GNB1 Antibody
-
中文名稱:GNB1兔多克隆抗體
-
貨號:CSB-PA725644
-
規格:¥1100
-
圖片:
-
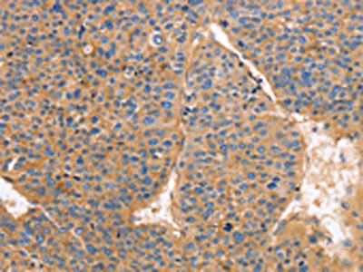
The image on the left is immunohistochemistry of paraffin-embedded Human liver cancer tissue using CSB-PA725644(GNB1 Antibody) at dilution 1/25, on the right is treated with fusion protein. (Original magnification: ×200)
-
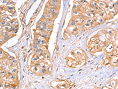
The image on the left is immunohistochemistry of paraffin-embedded Human breast cancer tissue using CSB-PA725644(GNB1 Antibody) at dilution 1/25, on the right is treated with fusion protein. (Original magnification: ×200)
-
Gel: 15%SDS-PAGE, Lysate: 40 μg, Lane 1-3: Hela cells, 293T cells, 231 cells, Primary antibody: CSB-PA725644(GNB1 Antibody) at dilution 1/450, Secondary antibody: Goat anti rabbit IgG at 1/8000 dilution, Exposure time: 1 second
-
-
其他:
產品詳情
-
Uniprot No.:
-
基因名:
-
別名:Beta subunit signal transducing proteins GS/GI antibody; G protein beta 1 subunit antibody; GBB1 antibody; GBB1_HUMAN antibody; gnb1 antibody; Guanine nucleotide binding protein (G protein) beta polypeptide 1 antibody; Guanine nucleotide binding protein beta 1 subunit antibody; Guanine nucleotide-binding protein G(I)/G(S)/G(T) subunit beta-1 antibody; Transducin beta chain 1 antibody
-
宿主:Rabbit
-
反應種屬:Human,Mouse,Rat
-
免疫原:Fusion protein of Human GNB1
-
免疫原種屬:Homo sapiens (Human)
-
標記方式:Non-conjugated
-
抗體亞型:IgG
-
純化方式:Antigen affinity purification
-
濃度:It differs from different batches. Please contact us to confirm it.
-
保存緩沖液:-20°C, pH7.4 PBS, 0.05% NaN3, 40% Glycerol
-
產品提供形式:Liquid
-
應用范圍:ELISA,WB,IHC
-
推薦稀釋比:
Application Recommended Dilution ELISA 1:2000-1:5000 WB 1:500-1:2000 IHC 1:25-1:100 -
Protocols:
-
儲存條件:Upon receipt, store at -20°C or -80°C. Avoid repeated freeze.
-
貨期:Basically, we can dispatch the products out in 1-3 working days after receiving your orders. Delivery time maybe differs from different purchasing way or location, please kindly consult your local distributors for specific delivery time.
-
用途:For Research Use Only. Not for use in diagnostic or therapeutic procedures.
相關產品
靶點詳情
-
功能:Guanine nucleotide-binding proteins (G proteins) are involved as a modulator or transducer in various transmembrane signaling systems. The beta and gamma chains are required for the GTPase activity, for replacement of GDP by GTP, and for G protein-effector interaction.
-
基因功能參考文獻:
- Mutation in the GNB1 gene is associated with neurodevelopmental disorder and cutaneous mastocytosis. PMID: 29174093
- Through analysis of the genomic and proteomic profiles of resistant cells, we identified an acquired mutation in the GNB1 gene, K89M, as the most likely cause of the resistance PMID: 28650474
- Germline De Novo Mutations in GNB1 Cause Severe Neurodevelopmental Disability, Hypotonia, and Seizures. PMID: 27108799
- we demonstrate a pathogenic role of de novo and autosomal dominant mutations in GNB1 as a cause of Global developmental delay and provide insights how perturbation in heterotrimeric G protein function contributes to the disease PMID: 28087732
- PhLP1 binding stabilizes the Gbeta fold, disrupting interactions with CCT and releasing a PhLP1-Gbeta dimer for assembly with Ggamma. PMID: 25675501
- GNB1 and GNB2 alterations confer transformed and resistance phenotypes across a range of human tumors and may be targetable with inhibitors of G protein signaling. PMID: 25485910
- During corticogenesis, a cilium-transduced, noncanonical IGF-1R-Gbetagamma-phospho(T94)Tctex-1 signaling pathway promotes the proliferation of neural progenitors through modulation of ciliary resorption and G1 length. PMID: 23954591
- GNB1 plays an important role in the mTOR-related anti-apoptosis pathway and can potentially be targeted in the treatment of human breast cancer. PMID: 23603342
- Findings suggest a wide-ranging mechanism by which direct interaction of Gbetagamma with specific chromatin bound transcription factors regulates functional gene networks in response to GPCR activation in cells including the angiotensin II type 1 receptor. PMID: 23326349
- This study provided evidence that GNB1 gene polymorphisms are related to rapid virological response in HCV-1 and HCV-2 infected patients. GNB1 may play an important role in activating the antiviral response prior to treatment. PMID: 23171003
- WDR26 is a novel Gbetagamma-binding protein that is required for the efficacy of Gbetagamma signaling and leukocyte migration PMID: 22065575
- Gbetagamma inhibits Epac-induced Ca 2+ elevation in melanoma cells. Cross talk of Ca 2+ signaling between Gbetagamma & Epac plays a major role in melanoma cell migration. PMID: 21679469
- Data implicate the domain I-II linker region as an important contributor to voltage dependent Gbeta1/Ggamma2 modulation of Cav2.2 calcium channels. PMID: 20181083
- Gbetagamma subunits enter in a protein complex with activated Rap1a and its effector Radil; this complex is required downstream of receptor stimulation for the activation of integrins and the positive modulation of cell-matrix adhesiveness. PMID: 20048162
- Directional sensing requires GNB1-mediated PAK1 and PIX alpha-dependent activation of Cdc42. PMID: 12887923
- Data show that G protein inhibition of N-type calcium channels is critically dependent on two separate but adjacent approximately 20-amino acid regions of the Gbeta subunit, as examined with Gbetas 1 and 5 and Ggamma2. PMID: 15105422
- G betagamma binds HDAC5 and inhibits its transcriptional co-repression activity PMID: 16221676
- HSD-3.8 (SPAG1), interacts with G-protein beta 1 subunit and activates extracellular signal-regulated kinases 1 and 2 PMID: 16368546
- G protein betagamma subunits stimulate type V and VI adenylyl cyclases PMID: 17110384
- No likely pathogenic GNB1 mutations have been found in any of 185 unrelated patients with autosomal dominant retinitis pigmentosa. PMID: 17167406
- While digenic disease with the SP4 Asn306Ser and the GNB1 intronic variant alleles has not been established, neither has it been ruled out. This leaves open the possibility of a cooperative involvement of SP4 and GNB1 in the normal function of the retina. PMID: 17356515
- Fission of transport carriers at the trans-Golgi network is dependent on specifically PLCbeta3, which is necessary to activate PKCeta and PKD in that Golgi compartment, via diacylglycerol production. PMID: 17492941
- Gbetagamma mediates UVB-induced human keratinocyte apoptosis by augmenting the ectodomain shedding of HB-EGF, which sequentially activates EGFR and p38 PMID: 17548351
- signaling pathway by which G(i)-coupled receptor specifically induces Rac and Cdc42 activation through direct interaction of Gbetagamma with FLJ00018. PMID: 18045877
- RACK1 regulates directional cell migration by acting on G betagamma at the interface with its effectors PLC beta and PI3K gamma PMID: 18596232
- Results identify novel functions of beta-arrestin1 in binding to the beta1gamma2 subunits of heterotrimeric G-proteins and promoting G(betagamma)-mediated Akt signalling for NF-kappaB activation. PMID: 18729826
- Strong candidate gene for severe retinitis pigmentosa, RP32 (human 1p34.3-p13.3). Conclusion is based on a massive expression data set for mouse (103 strains) and joint analysis of RetNet database. PMID: 19727342
顯示更多
收起更多
-
相關疾病:Mental retardation, autosomal dominant 42 (MRD42)
-
蛋白家族:WD repeat G protein beta family
-
數據庫鏈接:
Most popular with customers
-
-
YWHAB Recombinant Monoclonal Antibody
Applications: ELISA, WB, IHC, IF, FC
Species Reactivity: Human, Mouse, Rat
-
Phospho-YAP1 (S127) Recombinant Monoclonal Antibody
Applications: ELISA, WB, IHC
Species Reactivity: Human
-
-
-
-
-















