GTF2F1 Antibody
-
中文名稱:GTF2F1兔多克隆抗體
-
貨號:CSB-PA010004HA01HU
-
規格:¥440
-
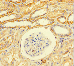
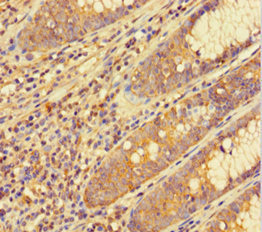
圖片:
-
其他:
產品詳情
-
產品名稱:Rabbit anti-Homo sapiens (Human) GTF2F1 Polyclonal antibody
-
Uniprot No.:
-
基因名:GTF2F1
-
別名:2810405L04Rik antibody; BTF4 antibody; C76800 antibody; General transcription factor IIF 74 kDa subunit antibody; General transcription factor IIF subunit 1 antibody; General transcription factor IIF; polypeptide 1; 74kDa antibody; Gtf2f1 antibody; MGC94148 antibody; OTTHUMP00000237859 antibody; RAP74 antibody; T2FA_HUMAN antibody; TF2F1 antibody; TFIIF antibody; TFIIF-alpha antibody; Transcription initiation factor IIF subunit alpha antibody; Transcription initiation factor RAP74 antibody
-
宿主:Rabbit
-
反應種屬:Human
-
免疫原:Recombinant Human General transcription factor IIF subunit 1 protein (1-249AA)
-
免疫原種屬:Homo sapiens (Human)
-
標記方式:Non-conjugated
本頁面中的產品,GTF2F1 Antibody (CSB-PA010004HA01HU),的標記方式是Non-conjugated。對于GTF2F1 Antibody,我們還提供其他標記。見下表:
-
克隆類型:Polyclonal
-
抗體亞型:IgG
-
純化方式:>95%, Protein G purified
-
濃度:It differs from different batches. Please contact us to confirm it.
-
保存緩沖液:Preservative: 0.03% Proclin 300
Constituents: 50% Glycerol, 0.01M PBS, PH 7.4 -
產品提供形式:Liquid
-
應用范圍:ELISA, IHC
-
推薦稀釋比:
Application Recommended Dilution IHC 1:20-1:200 -
Protocols:
-
儲存條件:Upon receipt, store at -20°C or -80°C. Avoid repeated freeze.
-
貨期:Basically, we can dispatch the products out in 1-3 working days after receiving your orders. Delivery time maybe differs from different purchasing way or location, please kindly consult your local distributors for specific delivery time.
-
用途:For Research Use Only. Not for use in diagnostic or therapeutic procedures.
相關產品
靶點詳情
-
功能:TFIIF is a general transcription initiation factor that binds to RNA polymerase II and helps to recruit it to the initiation complex in collaboration with TFIIB. It promotes transcription elongation.
-
基因功能參考文獻:
- An AR motif of the transactivation domain has been identified that contributes to transcriptional activity by recruiting the C-terminal domain of subunit 1 of the general transcription regulator TFIIF. PMID: 29225078
- These results suggest that Mediator structural shifts induced by activator binding help stably orient pol II prior to transcription initiation within the human mediator-RNA polymerase II-TFIIF assembly. PMID: 22343046
- Gdown1 competes with TFIIF for binding to the RPB1 and RPB5 subunits of Pol II, thereby inhibiting an essential function of TFIIF in preinitiation complex assembly. PMID: 22244332
- role of associated carboxyl-terminal domain phosphatase in dephosphorylating phosphoserines 2 and 5 of RNA polymerase II PMID: 12351650
- The alpha 1 helix of human RAP74 has an important role in the initiation and elongation of RNA chains PMID: 12354769
- The NMR solution structure of the C-terminal domain of RAP74 has been determined, and NMR methods have been used to map the binding sites of the C-terminus of CTD phosphatase/FCP1 on the RAP74 C-terminal fragment. PMID: 12578358
- cocrystal structure of the winged-helix domain of human RNA polymerase II-associating protein 74 bound to the alpha-helical C terminus of human FCP1 PMID: 12591941
- NMR structure of a complex containing this TFIIF subunit and the RNA polymerase II carboxyl-terminal domain phosphatase FCP1. PMID: 12732728
- Interaction of TFIIF subunit RAP74 with recombinant androgen receptor N-terminal activation domain AF1 leads to imposition of helical structure on the AF1 domain. PMID: 15023052
- TFIIF supports elongation and suppresses pausing by stabilizing the post-translocated elongation complex PMID: 15351637
- alpha1-Helix of RAP74 is important for supporting NTP-driven translocation by RNAP II. PMID: 15831464
- TFIIF and Rpb7 are involved in both early and late transcriptional stages PMID: 17848138
- Mutated hydrophobic residues in RAP74 C-terminal structure disrupt secondary structure elements, showing that binding of the androgen receptor N-terminal domain depends upon helix 3 in the winged-helix domain of the RAP74 C-terminal domain polypeptide. PMID: 18284209
- NMR and thermodynamic studies further elucidate the complex molecular mechanism by which TFIIF and FCP1 cooperate for RNAPII recycling. PMID: 19215094
顯示更多
收起更多
-
亞細胞定位:Nucleus.
-
蛋白家族:TFIIF alpha subunit family
-
數據庫鏈接:
Most popular with customers
-
-
Phospho-YAP1 (S127) Recombinant Monoclonal Antibody
Applications: ELISA, WB, IHC
Species Reactivity: Human
-
-
-
-
-
-















