GPR15 Antibody
-
中文名稱:GPR15兔多克隆抗體
-
貨號:CSB-PA137931
-
規格:¥1100
-
圖片:
-
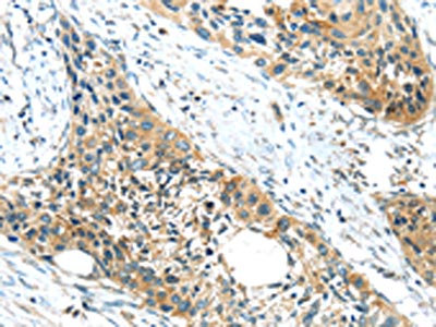
The image on the left is immunohistochemistry of paraffin-embedded Human esophagus cancer tissue using CSB-PA137931(GPR15 Antibody) at dilution 1/20, on the right is treated with synthetic peptide. (Original magnification: ×200)
-
The image on the left is immunohistochemistry of paraffin-embedded Human liver cancer tissue using CSB-PA137931(GPR15 Antibody) at dilution 1/20, on the right is treated with synthetic peptide. (Original magnification: ×200)
-
Gel: 8%SDS-PAGE,Lysate: 40 μg,Lane 1-4: HepG2 cells, 231 cells, Hela cells, Lovo cells,Primary antibody: CSB-PA137931(GPR15 Antibody) at dilution 1/350 dilution,Secondary antibody: Goat anti rabbit IgG at 1/8000 dilution,Exposure time: 20 seconds
-
-
其他:
產品詳情
-
Uniprot No.:
-
基因名:
-
別名:GPR15; G-protein coupled receptor 15; Brother of Bonzo; BoB
-
宿主:Rabbit
-
反應種屬:Human
-
免疫原:Synthetic peptide of Human GPR15
-
免疫原種屬:Homo sapiens (Human)
-
標記方式:Non-conjugated
-
抗體亞型:IgG
-
純化方式:Antigen affinity purification
-
濃度:It differs from different batches. Please contact us to confirm it.
-
保存緩沖液:-20°C, pH7.4 PBS, 0.05% NaN3, 40% Glycerol
-
產品提供形式:Liquid
-
應用范圍:ELISA,WB,IHC
-
推薦稀釋比:
Application Recommended Dilution ELISA 1:2000-1:5000 WB 1:500-1:2000 IHC 1:10-1:50 -
Protocols:
-
儲存條件:Upon receipt, store at -20°C or -80°C. Avoid repeated freeze.
-
貨期:Basically, we can dispatch the products out in 1-3 working days after receiving your orders. Delivery time maybe differs from different purchasing way or location, please kindly consult your local distributors for specific delivery time.
-
用途:For Research Use Only. Not for use in diagnostic or therapeutic procedures.
相關產品
靶點詳情
-
功能:Probable chemokine receptor. Alternative coreceptor with CD4 for HIV-1 infection.
-
基因功能參考文獻:
- we for the first time demonstrated that TM binds to GPR15 via its EGF-like domain and exerts angiogenesis and cytoprotective function in vascular ECs. PMID: 28386128
- Results suggested that Ser-357 phosphorylation critically controls the ligand-independent endocytosis of GPR15. The functional role of Ser-357 in endocytosis was distinct from that of a conserved Ser/Thr cluster in the more proximal C-terminus, which was responsible for the beta-arrestin- and GPCR kinase-dependent endocytosis of GPR15. PMID: 28615320
- Analysis of GPR15 methylation identified significantly greater hypomethylation in smokers compared with that in never-smokers. PMID: 26348578
- infection-induced up-regulation of GPR15 expression through TLR3 could increase susceptibility of CD4(+) T cells to HIV infection and target cell availability in the gut in some infected individuals PMID: 24558379
- Data indicate that orphan receptor GPR15/BOB is expressed by macrophages in synovial tissue and on monocytes and neutrophils in peripheral blood, and expression is up-regulated in arthritis (RA)patients PMID: 24725539
- GPR15 expression was minimal in lymphocytes from the blood and the small intestine; however, it was expressed at high levels in lymphocytes from the large intestine PMID: 23661644
- C-terminal membrane-proximal basic residues have a role in cell surface trafficking of HIV coreceptor GPR15 protein PMID: 23430259
- 14-3-3 proteins play multiple roles in biogenesis and trafficking of an HIV co-receptor GPR15 to control its cell surface density in response to the phosphorylation signal PMID: 21189250
- role of GPR15-HIV1 gp120 interactions in gp120 binding to intestinal epithelial cells and gp120-induced cytopathic effects PMID: 12566994
- HIV-2 isolates from aviremic and viremic individuals commonly use as coreceptors CCR5, GPR15, and CXCR6 PMID: 15650194
顯示更多
收起更多
-
亞細胞定位:Cell membrane; Multi-pass membrane protein.
-
蛋白家族:G-protein coupled receptor 1 family
-
數據庫鏈接:
Most popular with customers
-
-
YWHAB Recombinant Monoclonal Antibody
Applications: ELISA, WB, IHC, IF, FC
Species Reactivity: Human, Mouse, Rat
-
Phospho-YAP1 (S127) Recombinant Monoclonal Antibody
Applications: ELISA, WB, IHC
Species Reactivity: Human
-
-
-
-
VDAC1 Recombinant Monoclonal Antibody
Applications: ELISA, WB, IHC
Species Reactivity: Human, Mouse, Rat
-
VCP Recombinant Monoclonal Antibody
Applications: ELISA, WB, IHC, IF, IP
Species Reactivity: Human, Rat















