GLRX5 Antibody
-
中文名稱:GLRX5兔多克隆抗體
-
貨號:CSB-PA769767LA01HU
-
規格:¥440
-
圖片:
-
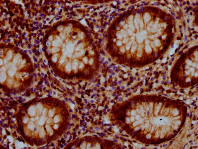
IHC image of CSB-PA769767LA01HU diluted at 1:500 and staining in paraffin-embedded human appendix tissue performed on a Leica BondTM system. After dewaxing and hydration, antigen retrieval was mediated by high pressure in a citrate buffer (pH 6.0). Section was blocked with 10% normal goat serum 30min at RT. Then primary antibody (1% BSA) was incubated at 4°C overnight. The primary is detected by a biotinylated secondary antibody and visualized using an HRP conjugated SP system.
-
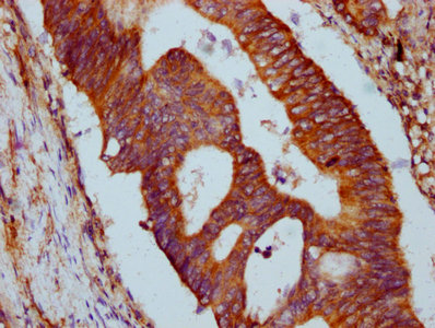
IHC image of CSB-PA769767LA01HU diluted at 1:500 and staining in paraffin-embedded human colon cancer performed on a Leica BondTM system. After dewaxing and hydration, antigen retrieval was mediated by high pressure in a citrate buffer (pH 6.0). Section was blocked with 10% normal goat serum 30min at RT. Then primary antibody (1% BSA) was incubated at 4°C overnight. The primary is detected by a biotinylated secondary antibody and visualized using an HRP conjugated SP system.
-
-
其他:
產品詳情
-
產品名稱:Rabbit anti-Homo sapiens (Human) GLRX5 Polyclonal antibody
-
Uniprot No.:
-
基因名:GLRX5
-
別名:C14orf87 antibody; Chromosome 14 open reading frame 87 antibody; FLB4739 antibody; GLRX 5 antibody; Glrx5 antibody; GLRX5_HUMAN antibody; Glutaredoxin 5 homolog antibody; Glutaredoxin related protein 5 antibody; Glutaredoxin-related protein 5 antibody; Glutaredoxin5 antibody; GRX5 antibody; MGC14129 antibody; mitochondrial antibody; Monothiol glutaredoxin-5 antibody; PRO1238 antibody
-
宿主:Rabbit
-
反應種屬:Human
-
免疫原:Recombinant Human Glutaredoxin-related protein 5, mitochondrial protein (32-157AA)
-
免疫原種屬:Homo sapiens (Human)
-
標記方式:Non-conjugated
本頁面中的產品,GLRX5 Antibody (CSB-PA769767LA01HU),的標記方式是Non-conjugated。對于GLRX5 Antibody,我們還提供其他標記。見下表:
-
克隆類型:Polyclonal
-
抗體亞型:IgG
-
純化方式:>95%, Protein G purified
-
濃度:It differs from different batches. Please contact us to confirm it.
-
保存緩沖液:Preservative: 0.03% Proclin 300
Constituents: 50% Glycerol, 0.01M PBS, pH 7.4 -
產品提供形式:Liquid
-
應用范圍:ELISA, IHC
-
推薦稀釋比:
Application Recommended Dilution IHC 1:500-1:1000 -
Protocols:
-
儲存條件:Upon receipt, store at -20°C or -80°C. Avoid repeated freeze.
-
貨期:Basically, we can dispatch the products out in 1-3 working days after receiving your orders. Delivery time maybe differs from different purchasing way or location, please kindly consult your local distributors for specific delivery time.
-
用途:For Research Use Only. Not for use in diagnostic or therapeutic procedures.
相關產品
靶點詳情
-
功能:Monothiol glutaredoxin involved in mitochondrial iron-sulfur (Fe/S) cluster transfer. Receives 2Fe/2S clusters from scaffold protein ISCU and mediates their transfer to apoproteins, to the 4Fe/FS cluster biosynthesis machinery, or export from mitochondrion. Required for normal regulation of hemoglobin synthesis by the iron-sulfur protein ACO1.
-
基因功能參考文獻:
- GLRX5 rs1007814 showed a statistically marginally significant difference between cases and controls in genotype frequency (case/control: CC 1:6; CT 112:78; TT 752:505, P=0.049361), but no significant differences in allele distribution [odds ratio (OR)=0.852805]In men, we found a minor difference in the genotype frequency (case/control: CC 0:3; CT 72:36; TT 411:280, P=0.037370) and not in allele distribution (OR=1.142857) PMID: 27893590
- Patients with GLRX5-associated variant nonketotic hyperglycemia had normal development with childhood-onset spastic paraplegia, spinal lesion, and optic atrophy. PMID: 24334290
- crystal structure of GLRX5 revealed a tetrameric organization with the [2Fe-2S] clusters buried in the interior and shielded from the solvent by the conserved beta1-alpha2 loop PMID: 21029046
- Glutaredoxin 5 deficiency causes sideroblastic anemia by specifically impairing heme biosynthesis and depleting cytosolic iron in human erythroblasts PMID: 20364084
- No GLRX5 mutations were found among sixty CSA probands examined PMID: 19731322
- Mutations in GLRX5 is associated with sideroblastic-like microcytic anemia and iron overload PMID: 17485548
顯示更多
收起更多
-
相關疾病:Anemia, sideroblastic, 3, pyridoxine-refractory (SIDBA3); Spasticity, childhood-onset, with hyperglycinemia (SPAHGC)
-
亞細胞定位:Mitochondrion matrix.
-
蛋白家族:Glutaredoxin family, Monothiol subfamily
-
數據庫鏈接:
Most popular with customers
-
-
YWHAB Recombinant Monoclonal Antibody
Applications: ELISA, WB, IHC, IF, FC
Species Reactivity: Human, Mouse, Rat
-
Phospho-YAP1 (S127) Recombinant Monoclonal Antibody
Applications: ELISA, WB, IHC
Species Reactivity: Human
-
-
-
-
-















