GMDS Antibody
-
中文名稱:GMDS兔多克隆抗體
-
貨號:CSB-PA009569LA01HU
-
規格:¥440
-
圖片:
-
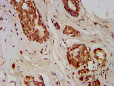
IHC image of CSB-PA009569LA01HU diluted at 1:400 and staining in paraffin-embedded human breast cancer performed on a Leica BondTM system. After dewaxing and hydration, antigen retrieval was mediated by high pressure in a citrate buffer (pH 6.0). Section was blocked with 10% normal goat serum 30min at RT. Then primary antibody (1% BSA) was incubated at 4°C overnight. The primary is detected by a biotinylated secondary antibody and visualized using an HRP conjugated SP system.
-
Immunofluorescence staining of Hela cells with CSB-PA009569LA01HU at 1:133, counter-stained with DAPI. The cells were fixed in 4% formaldehyde, permeabilized using 0.2% Triton X-100 and blocked in 10% normal Goat Serum. The cells were then incubated with the antibody overnight at 4°C. The secondary antibody was Alexa Fluor 488-congugated AffiniPure Goat Anti-Rabbit IgG(H+L).
-
-
其他:
產品詳情
-
產品名稱:Rabbit anti-Homo sapiens (Human) GMDS Polyclonal antibody
-
Uniprot No.:
-
基因名:GMDS
-
別名:GDP D mannose dehydratase antibody; GDP mannose 4 6 dehydratase antibody; GDP-D-mannose dehydratase antibody; GDP-mannose 4,6 dehydratase antibody; GMD antibody; Gmds antibody; GMDS_HUMAN antibody; OTTHUMP00000017756 antibody; OTTHUMP00000232770 antibody; SDR3E1 antibody; Short chain dehydrogenase/reductase family 3E member 1 antibody
-
宿主:Rabbit
-
反應種屬:Human
-
免疫原:Recombinant Human GDP-mannose 4,6 dehydratase protein (243-346AA)
-
免疫原種屬:Homo sapiens (Human)
-
標記方式:Non-conjugated
本頁面中的產品,GMDS Antibody (CSB-PA009569LA01HU),的標記方式是Non-conjugated。對于GMDS Antibody,我們還提供其他標記。見下表:
-
克隆類型:Polyclonal
-
抗體亞型:IgG
-
純化方式:>95%, Protein G purified
-
濃度:It differs from different batches. Please contact us to confirm it.
-
保存緩沖液:Preservative: 0.03% Proclin 300
Constituents: 50% Glycerol, 0.01M PBS, pH 7.4 -
產品提供形式:Liquid
-
應用范圍:ELISA, IHC, IF
-
推薦稀釋比:
Application Recommended Dilution IHC 1:200-1:500 IF 1:50-1:200 -
Protocols:
-
儲存條件:Upon receipt, store at -20°C or -80°C. Avoid repeated freeze.
-
貨期:Basically, we can dispatch the products out in 1-3 working days after receiving your orders. Delivery time maybe differs from different purchasing way or location, please kindly consult your local distributors for specific delivery time.
-
用途:For Research Use Only. Not for use in diagnostic or therapeutic procedures.
相關產品
靶點詳情
-
功能:Catalyzes the conversion of GDP-D-mannose to GDP-4-dehydro-6-deoxy-D-mannose.
-
基因功能參考文獻:
- Data indicate three loci associated with primary open-angle glaucoma (POAG) were located upstream of ATP binding cassette transporter 1 (ABCA1), within actin filament associated protein 1 (AFAP1) and within GDP-mannose 46-dehydratase (GMDS). PMID: 25173105
- These data demonstrate involvement of GMDS mutation in the progression of colorectal cancer. PMID: 23922970
- Fx enzyme and GDP-L-Fuc Tr overexpression in the tumur tissue of colorectal cancer (CRC) patients suggests that GDP-L-Fuc transport to the Golgi apparatus may be an important factor associated with increased alpha(1,6)fucosylation in CRC. PMID: 23730929
- GMD inhibits tankyrase 1 poly(ADP-ribose) polymerase activity in vitro, dependent on the GMD tankyrase 1 binding motif. In vivo, depletion of GMD led to degradation of tankyrase 1, dependent on the catalytic PARP activity of tankyrase 1. PMID: 22645305
- Results indicate that GMDS regulates the formation of secondary complex II from the primary DISC independent of direct fucosylation of death receptors. PMID: 22027835
- FX takes part in the cascade of events leading to the extravasation of activated lymphocytes. PMID: 11831876
- Deficiency of GMDS leads to escape from natural killer cell-mediated tumor surveillance through modulation of TRAIL signaling. PMID: 19361506
顯示更多
收起更多
-
蛋白家族:NAD(P)-dependent epimerase/dehydratase family, GDP-mannose 4,6-dehydratase subfamily
-
數據庫鏈接:
Most popular with customers
-
-
YWHAB Recombinant Monoclonal Antibody
Applications: ELISA, WB, IHC, IF, FC
Species Reactivity: Human, Mouse, Rat
-
Phospho-YAP1 (S127) Recombinant Monoclonal Antibody
Applications: ELISA, WB, IHC
Species Reactivity: Human
-
-
-
-
-















