GNB4 Antibody
-
中文名稱:GNB4兔多克隆抗體
-
貨號:CSB-PA862056LA01HU
-
規格:¥440
-
圖片:
-
Western Blot
Positive WB detected in: Rat liver tissue, Mouse liver tissue, Mouse kidney tissue
All lanes: GNB4 antibody at 2μg/ml
Secondary
Goat polyclonal to rabbit IgG at 1/50000 dilution
Predicted band size: 38 kDa
Observed band size: 38 kDa -
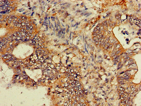
Immunohistochemistry of paraffin-embedded human pancreatic cancer using CSB-PA862056LA01HU at dilution of 1:100
-
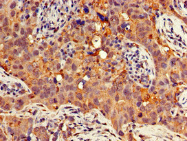
Immunohistochemistry of paraffin-embedded human colon cancer using CSB-PA862056LA01HU at dilution of 1:100
-
Immunofluorescent analysis of Hela cells using CSB-PA862056LA01HU at dilution of 1:100 and Alexa Fluor 488-congugated AffiniPure Goat Anti-Rabbit IgG(H+L)
-
-
其他:
產品詳情
-
產品名稱:Rabbit anti-Homo sapiens (Human) GNB4 Polyclonal antibody
-
Uniprot No.:
-
基因名:
-
別名:G protein beta 4 subunit antibody; GBB4_HUMAN antibody; GNB 4 antibody; Gnb4 antibody; Guanine nucleotide binding protein (G protein) beta polypeptide 4 antibody; Guanine nucleotide binding protein beta 4 subunit antibody; Guanine nucleotide binding protein beta polypeptide 4 antibody; Guanine nucleotide binding protein beta subunit 4 antibody; Guanine nucleotide binding protein subunit beta 4 antibody; Guanine nucleotide-binding protein subunit beta-4 antibody; Transducin beta chain 4 antibody
-
宿主:Rabbit
-
反應種屬:Human, Mouse, Rat
-
免疫原:Recombinant Human Guanine nucleotide-binding protein subunit beta-4 protein (105-185AA)
-
免疫原種屬:Homo sapiens (Human)
-
標記方式:Non-conjugated
本頁面中的產品,GNB4 Antibody (CSB-PA862056LA01HU),的標記方式是Non-conjugated。對于GNB4 Antibody,我們還提供其他標記。見下表:
-
克隆類型:Polyclonal
-
抗體亞型:IgG
-
純化方式:>95%, Protein G purified
-
濃度:It differs from different batches. Please contact us to confirm it.
-
保存緩沖液:Preservative: 0.03% Proclin 300
Constituents: 50% Glycerol, 0.01M PBS, pH 7.4 -
產品提供形式:Liquid
-
應用范圍:ELISA, WB, IHC, IF
-
推薦稀釋比:
Application Recommended Dilution WB 1:500-1:5000 IHC 1:20-1:200 IF 1:50-1:200 -
Protocols:
-
儲存條件:Upon receipt, store at -20°C or -80°C. Avoid repeated freeze.
-
貨期:Basically, we can dispatch the products out in 1-3 working days after receiving your orders. Delivery time maybe differs from different purchasing way or location, please kindly consult your local distributors for specific delivery time.
-
用途:For Research Use Only. Not for use in diagnostic or therapeutic procedures.
相關產品
靶點詳情
-
功能:Guanine nucleotide-binding proteins (G proteins) are involved as a modulator or transducer in various transmembrane signaling systems. The beta and gamma chains are required for the GTPase activity, for replacement of GDP by GTP, and for G protein-effector interaction.
-
基因功能參考文獻:
- GNB4 is important for growth of breast cancer cells and a potential target for treatment PMID: 30103729
- A novel missense GNB4 variant causes Charcot-Marie-Tooth disease F in two patients, who represent the first record of the disease in the Japanese population. PMID: 28642160
- Suggest Gbeta4gamma1 as a modulator of M3 muscarinic receptor signaling. PMID: 25916507
- Analysis of GNB4 in an additional 88 unrelated CMT individuals uncovered another de novo mutation. PMID: 23434117
- Gbeta4 subunit is coexpressed in physiologically ON-type cone bipolar cells with Ggamma13 and Gbeta3 but is not present in OFF-type bipolar cells. PMID: 12454992
- Gbeta4 is widely expressed, located on chromosome 3 with a genomic structure like Gbeta1 to Gbeta3, but different from Gbeta5 PMID: 12782285
- Intron-1 haplotypes of GNB4 may, thus, serve as predictive markers for progression and survival of patients suffering from bladder cancer. PMID: 18815590
- Intron-1 haplotypes of GNB4 is associated with colorectal carcinoma. PMID: 19414374
顯示更多
收起更多
-
相關疾病:Charcot-Marie-Tooth disease, dominant, intermediate type, F (CMTDIF)
-
蛋白家族:WD repeat G protein beta family
-
組織特異性:Strongly expressed in lung and placenta, whereas it is weakly expressed in brain and heart. Abundantly expressed in the axons and Schwann cells of peripheral nerves.
-
數據庫鏈接:
Most popular with customers
-
-
YWHAB Recombinant Monoclonal Antibody
Applications: ELISA, WB, IHC, IF, FC
Species Reactivity: Human, Mouse, Rat
-
Phospho-YAP1 (S127) Recombinant Monoclonal Antibody
Applications: ELISA, WB, IHC
Species Reactivity: Human
-
-
-
-
-















