GP6 Antibody
-
中文名稱:GP6兔多克隆抗體
-
貨號:CSB-PA872550LA01HU
-
規格:¥440
-
圖片:
-
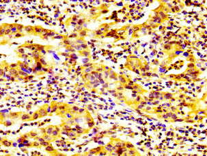
IHC image of CSB-PA872550LA01HU diluted at 1:600 and staining in paraffin-embedded human bladder cancer performed on a Leica BondTM system. After dewaxing and hydration, antigen retrieval was mediated by high pressure in a citrate buffer (pH 6.0). Section was blocked with 10% normal goat serum 30min at RT. Then primary antibody (1% BSA) was incubated at 4°C overnight. The primary is detected by a biotinylated secondary antibody and visualized using an HRP conjugated SP system.
-
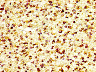
IHC image of CSB-PA872550LA01HU diluted at 1:600 and staining in paraffin-embedded human glioma performed on a Leica BondTM system. After dewaxing and hydration, antigen retrieval was mediated by high pressure in a citrate buffer (pH 6.0). Section was blocked with 10% normal goat serum 30min at RT. Then primary antibody (1% BSA) was incubated at 4°C overnight. The primary is detected by a biotinylated secondary antibody and visualized using an HRP conjugated SP system.
-
Immunofluorescence staining of MCF-7 cells with CSB-PA872550LA01HU at 1:200, counter-stained with DAPI. The cells were fixed in 4% formaldehyde, permeabilized using 0.2% Triton X-100 and blocked in 10% normal Goat Serum. The cells were then incubated with the antibody overnight at 4°C. The secondary antibody was Alexa Fluor 488-congugated AffiniPure Goat Anti-Rabbit IgG(H+L).
-
-
其他:
產品詳情
-
產品名稱:Rabbit anti-Homo sapiens (Human) GP6 Polyclonal antibody
-
Uniprot No.:
-
基因名:
-
別名:Glycoprotein 6 antibody; Glycoprotein VI antibody; GP6 antibody; GPIV antibody; GPVI antibody; GPVI_HUMAN antibody; MGC138168 antibody; Platelet collagen receptor antibody; Platelet glycoprotein VI antibody; Platelet glycoprotein VI precursor antibody
-
宿主:Rabbit
-
反應種屬:Human
-
免疫原:Recombinant Human Platelet glycoprotein VI protein (115-265AA)
-
免疫原種屬:Homo sapiens (Human)
-
標記方式:Non-conjugated
本頁面中的產品,GP6 Antibody (CSB-PA872550LA01HU),的標記方式是Non-conjugated。對于GP6 Antibody,我們還提供其他標記。見下表:
-
克隆類型:Polyclonal
-
抗體亞型:IgG
-
純化方式:>95%, Protein G purified
-
濃度:It differs from different batches. Please contact us to confirm it.
-
保存緩沖液:Preservative: 0.03% Proclin 300
Constituents: 50% Glycerol, 0.01M PBS, pH 7.4 -
產品提供形式:Liquid
-
應用范圍:ELISA, IHC, IF
-
推薦稀釋比:
Application Recommended Dilution IHC 1:500-1:1000 IF 1:200-1:500 -
Protocols:
-
儲存條件:Upon receipt, store at -20°C or -80°C. Avoid repeated freeze.
-
貨期:Basically, we can dispatch the products out in 1-3 working days after receiving your orders. Delivery time maybe differs from different purchasing way or location, please kindly consult your local distributors for specific delivery time.
-
用途:For Research Use Only. Not for use in diagnostic or therapeutic procedures.
相關產品
靶點詳情
-
功能:Collagen receptor involved in collagen-induced platelet adhesion and activation. Plays a key role in platelet procoagulant activity and subsequent thrombin and fibrin formation. This procoagulant function may contribute to arterial and venous thrombus formation. The signaling pathway involves the FcR gamma-chain, the Src kinases (likely FYN or LYN) and SYK, the adapter protein LAT and leads to the activation of PLCG2.
-
基因功能參考文獻:
- there is an altered activation state of GPVI signaling in ST-elevation myocardial infarction patients; GPVI is critical for the formation of arterial thrombosis in vivo PMID: 28004756
- haplotype PEAN associated with SPS and manifested by fetal loss and suggest that the mechanism involved in the action of GPVI has significant effect on GPVI-mediated signal transduction through Syk-phosphorylation. PMID: 28041267
- This suggests whereas platelet receptor shedding is mainly modulated by calcium-dependent signals, either platelet-surface interactions with the container walls during storage or induced shear stress under long-term agitation, might be also involved in the excessive shedding of GPVI during the storage of PRP-platelet concentrates. PMID: 27778530
- There was no evidence to suggest that polymorphisms of GP VI T13254C and GP Ibalpha VNTR were associated with CAD. PMID: 28607925
- Platelet adhesion to collagen induces GPVI dimer clustering. GPVI clustering increases both avidity for collagen and the proximity of GPVI-associated signaling molecules, which may be crucial for the initiation and persistence of signaling PMID: 28058806
- Loss of the platelet surface receptors GPIbalpha and GPVI in heart failure, CF-VAD and ECMO patients may contribute to ablated platelet adhesion/activation, and limit thrombus formation under high/pathologic shear conditions PMID: 27601054
- SGPVI was significantly lower in patients treated with NOACs. PMID: 27693274
- Novel antithrombotic peptides derived from trowaglerix that acts through GPVI antagonism with greater safety-no severe bleeding. PMID: 28596377
- rs1613662 polymorphism has an important role in the development of venous thromboembolism in the white race PMID: 28353616
- plasma sGPVI levels are related to platelet activation in Living Donor Liver Transplantation. Although the plasma levels of sGPVI in the survivors increased after the operation, those in the nonsurvivors were high only on day 3. PMID: 26346441
- results support the idea that genetic variability of GP6 regulatory regions can be associated with platelet hyperaggregability - a possible cause of miscarriage PMID: 26308704
- These results demonstrate that GP6 is a receptor for fibrin and provide evidence that this interaction contributes to thrombus growth and stability. PMID: 26282541
- data suggest a novel role for FAK in GPVI-dependent ROS formation and platelet activation and elucidate a proximal signaling role for FAK within the GPVI pathway. PMID: 25415317
- As sCD147 strongly correlates with platelet-specific sGPVI, a common platelet source and/or mechanism of release may contribute to sCD147 levels in vivo. PMID: 24245520
- This study identifies GPVI as a platelet receptor for polymerized fibrin with 2 major functions: (1) amplification of thrombin generation and (2) recruitment of circulating platelets to clots. PMID: 25977585
- measuring the level of sGPVI may be useful for assessing the activation of platelets in postoperative patients treated with anti-Xa agents and also for predicting the incidence of VTE in this population. PMID: 25253166
- Glaucocalyxin A inhibits platelet activation and thrombus formation preferentially via GPVI signaling pathway. PMID: 24386454
- The plasma levels of sGPVI were the highest in patients with TMA without markedly reduced ADAMTS13 and those were significantly reduced after plasma exchange. PMID: 24325877
- Results suggest that variants of GP6 SNPs, namely, rs1671153, rs1654410, rs1654419, and rs1613662, may be associated with risk of recurrent miscarriage. PMID: 25086789
- Lower platelet GPIV levels are associated with no-reflow phenomenon in patients with acute myocardial infarction. PMID: 24126767
- Studies indicate that Megakaryocyte maturation is accompanied by up-regulation of glycoprotein VI and down-regulation of leukocyte-associated immunoglobulin-like receptor-1. PMID: 20713462
- PAR4 and GPVI-mediated platelet reactivity involves 12-lipoxygenase PMID: 23784669
- RhoG is expressed and activated in platelets, plays an important role in GPVI-Fc receptor gamma-chain complex-mediated platelet activation, and is critical for thrombus formation in vivo. PMID: 24106269
- SNPs tested within the GPVI gene are not associated with rheumatoid arthritis susceptibility and/or severity. PMID: 23739280
- Results suggest that p21 activated kinase serves as an orchestrator of platelet functional responses after activation downstream of the platelet collagen receptor, glycoprotein receptor VI. PMID: 23640496
- In response to GPVI stimulation, OPHN1 becomes phosphorylated at Tyr370 and plays a role in the formation of filopodia during platelet spreading on collagen. PMID: 23619296
- analysis of hierachical protein recruitment to the inhibitory platelet receptor, G6B-b PMID: 23185356
- Our results, especially higher occurrence of four haplotypes in SPS patients, can support an idea that variability of the GP6 gene may be associated with the platelet hyperaggregability insticky platelet syndrome. PMID: 23168074
- Interaction between integrin alpha2beta1 and collagen type I takes place prior to collagen receptor activation. PMID: 23132859
- GP6 SNPs 1613662-G, 1671153-G and 1654419-A alleles are associated with an increased risk for deep venous thrombosis and sticky platelet syndrome. PMID: 22821001
- Reactive oxygen species generation downstream of GPVI or FcgammaRIIa consists of two distinct phases: an initial Syk-independent burst followed by additional Syk-dependent generation. PMID: 22489915
- Results support the idea that GP6 gene polymorphism may be associated with platelet hyperaggregability, a possible cause of fetal loss. PMID: 22901851
- The GPVI-specific agonist collagen-related peptide or thrombin further increases the number of dimers, thereby providing a feedback mechanism for reinforcing binding to collagen and platelet activation. PMID: 22773837
- analysis of platelet GPVI, a unique platelet-specific receptor with uses in diagnosis and/or disease prevention [review] PMID: 22274761
- Exposure of platelets to high shear induced a metalloproteinase-dependent GPVI cleavage, producing a ~55-kDa soluble ectodomain fragment & A ~10-kDa platelet-associated tail fragment. This may down-regulate GPVI expression. PMID: 22431567
- Collagen receptor GPVI is platelet-specific, constitutively expressed, and key regulator of thrombosis. Enhanced surface expression is associated with atherosclerotic diseases such as acute coronary syndrome and ischemic stroke. [review-type article] PMID: 21718237
- A preclinical tool (human GPVI as an antiplatelet target) is developed in a genetically modified mouse strain to evaluate the role of GPVI in various models of thrombosis. PMID: 22238212
- The rapid assembly of highly competent dimers of GPVI at sites of vascular lesion represents an important step in the sequence of events leading to platelet activation by collagen. PMID: 22155453
- Platelet GPVI surface expression is enhanced in patients with acute coronary syndrome with unclear electrocardiogram (ECG) findings and is strongly associated with myocardial ischemia. PMID: 20071043
- The effect of GPVI stimulation on levels of specific proteins in subcellular platelet compartments was compared and analysed. PMID: 22114104
- Polymorphic variation at the GP6 locus is associated with risk of acute myocardial infarction in men and women. PMID: 20227257
- the functional interactions between SSL5 and platelets, including the novel finding of a role for the GPVI receptor PMID: 21552524
- Coagulation-induced GPVI shedding via FXa down-regulates GPVI under procoagulant conditions. PMID: 21252089
- the minor allele of GP6 T13254C that reduces platelet activation and aggregation also may be associated with a reduced incidence of recurrent cardiovascular events and mortality, but is not associated with first MI PMID: 20723028
- Glycoprotein VI shedding is implicated in the pathology of acute ischemic stroke. PMID: 21193745
- In platelets, SLAP-2 may have function as a negative regulator of GPVI-mediated signaling by interacting with c-Cbl. PMID: 20828795
- A unique megakaryocytic cell line UT-7/TPO could respond to one of the primary platelet signals through GP (glycoprotein) VI and a secondary signal of the AA (arachidonic acid) cascade. PMID: 20522022
- Ablation of TULA-2 resulted in hyperphosphorylation of Syk and its downstream effector phospholipase C-gamma2 as well as enhanced platelet glycoprotein VI-mediated platelet functional responses. PMID: 20585042
- [review]role of GP6 in platelet activation and blood clotting; blockade of collagen binding to GPVI PMID: 20414836
- Data indicate signaling events triggered by specific ligation of GPIbalpha can lead to robust platelet activation, similar to GPVI, and help define GPIb-IX-V as both an adhesion and signaling receptor on platelets. PMID: 20367574
顯示更多
收起更多
-
相關疾病:Bleeding disorder, platelet-type 11 (BDPLT11)
-
亞細胞定位:[Isoform 1]: Cell membrane; Single-pass membrane protein.; [Isoform 2]: Cell membrane; Single-pass membrane protein.
-
組織特異性:Megakaryocytes and platelets.
-
數據庫鏈接:
Most popular with customers
-
-
Phospho-YAP1 (S127) Recombinant Monoclonal Antibody
Applications: ELISA, WB, IHC
Species Reactivity: Human
-
-
-
-
-
-















