GRPR Antibody
-
中文名稱:GRPR兔多克隆抗體
-
貨號:CSB-PA009943LA01HU
-
規格:¥440
-
圖片:
-
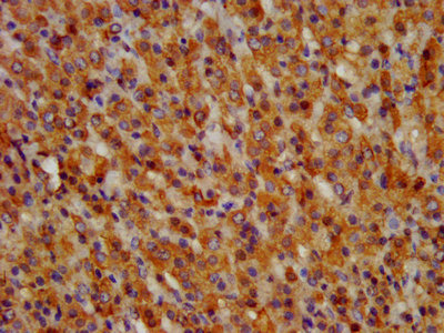
IHC image of CSB-PA009943LA01HU diluted at 1:300 and staining in paraffin-embedded human adrenal gland tissue performed on a Leica BondTM system. After dewaxing and hydration, antigen retrieval was mediated by high pressure in a citrate buffer (pH 6.0). Section was blocked with 10% normal goat serum 30min at RT. Then primary antibody (1% BSA) was incubated at 4°C overnight. The primary is detected by a biotinylated secondary antibody and visualized using an HRP conjugated SP system.
-
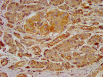
IHC image of CSB-PA009943LA01HU diluted at 1:300 and staining in paraffin-embedded human pancreatic tissue performed on a Leica BondTM system. After dewaxing and hydration, antigen retrieval was mediated by high pressure in a citrate buffer (pH 6.0). Section was blocked with 10% normal goat serum 30min at RT. Then primary antibody (1% BSA) was incubated at 4°C overnight. The primary is detected by a biotinylated secondary antibody and visualized using an HRP conjugated SP system.
-
Immunofluorescence staining of PC-3 cells with CSB-PA009943LA01HU at 1:100, counter-stained with DAPI. The cells were fixed in 4% formaldehyde, permeabilized using 0.2% Triton X-100 and blocked in 10% normal Goat Serum. The cells were then incubated with the antibody overnight at 4°C. The secondary antibody was Alexa Fluor 488-congugated AffiniPure Goat Anti-Rabbit IgG(H+L).
-
-
其他:
產品詳情
-
產品名稱:Rabbit anti-Homo sapiens (Human) GRPR Polyclonal antibody
-
Uniprot No.:
-
基因名:
-
別名:BB2 antibody; Bombesin BB2 receptor antibody; bombesin receptor 2 antibody; Gastrin Releasing Peptide Receptor antibody; Gastrin-releasing peptide receptor antibody; GRP preferring bombesin receptor antibody; GRP R antibody; GRP-preferring bombesin receptor antibody; GRP-R antibody; Grp/bombesin receptor antibody; Grpr antibody; GRPR_HUMAN antibody
-
宿主:Rabbit
-
反應種屬:Human
-
免疫原:Recombinant Human Gastrin-releasing peptide receptor protein (326-384AA)
-
免疫原種屬:Homo sapiens (Human)
-
標記方式:Non-conjugated
本頁面中的產品,GRPR Antibody (CSB-PA009943LA01HU),的標記方式是Non-conjugated。對于GRPR Antibody,我們還提供其他標記。見下表:
-
克隆類型:Polyclonal
-
抗體亞型:IgG
-
純化方式:>95%, Protein G purified
-
濃度:It differs from different batches. Please contact us to confirm it.
-
保存緩沖液:Preservative: 0.03% Proclin 300
Constituents: 50% Glycerol, 0.01M PBS, pH 7.4 -
產品提供形式:Liquid
-
應用范圍:ELISA, IHC, IF
-
推薦稀釋比:
Application Recommended Dilution IHC 1:200-1:500 IF 1:50-1:200 -
Protocols:
-
儲存條件:Upon receipt, store at -20°C or -80°C. Avoid repeated freeze.
-
貨期:Basically, we can dispatch the products out in 1-3 working days after receiving your orders. Delivery time maybe differs from different purchasing way or location, please kindly consult your local distributors for specific delivery time.
-
用途:For Research Use Only. Not for use in diagnostic or therapeutic procedures.
相關產品
靶點詳情
-
功能:Receptor for gastrin-releasing peptide (GRP). Signals via association with G proteins that activate a phosphatidylinositol-calcium second messenger system, resulting in Akt phosphorylation. Contributes to the regulation of food intake. Contributes to the perception of prurient stimuli and transmission of itch signals in the spinal cord that promote scratching behavior, but does not play a role in the perception of pain. Contributes primarily to nonhistaminergic itch sensation. Contributes to long-term fear memory, but not normal spatial memory.
-
基因功能參考文獻:
- Expression of Gastrin-Releasing Peptide Receptor in Breast Cancer and Its Association with Pathologic, Biologic, and Clinical Parameters PMID: 28280221
- GRP-R regulates glucose metabolism in neuroblastoma by modulating HIF-1alpha, PDK4 and PDP2. PMID: 25630799
- BBS caused a significant increase in Shh gene transcription and protein secretion that was dependent on BBS-induced GPCR/Galphaq-//Rho mediated activation of nuclear factor kappaB (NFkappaB), which can stimulate a NF-kappaB response element in the Shh gene promoter PMID: 24747971
- GRPR is highly expressed in epidermoid carcinoma of the anal canal, suggesting this receptor might have a role in anal carcinogenesis. PMID: 23958544
- a key mechanism for GRPR-regulated colon cancer cell migration through the Galpha13-PRG-RhoA-ROCK pathway. PMID: 24958816
- GRPR expression was more pronounced in an advanced-stage lung cancer PMID: 24377816
- integrin ss1 subunit critically regulates GRP-R-mediated neuroblastoma cell migration and invasion PMID: 23889963
- Elevated buccal GRPR espression was significantly associated with squamous cell carcinoma of the head and neck. PMID: 22431275
- These findings highlight the role of GRPR signaling in sepsis outcome. PMID: 22735756
- Protein kinase C is critically responsible for rapid VEGF secretion by gastrin-releasing peptide receptor signaling in neuroblastoma cells PMID: 23155231
- High GRPR is associated with prostate carcinoma. PMID: 22248281
- Bronchial gastrin-releasing peptide receptor expression was significantly associated with lung cancer in a multivariable logistic regression model adjusted for age, sex, smoking status and pulmonary function. Lung cancer risk was not modified by sex. PMID: 22296774
- Concomitant vascular GRP-receptor and VEGF-receptor expression in human tumors provides molecular basis for dual targeting of tumoral vasculature. PMID: 21605611
- This study is the first to confirm the presence of gastrin-releasing peptide receptor in human glioma specimens and normal human neurons. PMID: 20211708
- The results suggest that brain-derived neurotrophic factor/TrkB and cAMP phosphodiesterase-4, but not the gastrin-releasing peptide receptor, regulate the viability of medulloblastoma cells. PMID: 19642024
- hGRP-R activation stimulated sustained cyclic AMP response element binding protein (CREB) phosphorylation and transactivation in duodenal cancer cells through a protein kinase C and partially p38 mitogen-activated protein kinase-dependent pathway. PMID: 12220644
- Bombesin-dependent activation (through GRP receptor) of the transcription factor Elk-1 and significant increase of cell proliferation in prostate cancer cell lines PMID: 12409226
- accumulation of mutations within the GRPR gene allows for the dedifferentiation of tumor cells within any particular colon cancer; poorly-differentiated tumor cells within any individual cancer may arise clonally from better-differentiated precursors PMID: 12720295
- Increased gastrin-releasing peptide (GRP) receptor expression in small cell lung cancer cells confers sensitivity to [Arg6,D-Trp7,9,NmePhe8]-substance P (6-11)-induced growth inhibition PMID: 12771999
- The expression of GRP-R in uterine tissue during specific phases of the cycle suggests a timely precise physiological action of GRP in these targets; in certain uterine neoplasms, the GRP-R overexpression may contribute to tumor development PMID: 15941862
- Gastrin-releasing peptide receptor mediates activation of the epidermal growth factor receptor in lung cancer cells PMID: 15967120
- GRP appears to rescue NSCLC cells exposed to gefitinib through release of amphiregulin and activation of the Akt pathway, suggesting GRPR and/or EGFR autocrine pathways in NSCLC cells may modulate therapeutic response to EGFR inhibitors. PMID: 17349623
- The large amounts of GRP-receptors in ovarian tumor vessels suggest a role in tumoral vasculature and possibly angiogenesis. PMID: 17726264
- There is a potential role of C6S and L181F mutations on GRPR function, and possibly in the pathogenesis of the autistic disorders. PMID: 18393381
- CREB is a critical regulator of human GRP-R expression in gastrointestinal cancer and might be activated through different upstream intracellular pathways PMID: 18483184
- Widespread GRPR expression in human cervical cancer. PMID: 18497507
- These findings demonstrate that GRP and GRP-R have important oncogenic properties beyond their established mitogenic functions. PMID: 18753628
- Gastrin-releasing peptide receptor is expressed in the vast majority of lymph node metastases and in 52.9% of bone metastases of prostate cancer. PMID: 19343734
- High expression of gastrin-releasing peptide receptors is associated with the vascular bed of urinary tract cancers. PMID: 19478282
- In MDA-MB-231 breast cancer cells, GRP-R and EGF-R synergize to regulate cell migration and IL-8 expression, but not cell proliferation. PMID: 19631337
顯示更多
收起更多
-
亞細胞定位:Cell membrane; Multi-pass membrane protein.
-
蛋白家族:G-protein coupled receptor 1 family
-
組織特異性:Highly expressed in pancreas. Also expressed in stomach, adrenal cortex and brain.
-
數據庫鏈接:
Most popular with customers
-
-
Phospho-YAP1 (S127) Recombinant Monoclonal Antibody
Applications: ELISA, WB, IHC
Species Reactivity: Human
-
-
-
-
-
-















