GSC Antibody
-
中文名稱:GSC兔多克隆抗體
-
貨號:CSB-PA009950LA01HU
-
規格:¥440
-
圖片:
-
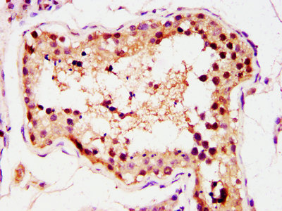
IHC image of CSB-PA009950LA01HU diluted at 1:400 and staining in paraffin-embedded human testis tissue performed on a Leica BondTM system. After dewaxing and hydration, antigen retrieval was mediated by high pressure in a citrate buffer (pH 6.0). Section was blocked with 10% normal goat serum 30min at RT. Then primary antibody (1% BSA) was incubated at 4°C overnight. The primary is detected by a biotinylated secondary antibody and visualized using an HRP conjugated SP system.
-
-
其他:
產品詳情
-
產品名稱:Rabbit anti-Homo sapiens (Human) GSC Polyclonal antibody
-
Uniprot No.:
-
基因名:GSC
-
別名:Goosecoid antibody; goosecoid homeobox antibody; GSC antibody; GSC_HUMAN antibody; Homeobox protein goosecoid antibody
-
宿主:Rabbit
-
反應種屬:Human
-
免疫原:Recombinant Human Homeobox protein goosecoid protein (43-127AA)
-
免疫原種屬:Homo sapiens (Human)
-
標記方式:Non-conjugated
本頁面中的產品,GSC Antibody (CSB-PA009950LA01HU),的標記方式是Non-conjugated。對于GSC Antibody,我們還提供其他標記。見下表:
-
克隆類型:Polyclonal
-
抗體亞型:IgG
-
純化方式:>95%, Protein G purified
-
濃度:It differs from different batches. Please contact us to confirm it.
-
保存緩沖液:Preservative: 0.03% Proclin 300
Constituents: 50% Glycerol, 0.01M PBS, pH 7.4 -
產品提供形式:Liquid
-
應用范圍:ELISA, IHC
-
推薦稀釋比:
Application Recommended Dilution IHC 1:200-1:500 -
Protocols:
-
儲存條件:Upon receipt, store at -20°C or -80°C. Avoid repeated freeze.
-
貨期:Basically, we can dispatch the products out in 1-3 working days after receiving your orders. Delivery time maybe differs from different purchasing way or location, please kindly consult your local distributors for specific delivery time.
-
用途:For Research Use Only. Not for use in diagnostic or therapeutic procedures.
相關產品
靶點詳情
-
功能:Regulates chordin (CHRD). May play a role in spatial programing within discrete embryonic fields or lineage compartments during organogenesis. In concert with NKX3-2, plays a role in defining the structural components of the middle ear; required for the development of the entire tympanic ring. Probably involved in the regulatory networks that define neural crest cell fate specification and determine mesoderm cell lineages in mammals.
-
基因功能參考文獻:
- Performed mutational analysis of TCOF1, GSC, and HOXA2 to determine the mutational features of the 3 genes in Chinese patients with Treacher Collins syndrome. PMID: 27526242
- We find that DIGIT is divergent to Goosecoid (GSC) and expressed during endoderm differentiation. Deletion of the SMAD3-occupied enhancer proximal to DIGIT inhibits DIGIT and GSC expression and definitive endoderm differentiation. PMID: 27705785
- 5 genomic variants in GSC, HOXA2 and PRKRA were identified through mutational analysis in Chinese patients with microtia. PMID: 28109504
- GSC is also a prognostic factor for poor survival and metastasis of HCC, which suggests its potential as a therapeutic target for metastatic HCC. PMID: 25343336
- Results suggest that GSC is the most potential biomarker of drug response and poor prognosis in ovarian serous carcinomas. PMID: 24858567
- EtOH exposure increased the expression of an organizer specific gene, goosecoid, in human embryonic carcinoma cells. PMID: 23378141
- SAMS, a syndrome of short stature, auditory-canal atresia, mandibular hypoplasia, and skeletal abnormalities is a unique neurocristopathy caused by mutations in Goosecoid. PMID: 24290375
- GSC represses EVX1 expression and is required for development of anterior primitive-streak-like cell progeny in response to activin. PMID: 22178155
- The goosecoid gene mutation in exon 3 may be involved in the malformation events (microtia) in this family. PMID: 20195123
- Goosecoid promotes tumor cell malignancy and suggest that other conserved organizer genes may function similarly in human cancer PMID: 17142318
- GSC protein might contribute to the observed phenotype. PMID: 18074379
顯示更多
收起更多
-
相關疾病:Short stature, auditory canal atresia, mandibular hypoplasia, skeletal abnormalities (SAMS)
-
亞細胞定位:Nucleus.
-
蛋白家族:Paired homeobox family, Bicoid subfamily
-
數據庫鏈接:
Most popular with customers
-
-
Phospho-YAP1 (S127) Recombinant Monoclonal Antibody
Applications: ELISA, WB, IHC
Species Reactivity: Human
-
-
-
-
-
-















