GPR3 Antibody
-
中文名稱:GPR3兔多克隆抗體
-
貨號:CSB-PA241224
-
規格:¥1100
-
圖片:
-
The image on the left is immunohistochemistry of paraffin-embedded Human brain tissue using CSB-PA241224(GPR3 Antibody) at dilution 1/55, on the right is treated with synthetic peptide. (Original magnification: ×200)
-
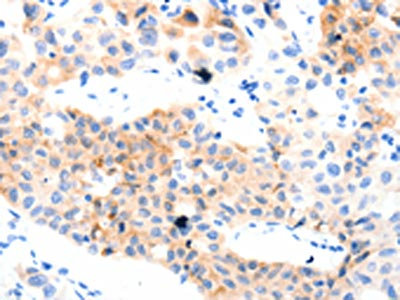
The image on the left is immunohistochemistry of paraffin-embedded Human lung cancer tissue using CSB-PA241224(GPR3 Antibody) at dilution 1/55, on the right is treated with synthetic peptide. (Original magnification: ×200)
-
Gel: 10%SDS-PAGE, Lysate: 40 μg, Lane: Human brain malignant glioma tissue, Primary antibody: CSB-PA241224(GPR3 Antibody) at dilution 1/1100, Secondary antibody: Goat anti rabbit IgG at 1/8000 dilution, Exposure time: 2 minutes
-
-
其他:
產品詳情
-
Uniprot No.:
-
基因名:
-
別名:GPR3; ACCA; G-protein coupled receptor 3; ACCA orphan receptor
-
宿主:Rabbit
-
反應種屬:Human,Mouse,Rat
-
免疫原:Synthetic peptide of Human GPR3
-
免疫原種屬:Homo sapiens (Human)
-
標記方式:Non-conjugated
-
抗體亞型:IgG
-
純化方式:Antigen affinity purification
-
濃度:It differs from different batches. Please contact us to confirm it.
-
保存緩沖液:-20°C, pH7.4 PBS, 0.05% NaN3, 40% Glycerol
-
產品提供形式:Liquid
-
應用范圍:ELISA,WB,IHC
-
推薦稀釋比:
Application Recommended Dilution ELISA 1:1000-1:5000 WB 1:500-1:2000 IHC 1:50-1:200 -
Protocols:
-
儲存條件:Upon receipt, store at -20°C or -80°C. Avoid repeated freeze.
-
貨期:Basically, we can dispatch the products out in 1-3 working days after receiving your orders. Delivery time maybe differs from different purchasing way or location, please kindly consult your local distributors for specific delivery time.
-
用途:For Research Use Only. Not for use in diagnostic or therapeutic procedures.
相關產品
靶點詳情
-
功能:Orphan receptor with constitutive G(s) signaling activity that activate cyclic AMP. Has a potential role in modulating a number of brain functions, including behavioral responses to stress, amyloid-beta peptide generation in neurons and neurite outgrowth. Maintains also meiotic arrest in oocytes.
-
基因功能參考文獻:
- Results demonstrate that GPR3 signals at the plasma membrane and can be silenced by GRK2/beta-arrestin overexpression. These results also strongly implicate the serine and/or threonine residues in the third intracellular loop in the regulation of GPR3 activity. PMID: 23826079
- Gpr3 stimulates Abeta production via interactions with APP and beta-arrestin2. PMID: 24069330
- GPR3 is a key factor in the regulation of the nervous system and follicle development.[review] PMID: 23732663
- GPR3 is expressed in the ovary and testes, and is necessary for the regulation of meiosis in mouse. PMID: 15591206
- Mutations in GPR3 are not a common cause of premature ovarian failure in Chinese women. PMID: 20158988
- control of gene expression in vascular endothelial cells in the presence of fluid shear stress and classifies it as a sphingosine 1-phosphate receptor. PMID: 12649592
- We conclude that perturbations in GPR3 are not a common explanation for POF in this population. PMID: 17953967
顯示更多
收起更多
-
亞細胞定位:Cell membrane; Multi-pass membrane protein.
-
蛋白家族:G-protein coupled receptor 1 family
-
組織特異性:Expressed predominantly in the central nervous system, and at low levels in the lung, kidney, testis, ovary and eye. Highly expressed in regions of the brain implicated in the Alzheimer disease.
-
數據庫鏈接:
Most popular with customers
-
-
Phospho-YAP1 (S127) Recombinant Monoclonal Antibody
Applications: ELISA, WB, IHC
Species Reactivity: Human
-
-
-
-
-
-















