GSTP1 Antibody
-
中文名稱:GSTP1兔多克隆抗體
-
貨號:CSB-PA584245
-
規格:¥1100
-
圖片:
-
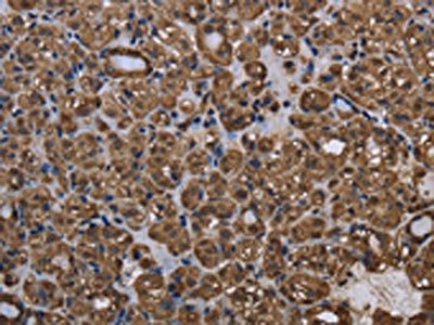
The image on the left is immunohistochemistry of paraffin-embedded Human liver cancer tissue using CSB-PA584245(GSTP1 Antibody) at dilution 1/60, on the right is treated with fusion protein. (Original magnification: ×200)
-
The image on the left is immunohistochemistry of paraffin-embedded Human thyroid cancer tissue using CSB-PA584245(GSTP1 Antibody) at dilution 1/60, on the right is treated with fusion protein. (Original magnification: ×200)
-
Gel: 8%SDS-PAGE, Lysate: 40 μg, Lane 1-2: HT29 cells, human fetal brain tissue, Primary antibody: CSB-PA584245(GSTP1 Antibody) at dilution 1/350, Secondary antibody: Goat anti rabbit IgG at 1/8000 dilution, Exposure time: 10 seconds
-
-
其他:
產品詳情
-
Uniprot No.:
-
基因名:
-
別名:Deafness antibody; Deafness X-linked 7 antibody; DFN7 antibody; FAEES3 antibody; Fatty Acid Ethyl Ester Synthase III antibody; Glutathione S Transferase 3 antibody; Glutathione S Transferase Pi antibody; Glutathione S-transferase P antibody; Glutathione S-transferase pi 1 antibody; GST class-pi antibody; GST3 antibody; GSTP antibody; Gstp1 antibody; GSTP1-1 antibody; GSTP1_HUMAN antibody; PI antibody; X linked 7 antibody
-
宿主:Rabbit
-
反應種屬:Human,Mouse,Rat
-
免疫原:Fusion protein of Human GSTP1
-
免疫原種屬:Homo sapiens (Human)
-
標記方式:Non-conjugated
-
抗體亞型:IgG
-
純化方式:Antigen affinity purification
-
濃度:It differs from different batches. Please contact us to confirm it.
-
保存緩沖液:-20°C, pH7.4 PBS, 0.05% NaN3, 40% Glycerol
-
產品提供形式:Liquid
-
應用范圍:ELISA,WB,IHC
-
推薦稀釋比:
Application Recommended Dilution ELISA 1:2000-1:5000 WB 1:500-1:2000 IHC 1:100-1:300 -
Protocols:
-
儲存條件:Upon receipt, store at -20°C or -80°C. Avoid repeated freeze.
-
貨期:Basically, we can dispatch the products out in 1-3 working days after receiving your orders. Delivery time maybe differs from different purchasing way or location, please kindly consult your local distributors for specific delivery time.
-
用途:For Research Use Only. Not for use in diagnostic or therapeutic procedures.
相關產品
靶點詳情
-
功能:Conjugation of reduced glutathione to a wide number of exogenous and endogenous hydrophobic electrophiles. Involved in the formation of glutathione conjugates of both prostaglandin A2 (PGA2) and prostaglandin J2 (PGJ2). Participates in the formation of novel hepoxilin regioisomers. Regulates negatively CDK5 activity via p25/p35 translocation to prevent neurodegeneration.
-
基因功能參考文獻:
- data suggest that GSTP1 expression is not associated with bladder cancer (BC) development, limiting its use as a biomarker for BC management in Morocco. Moreover, difference in GSTP1 expression among BC cases is not due to GSTP1 promoter methylation. PMID: 30043549
- Methylation GSTP1 is associated with Breast Cancer. PMID: 30049201
- Prenatal fine particulate exposure in late pregnancy was associated with impaired childhood lung function and hypermethylation of GSTP1 in nasal epithelium. PMID: 29703190
- The study revealed association of GSTP1 I105V with Infectious Endocarditis, but the disease proved unrelated to GSTP1 A114V polymorphism. PMID: 30289676
- The results of this meta-analysis suggest that GSTP1 hypermethylation induces the inactivation of GSTP1 gene, plays an important role in hepatocarcinogenesis, and is associated with an increased risk of HCC. PMID: 29970711
- The expression levels of LRP and GSTP1 in primary epithelial ovarian cancer were the highest, followed by borderline adenoma tissues, and lowest levels in benign tumor tissues. The difference between resistant gene negative-expression and positive-expression of chemotherapy efficiency, disease free survival time, and recurrence time were statistically significant. PMID: 30313031
- polymorphisms do not have any large effect on risk of cutaneous malignant melanoma [meta-analysis] PMID: 27304781
- Design and synthesis of 2-substituted-5-(4-trifluoromethylphenyl-sulphonamido)benzoxazole derivatives as human GST P1-1 inhibitors. PMID: 28503938
- The present study findings provide the insights that miR133b reduces cisplatin resistance and its overexpression contributes to the suppression of the malignant growth and aggressiveness of cisplatinresistant nonsmall cell lung cancer cells by targeting GSTP1. PMID: 29328427
- Through translational prospective study, the GSTP1 Ile105Val polymorphism emerges as prognostic marker in de novo large B-cell lymphoma patients. PMID: 28452985
- GSTP1 polymorphism is associated with Cervical Cancer in Human Papilloma Virus Infected patients. PMID: 29479986
- GSTP1 Ile105Val was associated with increased lung function, reduced risk for lung cancer and tobacco-related cancer, and reduced all-cause mortality in the general population. PMID: 28739440
- the recessive model of GSTP1 g.313A>G is the best fit inheritance model to predict the susceptible gene effect (OR: 2.3, 95% CI: 1.11-4.92, P = 0.020). In conclusion, statistically significant associations of GSTP1 g.313A>G (A/G, G/G) and g.341C>T (C/T) genotypes with coronary artery disease were observed. PMID: 29321351
- The GSTP1 AG genotype of Alzheimer's disease was significantly lower (p = 0.005; OR = 0.57, 95% CI: 0.38-0.84) in the patients (41.1%) than the control group (56.5%). PMID: 29072550
- Study provides evidence that high expression of CLDN6 confers chemoresistance on breast cancer which is mediated by GSTP1, the activity of which is regulated by p53. PMID: 29116019
- Patients with CYP2C19*2 were at increased risk and CYP2C19*2, CYP3A5*3 and GSTP1 have synergistic influence on CYC failure. PMID: 28976264
- CML patients with carriage of heterozygous and homozygous variant genotypes of GSTP1 Ile105Val and GSTT1 null, have a higher risk for development of resistance to IM. PMID: 28947711
- the GSTP1 Ile105Val polymorphism is not associated with the development of gynecological cancer (meta-analysis). PMID: 28410197
- DNA sequencing was performed for six single-nucleotide polymorphisms in the GSTP1, RAD51, XRCC1 and XRCC3 genes in BC patients and the control group. Two variants in the 5'-UTR of the XRCC3 and RAD51 genes showed a significant association with susceptibility to breast cancer. Additionally, authors reported 2 mutations in intron 7 of the XRCC3 gene. PMID: 28315507
- The SNPs in CYP1A1, GSTP1 and XRCC1 genes did not show significant association with complete remission (CR) rate, overall survival (OS) or event free survival (EFS). However, XRCC1 Arg194Trp SNP was associated with higher drug toxicity; carriers of variant genotypes (CT and TT) had a significantly higher frequency of myelosuppression compared to those with the wild CC genotype PMID: 28844589
- There were significant differences in GSTP1 (rs1138272 and rs1695) genotype or allele frequencies between the infertile and fertile groups and synergy effects of GSTP1 and NAT2 polymorphisms might lead to significant increase of infertility risk. PMID: 29505746
- Significantly higher frequency of the GSTP1 polymorphism was observed in Extremely Low Birth Weight Preterm Infants with Bronchopulmonary Dysplasia. PMID: 28081574
- Polymorphisms of GSTP1 rs1695 and ABCC2 rs717620 can be used to predict the outcomes of Uygur patients with advanced NSCLC who have received platinum-based chemotherapy. Kaplan-Meier survival analysis indicated that survival with GSTP1 AG+ GG was significantly longer than in patients with AA gene (P<0.05), and survival with ABCC2 CT + TT was significantly longer than in patients with CC gene. PMID: 28442702
- GSTpi inhibited p38MAPK phosphorylation by directly binding p38 and influenced downstream substrate HSP27-induced actin remodeling. PMID: 29402793
- the GSTP1 gene polymorphism may play a significant role in the increase of susceptibility of obesity and contribute to identify the cardiovascular risk in young adults. PMID: 28561194
- These observations could support the hypothesis that the GSTP1 G allele may improve exercise performance by better elimination of exercise-induced reactive oxygen species. PMID: 28062686
- This study demonstrates that the GSTP1*B and *C allelic variants may be considered a candidate gene for AD[Alzheimer disease]. It can be suggested that although CYP2D6*4 polymorphism is not a risk of AD[Alzheimer disease], the CYP2D6*4 and GSTP1 polymorphism may interact with beta-HCH, dieldrin, and copper to influence the risk of AD [Alzheimer disease]. PMID: 24584466
- Comparing to controls, significant association with asthma was observed for GSTP1 rs1695 AA genotype PMID: 27561723
- Peroxidase activity was markedly reduced by mutation at either of the Leu sites and was essentially abolished by the double mutation, while PLA2 activity was unaffected. Decreased peroxidase activity following mutation of the interfacial leucines presumably is mediated via impaired heterodimerization of Prdx6 with piGST that is required for reduction and re-activation of the oxidized enzyme. PMID: 26891882
- Epigenetic alteration of GSTP1 regulates its expression in lens epithelial and cortical tissues. These changes likely contribute to the pathogenesis of ARNC. PMID: 27348130
- GSTP1 rs1695 polymorphism was associated with higher susceptibility to the development of cervical lesions in HR-HPV-infected women. PMID: 28829907
- We report that patients who were homozygous for the ancestral allele of the GTSP1 SNP rs1695 had a greater decline in lung function at 1 year after stem cell transplantation compared to those who had at least one minor allele of the GTSP1 SNP rs1695. PMID: 28152281
- Single nucleotide polymorphisms in EPHX1, GSTP1, SERPINE2, and TGFB1 contributing to the quantitative traits of chronic obstructive pulmonary disease in Chinese Han population. PMID: 27193053
- polymorphisms of the GSTM1 del and GSTT1 del genes were analysed by multiplex PCR. Genotyping of the polymorphic variants in the GSTP1 (A313G, T341C) gene was performed using Real-time PCR with competing TaqMan probes complementary to the polymorphic DNA sites PMID: 28770368
- genetic or pharmacological inactivation of GSTP1 impairs cell survival and tumorigenesis in TNBC cells; GSTP1 inhibitors may be a novel therapeutic strategy for combatting TNBCs through impairing key cancer metabolism and signaling pathways PMID: 27185638
- Wild-type GSTP1 allele when combined with LOH/MSI in steroid metabolism genes may play a role in ER and/or PR negative breast cancers. PMID: 28692125
- meta-analysis suggests that the GSTP1 Ile105Val polymorphism might not contribute to risk of male infertility PMID: 28397729
- GTSP1 was expressed in tumors of HNSCC patients regardless of smoking, drinking or HPV infection status. GTSP1 expression was higher in the non-tumor margins of smoker/drinker group. PMID: 28817620
- there is a significant implication of the SNP rs1695 within the GSTP1 gene with ALL of Jordanian Arab children. PMID: 27299594
- RASSF10 functions as a tumor suppressor by cooperating with GSTP1 to deregulate JNK/c-Jun/AP-1 pathway in gastric cancer PMID: 26279301
- GSTP1 gene polymorphisms were not associated with the acquisition of hepatotoxicity in HIV patients treated with antiretroviral therapy. PMID: 26667829
- Individuals carrying theGSTP1 Ile-Ile or XRCC1399 Arg-Arg genotypes showed greater DNA damage than observed for other alleles. PMID: 28622826
- the significance of GSTP1 polymorphisms on Chronic myeloid leukemia susceptibility and response to tyrosine kinase inhibitors in the Argentinean population PMID: 27454607
- Meta-analysis found that GSTP1 showed a trend toward a worse prognosis in overall survival in patients with breast cancer. PMID: 28700487
- This is the first study to suggest that GSTP1 genotyping can be an important tool for identifying patients who are susceptible to Anti-tuberculosis drug-induced hepatotoxicity. PMID: 27281183
- GSTP1-1 can detoxify arsenic-based drugs by sequestration at the active site and at the dimer interface, in situations where there is a plentiful supply of GSH, and at the reactive cysteines in conditions of low GSH. PMID: 27863446
- Patients carrying at least one GSTP1 Val allele achieved remission in a shorter time period than patients with GSTP1 Ile/Ile genotype. PMID: 28039708
- Our study indicates that GSTP1 shows aberrant methylation pattern in the breast cancer with the consequent loss in the protein expression. PMID: 28443466
- Overexpression of GSTP1 is associated with pancreatic Cancer. PMID: 27872191
- The rs614080 SNP near the GSTP1 gene was significantly associated with body mass index and GSTP1 expression levels in the Mexican population. PMID: 27881840
顯示更多
收起更多
-
亞細胞定位:Cytoplasm. Mitochondrion. Nucleus. Note=The 83 N-terminal amino acids function as un uncleaved transit peptide, and arginine residues within it are crucial for mitochondrial localization.
-
蛋白家族:GST superfamily, Pi family
-
數據庫鏈接:
Most popular with customers
-
-
YWHAB Recombinant Monoclonal Antibody
Applications: ELISA, WB, IHC, IF, FC
Species Reactivity: Human, Mouse, Rat
-
Phospho-YAP1 (S127) Recombinant Monoclonal Antibody
Applications: ELISA, WB, IHC
Species Reactivity: Human
-
-
-
-
-















