GPS1 Antibody
-
中文名稱:GPS1兔多克隆抗體
-
貨號:CSB-PA615663ESR2HU
-
規格:¥440
-
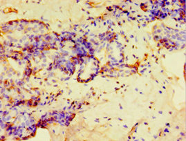
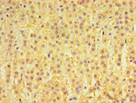
圖片:
-
其他:
產品詳情
-
產品名稱:Rabbit anti-Homo sapiens (Human) GPS1 Polyclonal antibody
-
Uniprot No.:
-
基因名:GPS1
-
別名:COP9 signalosome complex subunit 1 antibody; COP9 signalosome subunit 1 antibody; COPS1 antibody; CSN 1 antibody; CSN1_HUMAN antibody; FUS6/COP11; Arabidopsis; homolog of antibody; G protein pathway suppressor 1 antibody; GPS-1 antibody; Gps1 antibody; JAB1-containing signalosome subunit 1 antibody; Protein GPS1 antibody; Protein MFH antibody; SGN1 antibody; Signalosome subunit 1 antibody
-
宿主:Rabbit
-
反應種屬:Human
-
免疫原:Recombinant Human COP9 signalosome complex subunit 1 protein (222-491AA)
-
免疫原種屬:Homo sapiens (Human)
-
標記方式:Non-conjugated
-
克隆類型:Polyclonal
-
抗體亞型:IgG
-
純化方式:Antigen Affinity Purified
-
濃度:It differs from different batches. Please contact us to confirm it.
-
保存緩沖液:PBS with 0.02% sodium azide, 50% glycerol, pH7.3.
-
產品提供形式:Liquid
-
應用范圍:ELISA, IHC
-
推薦稀釋比:
Application Recommended Dilution IHC 1:20-1:200 -
Protocols:
-
儲存條件:Upon receipt, store at -20°C or -80°C. Avoid repeated freeze.
-
貨期:Basically, we can dispatch the products out in 1-3 working days after receiving your orders. Delivery time maybe differs from different purchasing way or location, please kindly consult your local distributors for specific delivery time.
-
用途:For Research Use Only. Not for use in diagnostic or therapeutic procedures.
相關產品
靶點詳情
-
功能:Essential component of the COP9 signalosome complex (CSN), a complex involved in various cellular and developmental processes. The CSN complex is an essential regulator of the ubiquitin (Ubl) conjugation pathway by mediating the deneddylation of the cullin subunits of SCF-type E3 ligase complexes, leading to decrease the Ubl ligase activity of SCF-type complexes such as SCF, CSA or DDB2. The complex is also involved in phosphorylation of p53/TP53, c-jun/JUN, IkappaBalpha/NFKBIA, ITPK1 and IRF8/ICSBP, possibly via its association with CK2 and PKD kinases. CSN-dependent phosphorylation of TP53 and JUN promotes and protects degradation by the Ubl system, respectively. Suppresses G-protein- and mitogen-activated protein kinase-mediated signal transduction.
-
基因功能參考文獻:
- CSN1 appears to play a role not only in DNA repair but also in UV-induced apoptosis. PMID: 26986008
- We analyzed whether CSN1 alone can increase DEN1 degradation in HeLa cells.these data suggest that the COP9 signalosome supports proteasome-dependent protein degradation of DEN1/DenA in fungi and in human cells. PMID: 23408908
- An increased level of CSN1 and CSN5 as an important part of the ubiquitin proteasome system (UPS) might be associated with the pathophysiology of preeclampsia. PMID: 22103747
- CSN1 inhibits c-Jun phosphorylation without affecting its protein stability. PMID: 21604193
- The N-terminal half of CSN1/GPS1 is required to repress c-fos expression and to inhibit AP-1 and SRE transactivation, while the C-terminal half allows integration of the protein into the COP9 signalosome. PMID: 11114242
顯示更多
收起更多
-
亞細胞定位:Cytoplasm. Nucleus.
-
蛋白家族:CSN1 family
-
組織特異性:Widely expressed.
-
數據庫鏈接:
Most popular with customers
-
-
YWHAB Recombinant Monoclonal Antibody
Applications: ELISA, WB, IHC, IF, FC
Species Reactivity: Human, Mouse, Rat
-
Phospho-YAP1 (S127) Recombinant Monoclonal Antibody
Applications: ELISA, WB, IHC
Species Reactivity: Human
-
-
-
-
-















