GLP2R Antibody
-
中文名稱:GLP2R兔多克隆抗體
-
貨號:CSB-PA025580
-
規格:¥1100
-
圖片:
-
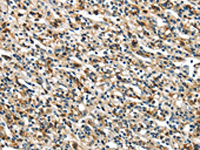
The image on the left is immunohistochemistry of paraffin-embedded Human breast cancer tissue using CSB-PA025580(GLP2R Antibody) at dilution 1/30, on the right is treated with fusion protein. (Original magnification: ×200)
-
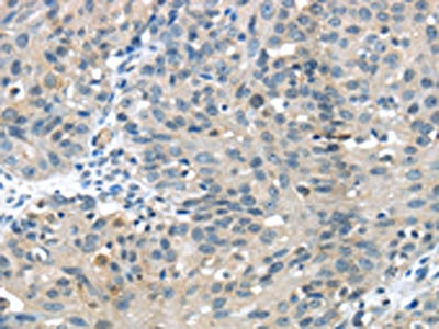
The image on the left is immunohistochemistry of paraffin-embedded Human prostate cancer tissue using CSB-PA025580(GLP2R Antibody) at dilution 1/30, on the right is treated with fusion protein. (Original magnification: ×200)
-
Gel: 8%SDS-PAGE,Lysate: 40 μg,,Primary antibody: CSB-PA025580(GLP2R Antibody) at dilution 1/400 dilution,Secondary antibody: Goat anti rabbit IgG at 1/8000 dilution,Exposure time: 1 minute
-
-
其他:
產品詳情
-
Uniprot No.:
-
基因名:
-
別名:GLP2R; Glucagon-like peptide 2 receptor; GLP-2 receptor; GLP-2-R; GLP-2R
-
宿主:Rabbit
-
反應種屬:Human
-
免疫原:Fusion protein of Human GLP2R
-
免疫原種屬:Homo sapiens (Human)
-
標記方式:Non-conjugated
-
抗體亞型:IgG
-
純化方式:Antigen affinity purification
-
濃度:It differs from different batches. Please contact us to confirm it.
-
保存緩沖液:-20°C, pH7.4 PBS, 0.05% NaN3, 40% Glycerol
-
產品提供形式:Liquid
-
應用范圍:ELISA,WB,IHC
-
推薦稀釋比:
Application Recommended Dilution ELISA 1:2000-1:5000 WB 1:500-1:2000 IHC 1:25-1:100 -
Protocols:
-
儲存條件:Upon receipt, store at -20°C or -80°C. Avoid repeated freeze.
-
貨期:Basically, we can dispatch the products out in 1-3 working days after receiving your orders. Delivery time maybe differs from different purchasing way or location, please kindly consult your local distributors for specific delivery time.
-
用途:For Research Use Only. Not for use in diagnostic or therapeutic procedures.
相關產品
靶點詳情
-
功能:This is a receptor for glucagon-like peptide 2. The activity of this receptor is mediated by G proteins which activate adenylyl cyclase.
-
基因功能參考文獻:
- GLP2R expression was significantly increased in gastric chief cells in OB and OWD patients. PKCzeta expression was also significantly increased. This is the first evidence of increased GLP2R expression in chief cells of patients with severe obesity regardless of diabetes status. PMID: 28337026
- GLP-2 augmented BRIN BD11 beta-cell proliferation, but was less efficacious in 1.1B4 cells. These data highlight the involvement of GLP-2 receptor signalling in the adaptations to pancreatic islet cell stress. PMID: 28746825
- This is the first time that human Epicardial adipose tissue is found to express both GLP-1R and GLP-2R genes. PMID: 28514806
- Report gastrointestinal GLP-2 receptor and limited utility of GLP-2 in the management of inflammatory intestinal disorders. PMID: 24875097
- GLP-2 receptors are highly expressed in gastrointestinal stromal tumors and Crohn's disease. PMID: 22951144
- GLP2R encodes a G protein-coupled receptor and involved in proliferative and anti-apoptotic cellular responses. PMID: 21326311
- docking studies were performed between the N-terminal extracellular domain of GLP-2 receptor and the GLP-2 hormone PMID: 21167157
- glucagon-like peptide-2 receptor is coupled to regulation of apoptosis and ERK1/2 activation through divergent signaling pathways PMID: 15471943
- GLP-2 in the gut acts by activating receptors on the subepithelial myofibroblasts, causing the release of growth factors, which in turn stimulate intestinal growth PMID: 15544847
- GLP-2 receptor C terminus has a role in modulating beta-arrestin-2 association but not ligand-induced desensitization, endocytosis, and G-protein-dependent effector activation PMID: 15817468
- GLP-2-induced stimulation of blood flow is mediated by vasoactive neurotransmitters that are colocalized with GLP-2R in 2 functionally distinct cell types within the gastrointestinal tract PMID: 16401478
- Endogenously expressing GLP-2 receptor encoding mRNA and protein was identified in intestinal cell lines. PMID: 16448646
- Sustained direct or indirect modulation of GLP-2R signaling does not modify intestinal tumor cell growth or survival. PMID: 18829546
顯示更多
收起更多
-
亞細胞定位:Cell membrane; Multi-pass membrane protein.
-
蛋白家族:G-protein coupled receptor 2 family
-
數據庫鏈接:
Most popular with customers
-
-
YWHAB Recombinant Monoclonal Antibody
Applications: ELISA, WB, IHC, IF, FC
Species Reactivity: Human, Mouse, Rat
-
Phospho-YAP1 (S127) Recombinant Monoclonal Antibody
Applications: ELISA, WB, IHC
Species Reactivity: Human
-
-
-
-
-















