GLYR1 Antibody
-
中文名稱:GLYR1兔多克隆抗體
-
貨號:CSB-PA224597
-
規格:¥1100
-
圖片:
-
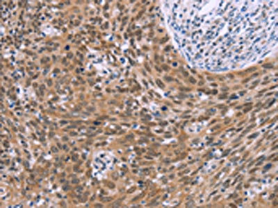
The image on the left is immunohistochemistry of paraffin-embedded Human cervical cancer tissue using CSB-PA224597(GLYR1 Antibody) at dilution 1/30, on the right is treated with synthetic peptide. (Original magnification: ×200)
-
The image on the left is immunohistochemistry of paraffin-embedded Human liver cancer tissue using CSB-PA224597(GLYR1 Antibody) at dilution 1/30, on the right is treated with synthetic peptide. (Original magnification: ×200)
-
-
其他:
產品詳情
-
Uniprot No.:
-
基因名:GLYR1
-
別名:3 hydroxyisobutyrate dehydrogenase like protein antibody; 3-hydroxyisobutyrate dehydrogenase-like protein antibody; BM045 antibody; Cytokine like nuclear factor n pac antibody; Cytokine-like nuclear factor N-PAC antibody; Glyoxylate reductase 1 homolog antibody; GLYR1 antibody; GLYR1_HUMAN antibody; HIBDL antibody; N-PAC antibody; NP60 antibody; Nuclear protein 60 kDa antibody; Nuclear protein NP60 antibody; Nuclear protein of 60 kDa antibody; Putative oxidoreductase GLYR1 antibody
-
宿主:Rabbit
-
反應種屬:Human,Mouse,Rat
-
免疫原:Synthetic peptide of Human GLYR1
-
免疫原種屬:Homo sapiens (Human)
-
標記方式:Non-conjugated
-
抗體亞型:IgG
-
純化方式:Antigen affinity purification
-
濃度:It differs from different batches. Please contact us to confirm it.
-
保存緩沖液:-20°C, pH7.4 PBS, 0.05% NaN3, 40% Glycerol
-
產品提供形式:Liquid
-
應用范圍:ELISA,IHC
-
推薦稀釋比:
Application Recommended Dilution ELISA 1:2000-1:5000 IHC 1:50-1:200 -
Protocols:
-
儲存條件:Upon receipt, store at -20°C or -80°C. Avoid repeated freeze.
-
貨期:Basically, we can dispatch the products out in 1-3 working days after receiving your orders. Delivery time maybe differs from different purchasing way or location, please kindly consult your local distributors for specific delivery time.
-
用途:For Research Use Only. Not for use in diagnostic or therapeutic procedures.
相關產品
靶點詳情
-
功能:Nucleosome-destabilizing factor that is recruited to genes during transcriptional activation. Facilitates Pol II transcription through nucleosomes. Binds DNA (in vitro). Recognizes and binds trimethylated 'Lys-36' of histone H3 (H3K36me3). Promotes KDM1B demethylase activity. Stimulates the acetylation of 'Lys-56' of nucleosomal histone H3 (H3K56ac) by EP300. Regulates p38 MAP kinase activity by mediating stress activation of p38alpha/MAPK14 and specifically regulating MAPK14 signaling. Indirectly promotes phosphorylation of MAPK14 and activation of ATF2. The phosphorylation of MAPK14 requires upstream activity of MAP2K4 and MAP2K6. Putative oxidoreductase.
-
亞細胞定位:Nucleus. Chromosome.
-
蛋白家族:3-hydroxyisobutyrate dehydrogenase family, NP60 subfamily
-
數據庫鏈接:
Most popular with customers
-
-
Phospho-YAP1 (S127) Recombinant Monoclonal Antibody
Applications: ELISA, WB, IHC
Species Reactivity: Human
-
-
-
-
-
-















