GPER1 Antibody
-
中文名稱:GPER1兔多克隆抗體
-
貨號:CSB-PA934518
-
規格:¥1100
-
圖片:
-
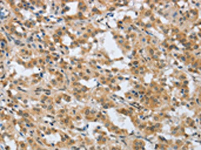
The image on the left is immunohistochemistry of paraffin-embedded Human thyroid cancer tissue using CSB-PA934518(GPER1 Antibody) at dilution 1/25, on the right is treated with synthetic peptide. (Original magnification: ×200)
-
Gel: 8%SDS-PAGE, Lysate: 40 μg, Lane 1-3: Human placenta tissue, HepG2 cells, A549 cells, Primary antibody: CSB-PA934518(GPER1 Antibody) at dilution 1/350, Secondary antibody: Goat anti rabbit IgG at 1/8000 dilution, Exposure time: 5 minutes
-
-
其他:
產品詳情
-
Uniprot No.:
-
基因名:
-
別名:GPER1; CEPR; CMKRL2; DRY12; GPER; GPR30; G-protein coupled estrogen receptor 1; Chemoattractant receptor-like 2; Flow-induced endothelial G-protein coupled receptor 1; FEG-1; G protein-coupled estrogen receptor 1; G-protein coupled receptor 30; GPCR-Br; IL8-related receptor DRY12; Lymphocyte-derived G-protein coupled receptor; LYGPR; Membrane estrogen receptor; mER
-
宿主:Rabbit
-
反應種屬:Human,Mouse,Rat
-
免疫原:Synthetic peptide of Human GPER1
-
免疫原種屬:Homo sapiens (Human)
-
標記方式:Non-conjugated
-
抗體亞型:IgG
-
純化方式:Antigen affinity purification
-
濃度:It differs from different batches. Please contact us to confirm it.
-
保存緩沖液:-20°C, pH7.4 PBS, 0.05% NaN3, 40% Glycerol
-
產品提供形式:Liquid
-
應用范圍:ELISA,WB,IHC
-
推薦稀釋比:
Application Recommended Dilution ELISA 1:1000-1:2000 WB 1:200-1:1000 IHC 1:25-1:100 -
Protocols:
-
儲存條件:Upon receipt, store at -20°C or -80°C. Avoid repeated freeze.
-
貨期:Basically, we can dispatch the products out in 1-3 working days after receiving your orders. Delivery time maybe differs from different purchasing way or location, please kindly consult your local distributors for specific delivery time.
-
用途:For Research Use Only. Not for use in diagnostic or therapeutic procedures.
相關產品
靶點詳情
-
功能:G-protein coupled estrogen receptor that binds to 17-beta-estradiol (E2) with high affinity, leading to rapid and transient activation of numerous intracellular signaling pathways. Stimulates cAMP production, calcium mobilization and tyrosine kinase Src inducing the release of heparin-bound epidermal growth factor (HB-EGF) and subsequent transactivation of the epidermal growth factor receptor (EGFR), activating downstream signaling pathways such as PI3K/Akt and ERK/MAPK. Mediates pleiotropic functions among others in the cardiovascular, endocrine, reproductive, immune and central nervous systems. Has a role in cardioprotection by reducing cardiac hypertrophy and perivascular fibrosis in a RAMP3-dependent manner. Regulates arterial blood pressure by stimulating vasodilation and reducing vascular smooth muscle and microvascular endothelial cell proliferation. Plays a role in blood glucose homeostasis contributing to the insulin secretion response by pancreatic beta cells. Triggers mitochondrial apoptosis during pachytene spermatocyte differentiation. Stimulates uterine epithelial cell proliferation. Enhances uterine contractility in response to oxytocin. Contributes to thymic atrophy by inducing apoptosis. Attenuates TNF-mediated endothelial expression of leukocyte adhesion molecules. Promotes neuritogenesis in developing hippocampal neurons. Plays a role in acute neuroprotection against NMDA-induced excitotoxic neuronal death. Increases firing activity and intracellular calcium oscillations in luteinizing hormone-releasing hormone (LHRH) neurons. Inhibits early osteoblast proliferation at growth plate during skeletal development. Inhibits mature adipocyte differentiation and lipid accumulation. Involved in the recruitment of beta-arrestin 2 ARRB2 at the plasma membrane in epithelial cells. Functions also as a receptor for aldosterone mediating rapid regulation of vascular contractibility through the PI3K/ERK signaling pathway. Involved in cancer progression regulation. Stimulates cancer-associated fibroblast (CAF) proliferation by a rapid genomic response through the EGFR/ERK transduction pathway. Associated with EGFR, may act as a transcription factor activating growth regulatory genes (c-fos, cyclin D1). Promotes integrin alpha-5/beta-1 and fibronectin (FN) matrix assembly in breast cancer cells.
-
基因功能參考文獻:
- serum levels of GPER, but not estrogen, are significantly decreased in ADHD patients compared to controls PMID: 29659348
- The findings indicate that GPER/miR148a/HLAG signaling pathway may mediates the development of ovarian endometriosis and may become a potential therapeutic target for the treatment of endometriosis. PMID: 29845209
- Nuclear GPR30 is overexpressed and predicts poor survival in patients with ovarian cancer. PMID: 29239277
- These findings shed new light on the essential role played by GPER in IGF1/IGF1R signaling that induces breast tumor angiogenesis. PMID: 29212519
- The significant and consistent increase in GPER expression in adenomyosis compared with control subjects, regardless of whether it was in the proliferative or secretory phases and regardless of whether it was in the JZ or OM, suggests that GPER plays an important role in the pathogenesis of the adenomyosis PMID: 29109960
- Levels of GPR30 were significantly reduced in placentae from women with preeclampsia as compared with uncomplicated pregnancies. PMID: 28849224
- High expression of GPER is associated with triple-negative breast cancer. PMID: 28535016
- Serum GPR30 levels were significantly lower in autism spectrum disorders patients than in controls. PMID: 28734238
- GPER P16L is defective for membrane-associated signaling, but instead acts like an estrogen-stimulated transcription factor. In CAFs, it induces the secretion of paracrine factors that promote the migration of carcinoma cells. This raises the possibility that the GPER P16L polymorphism could be a risk factor for breast cancer. PMID: 28596490
- These data thus demonstrate that estrogen prevents the failure of endothelial cell tube formation induced byhypoxia/reoxygenation. GPR30 plays an important role in these protective effects through the activation of eNOS and Akt in endothelial cells. PMID: 28440394
- Epigenetic down regulation of GPER acts as a tumor suppressor in colorectal cancer and its specific activation might be a potential approach for colorectal cancer treatment. PMID: 28476123
- Data suggest that IGF-I/IGF-IR system triggers stimulatory actions through both GPER and DDR1 in aggressive tumors as mesothelioma and lung tumors. PMID: 27384677
- The G protein-coupled estrogen receptor agonist G-1 inhibits nuclear estrogen receptor activity and stimulates novel phosphoproteomic signatures in MCF-7 cells. PMID: 27026707
- Utilizing both genetic and pharmacologic approaches, the authors establish that sex steroid effects on human melanin synthesis are mediated by the membrane-bound, steroid hormone receptors G protein-coupled estrogen receptor (GPER), and progestin and adipoQ receptor 7 (PAQR7). PMID: 27115344
- This study demonstrated that GPER1 levels were associated with the anxiety levels of patients, and that the serum GPER1 level was a valuable predictor of the presence of anxiety independent of gender. PMID: 27512921
- These clinical data showed that the expression of G-protein coupled estrogen receptor (GPER) is negatively associated with lymph node metastasis, high-grade tumor and fibronectin (FN) expression while positively associated with the favorable outcome in 135 triple negative breast cancer cells patients. PMID: 26842883
- Either by specific inhibitors for GPER, ERK, AKT and NF-kappaB, or by knock-down of GPER. PMID: 27940299
- The intron variant rs4265085 of GPER1 may confer risk for recurrent spontaneous abortion in Dai and Bai ethnic groups in China. PMID: 28126236
- Activation of GPER can suppress migration and angiogenesis of triple negative breast cancer by inhibiting of NF-kappaB/IL-6 signaling. PMID: 27836733
- GPER protects against hepatic tumorigenesis by regulating inflammatory responses. PMID: 27594673
- GPER enhances melanogenesis via PKA by upregulating microphthalmia-related transcription factor-tyrosinase in melanoma PMID: 27378491
- Data suggest that GPR30 increases ERK1/2 activity via two Gi/o-mediated mechanisms, a PDZ-dependent constitutive mechanism and a PDZ-independent Gi/o-stimulated mechanism involving PI3K. (GPR30 = G protein-coupled estrogen receptor 1; ERK1 = extracellular signal-regulated kinase 1; ERK2 = extracellular signal-regulated kinase 2; Gi/0 = GTP-binding protein alpha subunits, Gi-Go; PI3K = phosphoinositide-3-kinase) PMID: 28450397
- present study revealed that BPA can trigger the progression of laryngeal squamous cell carcinoma via GPER-mediated upregulation of IL-6. Therefore, more attention should be paid for the BPA exposure on the development of laryngeal cancer. PMID: 28466560
- G protein-coupled estrogen receptor stabilizes HIF-1alpha and thus promotes HIF-1alpha-induced VEGF and MMP9 in endometrial stromal cells, which play critical roles in endometriosis. PMID: 27939762
- GPR30 activation by G-1 interfered expression of cell cycle regulators and machinery elements to modulate prostate cancer cell growth PMID: 27908592
- These results provide evidence that (1) GPR30 is involved in regulating cell proliferation and apoptosis; (2) pharmacologic upregulation of GPR30 is beneficial for preeclampsia (PE) management; (3) GPR30 may therefore be an interventional target for pregnancies complicated by PE. PMID: 27481507
- Thus, the presence or absence of these GPR30 species is a simple and rapid manner to determine whether a given cell line is suitable for pharmacological or molecular studies of GPR30 modulation. PMID: 27401115
- Data define novel insights into the stromal GPER-mediated multiple drug resistance from the point of reprogramming of tumor energy metabolism and provide the rationale for CAFs as a promising target for clinical therapy. PMID: 27721408
- GPER may play a role during human oocyte maturation through its action in cumulus granulosa cells PMID: 27111051
- ligand-activation of GPER generates a feedforward loop coupling IL1beta induction by CAFs to IL1R1 expression by cancer cells, promoting the up-regulation of IL1beta/IL1R1 target genes such as PTGES, COX2, RAGE and ABCG2 PMID: 27072893
- Studies identified an important role of GPER activation in the regulation of cardiovascular function especially in women. [review] PMID: 27213340
- GPER negatively regulates TNFalpha-induced IL-6 expression, probably through inhibition of NF-kappaB promoter activity by a signal(s) derived from the C-terminal region of GPER. PMID: 26888479
- Results demonstrated that GPER protein down-regulation significantly correlated with GPER promoter hypermethylation. Comparison of 108 tumors and matched normal breast tissues indicated a significant GPER down-regulation in cancer tissues correlating with GPER promoter hypermethylation. PMID: 28118074
- Data suggest that expression of GPER1/GPR30 can be up-regulated by dietary factors; dietary supplementation with flaxseed-derived lignan, secoisolariciresinol diglycoside, up-regulates expression of GPER1/GPR30 in prostate and may prevent progression of benign prostatic hyperplasia. PMID: 27849354
- the presence of the GG genotype of the GPR30 rs3808351 polymorphism and the G allele of the GPR30 rs3808351 polymorphism affect the characteristics and development of leiomyomas in the Turkish population PMID: 26773178
- GPER expression was mainly con fi ned in the basal epithelial layer of benign prostate, where this receptor could mediate estrogen action on normal cellular activity. PMID: 26714890
- Data show that both mineralcorticoid receptor (MR) and G-protein estrogen receptor (GPER) contribute to the proliferation and migration of breast and endothelial cancer cells by sodium-hydrogen exchanger 1 protein (NHE-1) upon aldosterone exposure. PMID: 26646587
- GPER ligand-independently stimulates the proliferation, migration and invasion of SKOV3 cells. PMID: 26526233
- Study provides perspective that addresses the accumulation of GPER in endosomes or intracellular membranes, its capacity to transactivate plasma membrane receptors and its potential role in physiological and pathophysiological processes. [review] PMID: 26190834
- Evaluation of GPER1, EGFR and CXCR1 mRNA/protein expression may be helpful in differential diagnosis of malignant follicular thyroid carcinoma and benign follicular thyroid adenoma. PMID: 26617848
- Results indicate that GPER-1 mediates proliferation of estrogen-induced leiomyoma cells by activating the MAPK pathway, and not by promoting mitosis. PMID: 26416628
- GPER significantly attenuated the inhibition effect of miR-424 in estradiol-induced cell growth in the endometrial cancer cells. PMID: 26638889
- The G protein-coupled estrogen receptor 1 (GPER-1) contributes to the proliferation and survival of mantle cell lymphoma cells. PMID: 26250574
- Understanding the molecular basis of agonist/antagonist mechanism of GPER1/GPR30 through structural and energetic analyses PMID: 26772481
- Expression and functional roles of estrogen receptor GPR30 in human intervertebral disc PMID: 26815911
- Data show that estrogen mediates control of hepatitis C virus through the G-protein-coupled estrogen receptor 30 (GPR30) pathway leading to cleavage of occludin by Matrix Metalloproteinase-9 (MMP-9). PMID: 26731262
- a significant positive correlation was found between GPER and Gankyrin both in ectopic and eutopic endometrium of the ovarian endometriosis. PMID: 26193952
- In estradiol-treated monocytes, GPER1 physically interacts with estrogen receptor-alpha 36-kDa splice variant. It acts an anti-inflammatory coregulator, because its inhibition blocks estrogen's effect on IL-6 expression. PMID: 26394816
- Study highlighted the physiological function of GPER1, particularly its regulation of AT1R and the role of estrogen receptors, EGFR and matrix metalloproteinases in bringing about its cardioprotective effects. [review] PMID: 25922871
- GPER undergoes dramatic structural changes, which explains its exceptional capacity to accept diverse agonist and antagonist ligands. PMID: 25587872
顯示更多
收起更多
-
亞細胞定位:Nucleus. Cytoplasm. Cytoplasm, perinuclear region. Cytoplasm, cytoskeleton. Cell membrane; Multi-pass membrane protein. Basolateral cell membrane; Multi-pass membrane protein. Cytoplasmic vesicle membrane; Multi-pass membrane protein. Early endosome. Recycling endosome. Golgi apparatus membrane; Multi-pass membrane protein. Golgi apparatus, trans-Golgi network. Endoplasmic reticulum membrane; Multi-pass membrane protein. Cell projection, dendrite. Cell projection, dendritic spine membrane; Multi-pass membrane protein. Cell projection, axon. Cell junction, synapse, postsynaptic density. Mitochondrion membrane; Multi-pass membrane protein.
-
蛋白家族:G-protein coupled receptor 1 family
-
組織特異性:Expressed in placenta, endothelial and epithelial cells, non laboring and laboring term myometrium, fibroblasts and cancer-associated fibroblasts (CAF), prostate cancer cells and invasive adenocarcinoma (at protein level). Ubiquitously expressed, but is m
-
數據庫鏈接:
Most popular with customers
-
-
YWHAB Recombinant Monoclonal Antibody
Applications: ELISA, WB, IHC, IF, FC
Species Reactivity: Human, Mouse, Rat
-
Phospho-YAP1 (S127) Recombinant Monoclonal Antibody
Applications: ELISA, WB, IHC
Species Reactivity: Human
-
-
-
-
-















