GPT Antibody
-
中文名稱:GPT兔多克隆抗體
-
貨號:CSB-PA009864LA01HU
-
規格:¥440
-
圖片:
-
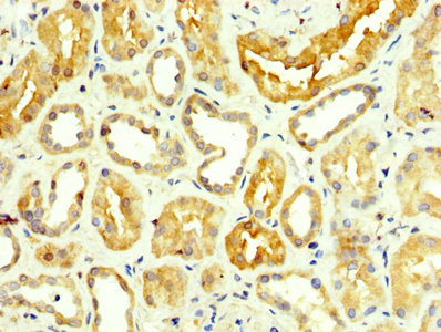
IHC image of CSB-PA009864LA01HU diluted at 1:350 and staining in paraffin-embedded human kidney tissue performed on a Leica BondTM system. After dewaxing and hydration, antigen retrieval was mediated by high pressure in a citrate buffer (pH 6.0). Section was blocked with 10% normal goat serum 30min at RT. Then primary antibody (1% BSA) was incubated at 4°C overnight. The primary is detected by a biotinylated secondary antibody and visualized using an HRP conjugated SP system.
-
Immunofluorescent analysis of HepG2 cells using CSB-PA009864LA01HU at dilution of 1:100 and Alexa Fluor 488-congugated AffiniPure Goat Anti-Rabbit IgG(H+L)
-
Western Blot
Positive WB detected in: HepG2 whole cell lysate, Rat liver tissue, Mouse liver tissue
All lanes: GPT antibody at 4.5µg/ml
Secondary
Goat polyclonal to rabbit IgG at 1/50000 dilution
Predicted band size: 55 kDa
Observed band size: 55 kDa -
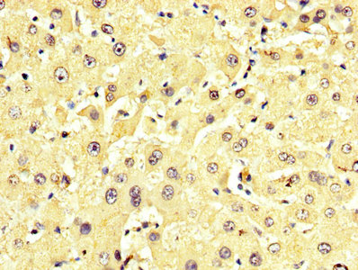
IHC image of CSB-PA009864LA01HU diluted at 1:350 and staining in paraffin-embedded human liver tissue performed on a Leica BondTM system. After dewaxing and hydration, antigen retrieval was mediated by high pressure in a citrate buffer (pH 6.0). Section was blocked with 10% normal goat serum 30min at RT. Then primary antibody (1% BSA) was incubated at 4°C overnight. The primary is detected by a biotinylated secondary antibody and visualized using an HRP conjugated SP system.
-
Immunoprecipitating GPT in Mouse liver tissue
Lane 1: Rabbit control IgG instead of CSB-PA009864LA01HU in Mouse liver tissue. For western blotting, a HRP-conjugated Protein G antibody was used as the secondary antibody (1/2000)
Lane 2: CSB-PA009864LA01HU (8µg) + Mouse liver tissue (500µg)
Lane 3: Mouse liver tissue (10µg)
-
-
其他:
產品詳情
-
產品名稱:Rabbit anti-Homo sapiens (Human) GPT Polyclonal antibody
-
Uniprot No.:
-
基因名:
-
別名:AAT1 antibody; Alanine aminotransferase 1 antibody; Alanine aminotransferase antibody; ALAT1_HUMAN antibody; ALT1 antibody; Glutamate pyruvate transaminase 1 antibody; Glutamic alanine transaminase 1 antibody; Glutamic pyruvate transaminase (alanine aminotransferase) antibody; Glutamic pyruvic transaminase 1 antibody; Glutamic--alanine transaminase 1 antibody; Glutamic--pyruvic transaminase 1 antibody; GPT 1 antibody; gpt antibody; GPT1 antibody
-
宿主:Rabbit
-
反應種屬:Human, Mouse, Rat
-
免疫原:Recombinant Human Alanine aminotransferase 1 protein (2-496AA)
-
免疫原種屬:Homo sapiens (Human)
-
標記方式:Non-conjugated
本頁面中的產品,GPT Antibody (CSB-PA009864LA01HU),的標記方式是Non-conjugated。對于GPT Antibody,我們還提供其他標記。見下表:
-
克隆類型:Polyclonal
-
抗體亞型:IgG
-
純化方式:>95%, Protein G purified
-
濃度:It differs from different batches. Please contact us to confirm it.
-
保存緩沖液:Preservative: 0.03% Proclin 300
Constituents: 50% Glycerol, 0.01M PBS, PH 7.4 -
產品提供形式:Liquid
-
應用范圍:ELISA, WB, IHC, IF, IP
-
推薦稀釋比:
Application Recommended Dilution WB 1:500-1:5000 IHC 1:200-1:500 IF 1:50-1:200 IP 1:200-1:2000 -
Protocols:
-
儲存條件:Upon receipt, store at -20°C or -80°C. Avoid repeated freeze.
-
貨期:Basically, we can dispatch the products out in 1-3 working days after receiving your orders. Delivery time maybe differs from different purchasing way or location, please kindly consult your local distributors for specific delivery time.
-
用途:For Research Use Only. Not for use in diagnostic or therapeutic procedures.
相關產品
靶點詳情
-
功能:Catalyzes the reversible transamination between alanine and 2-oxoglutarate to form pyruvate and glutamate. Participates in cellular nitrogen metabolism and also in liver gluconeogenesis starting with precursors transported from skeletal muscles.
-
基因功能參考文獻:
- a relationship between NAFLD with high ALT and lower BMD in the general U.S. population PMID: 29897928
- The detection of ALT, AFP, AFP-L3, and GP73 has a certain guiding significance to predict the risk of hepatocellular carcinoma in hepatic cirrhosis patients PMID: 28540298
- In men with hepatic steatosis, we found that elevated serum ALT levels were associated with lower serum SHBG levels. PMID: 28540984
- Our results using Mendelian randomization suggest that ALT reduces the risk of ischaemic heart disease (IHD), probably through reducing triglyceride levels. PMID: 28007909
- Measurements of serum alpha-fetoprotein (AFP) levels could be helpful in detecting progression or recurrence in treated patients with hepatitis B virus (HBV) - hepatocellular carcinoma (HCC) and normal alanine aminotransferase (ALT). PMID: 27304617
- Baseline alanine transaminase (ALT) and a hepatitis B surface antigen (HBsAg) above 1000 IU/ml were independent predictive factors for ALT elevation. PMID: 27935953
- High serum alanine aminotransferase expression is associated with metabolic syndrome. PMID: 27390880
- The data of this study confirmed the genetic heterogeneity of childhood-onset pure HSP, with SPG4/SPAST and SPG3A/ATL1 being the most frequent forms. PMID: 27260292
- Results indicate that AZD4619 increased alanine aminotransferase (ALT1) protein expression in a dose-dependent manner in human, but not in rat hepatocytes. PMID: 27430334
- Liver fat content and serum ALT were inversely correlated with bone mineral density in middle-aged and elderly men. PMID: 26791408
- Age, female gender, and elevated ALT can help identifying cases with biliary etiology of acute pancreatitis. PMID: 26664483
- IBS [irritable bowel syndrome ] may be an important condition in certain patients with elevated ALT levels and MS [ metabolic syndrome ]. PMID: 26632395
- Data suggest that, in context of abnormal hepatic lipid accumulation in nonalcoholic fatty liver disease, circulating GPT1 rises due to up-regulation of hepatic expression of GPT1 associated with greater gluconeogenesis and insulin resistance. PMID: 26791191
- Elevated aminotransferase levels, even within the normal range, were significantly associated with increased risk of all external-cause mortalities, including suicide, and injury. PMID: 26446640
- There are significant relationships of elevated ALT levels with cardiometabolic risk factors (obesity, hypertension, hypercholesteremia, hyperuricemia, hypertriglyceridemia) and several sex-related differences in rural Chinese. PMID: 26160405
- ALT was significantly associated with elevated levels of triacylglycerols, hyperglycemia, and obesity. In patients with metabolic syndrome, one must consider liver involvement if the patient has ALT levels in the upper third of the reference range. PMID: 25874513
- Peginterferon alfa-2a is associated with elevations in alanine aminotransferase at the end of treatment in chronic hepatitis C patients with sustained virologic response. PMID: 24937007
- A prospective association between ALT levels and metabolic syndrome highlights the value of ALT levels, even mild ALT elevations within the normal range, as a predictor of the MetS risk in male schizophrenia patients. PMID: 24819732
- Serum glutamate pyruvate transaminase levels were elevated postoperatively in recipients of an orthotopic liver transplant from a brain-dead donor receiving extracorporeal membrane oxygenation. PMID: 25543901
- Statistically significant differences were observed in the mean values of GPT in type 1 diabetics compared to type 2 and control groups PMID: 24849491
- Alanine aminotransferase showed associations with BMI, glycaemia, lipids, and creatinine. The relationship between alanine aminotransferase and age was best expressed by polynomial regression. PMID: 24953204
- Serum alanine aminotransferase has limited predictive value for liver disease in chronic hepatitis C PMID: 25219834
- Role of insulin resistance and adipocytokines on serum alanine aminotransferase in obese patients with type 2 diabetes mellitus PMID: 23884827
- In nonalcoholic fatty liver disease, adipose tissue insulin resistance (but not hepatic insulin resistance) and liver triglyceride content are major factors in the elevation of plasma aminotransferase levels. PMID: 25145475
- elevated ALT is common in the Korean population; it is associated with metabolic disorders (obesity, insulin resistance, or metabolic syndrome) in the majority of patients PMID: 24275711
- ALT and visceral adipose tissue affect metabolic risk factors in a middle-aged Japanese population PMID: 24500143
- PNPLA3 I148M polymorphism is associated with elevated alanine transaminase levels in Mexican indigenous and Mestizo populations. PMID: 24691744
- Among patients with chronic HCV infection, daily consumption of filtered coffee may have a beneficial effect on the stabilization of ALT levels. PMID: 24349501
- A new model that combines ALT, platelets, CK-18 fragments, and triglycerides was established by logistic regression among nonalcoholic fatty liver disease patients. PMID: 24324749
- Elevated ALT is associated with developing depressive symptoms, suggesting that non-alcoholic fatty liver disease may represent an independent modifiable risk factor for depression. PMID: 23522007
- fibrosis is not rare in Chinese CHB patients with persistent normal alanine aminotransferase, especially HBeAg-positive patients over 30 years old PMID: 24205292
- Elevated serum ALT levels are prevalent among elderly agricultural and fishing population workers in Taiwan. PMID: 24158044
- Elevated serum alanine aminotransferase level was independently associated with an increased risk of intracerebral hemorrhage in East Asian men. PMID: 23880909
- Normal to near-normal serum aminotransferase levels are associated with metabolic disorders. PMID: 23794308
- Data from cross-sectional study in children/adolescents in Republic of Korea suggest normal ALT/GPT serum reference values; ALT/GPT serum level appears effective as biomarker in predicting cardiovascular/metabolic syndrome risk in population studied. PMID: 23403445
- Among HIV/HCV-coinfected persons, risky drinking was associated with a higher adjusted mean AST (62.2 vs. 51.4 U/L; adjusted ratio of means 1.2, 95% CI [1.07, 1.37], p = .003) and ALT (51.3 vs. 41.6 U/L; compared with non-risky drinking PMID: 23384374
- Nonalcoholic fatty liver disease and metabolic syndrome were associated with ALT levels in a male population from southern China. PMID: 22975640
- ALT[Alanine transaminase] may be a marker of an underlying etiology relating to the paradoxical associations of diabetes and IHD at a population level. PMID: 22954960
- An elevated ALT does not accurately predict significant liver injury. Decisions on commencing antiviral therapy should not be heavily based on a particular ALT threshold. PMID: 22389715
- In a cross-sectional analysis of Taiwanese industrial employees, elevated ALT associated with MS, but in subjects who did not meet MS criteria, elevated ALT by itself did not associate with IFG/T2DM. PMID: 21715038
- Patients with HLA-DQA1 and DRB1 genotypes have higher alanine aminotransferase elevation, whereas HLA-negative cases have a higher incidence of Gilbert's syndrome. PMID: 22357454
- In a cross-sectional study, Chinese adolescents and young adults with more metabolic syndrome components were more likely to suffer from elevated ALT PMID: 22177542
- alanine aminotransferase levels largely within the normal range, there was an inverse association between ALT and all-cause mortality and cardiovascular events PMID: 22158663
- the COMT polymorphism affects serum ALT activity to maintain liver function PMID: 22293393
- The magnitude of the association of PNPLA3 with liver enzymes is driven by the size of abdominal fat. PMID: 22140488
- discriminates persons infected with hepatitis C virus from those at low risk of liver disease, but would be considered elevated in a large proportion of the U.S. population PMID: 21987480
- An hepatitis B virus DNA level of >/=5 log10 copies/mL and an alanine aminotransferase (ALT) level of >20 to =40 IU/L were independent predictors of hepatitis reactivation in a Cox model. PMID: 21692932
- The prevalence of metabolic syndrome (MS) and risk factors for and association with elevated alanine aminotransferase (ALT) as markers of hepatic injury in a large Hispanic health disparity cohort with high rates of obesity, was studied. PMID: 21720553
- Subjects with metabolic syndrome had significantly higher plasma levels of alanine aminotransferase. PMID: 21040936
- Nrmal levels of ALT are associated with metabolic and androgenic phenotypes, i women of reproductive age. PMID: 20961180
顯示更多
收起更多
-
亞細胞定位:Cytoplasm.
-
蛋白家族:Class-I pyridoxal-phosphate-dependent aminotransferase family, Alanine aminotransferase subfamily
-
組織特異性:Liver, kidney, heart, and skeletal muscles. Expressed at moderate levels in the adipose tissue.
-
數據庫鏈接:
Most popular with customers
-
-
YWHAB Recombinant Monoclonal Antibody
Applications: ELISA, WB, IHC, IF, FC
Species Reactivity: Human, Mouse, Rat
-
Phospho-YAP1 (S127) Recombinant Monoclonal Antibody
Applications: ELISA, WB, IHC
Species Reactivity: Human
-
-
-
-
-















