induced apoptosis of prostate cancer cells. PMID: 28859127
- In conclusion, rare coding variants in GUCY1A3 lead to reduced cGMP formation which can be rescued by a soluble guanylyl cyclase stimulator in vitro PMID: 27342234
- Rs7692387 is located in an intronic site that modulates GUCY1A3 promoter activity. The transcription factor ZEB1 binds preferentially to the nonrisk allele, leading to an increase in GUCY1A3 expression, higher sGC levels, and higher sGC activity after stimulation. PMID: 28487391
- Mutations in the GUCY1A3 gene are associated with moyamoya disease, achalasia, and hypertension. PMID: 26777256
- Expression of the alpha1-A680T sGC variant in reporter cells resulted in higher cyclic guanosine monophosphate production compared with the wild-type enzyme and the purified alpha1-A680T sGC exhibited enhanced sensitivity to nitric oxide in vitro. PMID: 25373139
- Dynamic interplay between hsp90, apo-sGC-beta1, and sGC-alpha1 in response to NO is unprecedented and represent new steps by which cells can modulate the heme content and activity of sGC for signaling cascades. PMID: 24733395
- ZNF280B upregulates GUCY1A3 expression and downregulates TP53 in prostate cancer cells. PMID: 24236047
- homozygous mutations in GUCY1A3, which encodes the alpha1 subunit of soluble guanylate cyclase, the major receptor for nitric oxide, might play a role in moyamoya and achalasia PMID: 24581742
- The G-protein regulator LGN modulates the activity of the NO receptor soluble guanylate cyclase PMID: 22690686
- GCS-alpha-1 regulation of p53 activity is important in prostate cancer biology and may represent an important mechanism of p53 down-regulation. PMID: 22174378
- We concluded that the alpha-subunit and the beta(1)(191-619) domain exert structural strains on the heme domain. PMID: 22223482
- analysis of pharmacological response to direct sGC activators in coronary artery disease patients PMID: 21794866
- A novel insight into the heme and NO/CO binding mechanism of the alpha subunit of human soluble guanylate cyclase PMID: 21725643
- C-alpha1 sGC splice form is expressed at high levels in differentiating cells and its intracellular distribution varies from canonical alpha1 sGC subunit. PMID: 20964618
- NO, depending on its concentration, may act in human PBMCs as a stimulator of IL-6 expression and modulator of NF-KB involving the sGC/cGMP/PKG pathway PMID: 21414799
- Soluble guanylate cyclases could be the target molecules for controlling neo-vascularization in a subset of human malignant gliomas. PMID: 15201957
- guanylate cyclase has a role in pulmonary arterial hypertension PMID: 18550612
顯示更多
收起更多
-
相關疾病:Moyamoya disease 6 with achalasia (MYMY6)
-
亞細胞定位:Cytoplasm.
-
蛋白家族:Adenylyl cyclase class-4/guanylyl cyclase family
-
組織特異性:Detected in brain cortex and lung (at protein level).
-
數據庫鏈接:
Most popular with customers
-
-
YWHAB Recombinant Monoclonal Antibody
Applications: ELISA, WB, IHC, IF, FC
Species Reactivity: Human, Mouse, Rat
-
Phospho-YAP1 (S127) Recombinant Monoclonal Antibody
Applications: ELISA, WB, IHC
Species Reactivity: Human
-
-
-
-
-















