-
中文名稱:GLCE兔多克隆抗體
-
貨號:CSB-PA009492LA01HU
-
規格:¥440
-
圖片:
-
Western blot
All lanes: GLCE antibody at 12µg/ml
Lane 1: Rat liver tissue
Lane 2: Mouse kidney tissue
Secondary
Goat polyclonal to rabbit IgG at 1/10000 dilution
Predicted band size: 71 kDa
Observed band size: 71 kDa -
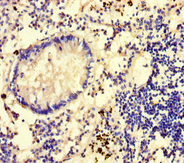
Immunohistochemistry of paraffin-embedded human appendix tissue using CSB-PA009492LA01HU at dilution of 1:100
-
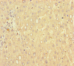
Immunohistochemistry of paraffin-embedded human liver tissue using CSB-PA009492LA01HU at dilution of 1:100
-
-
其他:
產品詳情
-
產品名稱:Rabbit anti-Homo sapiens (Human) GLCE Polyclonal antibody
-
Uniprot No.:
-
基因名:GLCE
-
別名:GLCE antibody; KIAA0836 antibody; D-glucuronyl C5-epimerase antibody; EC 5.1.3.17 antibody; Heparan sulfate C5-epimerase antibody; Hsepi antibody; Heparin/heparan sulfate:glucuronic acid C5-epimerase antibody; Heparosan-N-sulfate-glucuronate 5-epimerase antibody
-
宿主:Rabbit
-
反應種屬:Human, Mouse, Rat
-
免疫原:Recombinant Human D-glucuronyl C5-epimerase protein (29-617AA)
-
免疫原種屬:Homo sapiens (Human)
-
標記方式:Non-conjugated
本頁面中的產品,GLCE Antibody (CSB-PA009492LA01HU),的標記方式是Non-conjugated。對于GLCE Antibody,我們還提供其他標記。見下表:
-
克隆類型:Polyclonal
-
抗體亞型:IgG
-
純化方式:>95%, Protein G purified
-
濃度:It differs from different batches. Please contact us to confirm it.
-
保存緩沖液:Preservative: 0.03% Proclin 300
Constituents: 50% Glycerol, 0.01M PBS, PH 7.4 -
產品提供形式:Liquid
-
應用范圍:ELISA, WB, IHC
-
推薦稀釋比:
Application Recommended Dilution WB 1:1000-1:5000 IHC 1:20-1:200 -
Protocols:
-
儲存條件:Upon receipt, store at -20°C or -80°C. Avoid repeated freeze.
-
貨期:Basically, we can dispatch the products out in 1-3 working days after receiving your orders. Delivery time maybe differs from different purchasing way or location, please kindly consult your local distributors for specific delivery time.
-
用途:For Research Use Only. Not for use in diagnostic or therapeutic procedures.
相關產品
靶點詳情
-
功能:Converts D-glucuronic acid residues adjacent to N-sulfate sugar residues to L-iduronic acid residues, both in maturing heparan sulfate (HS) and heparin chains. This is important for further modifications that determine the specificity of interactions between these glycosaminoglycans and proteins.
-
基因功能參考文獻:
- Results show that overexpression of Hsepi alone resulted in an unexpected increase in heparan sulfate (HS) chain length. A Hsepi point-mutant (Y168A), devoid of catalytic activity, failed to affect chain length. Moreover, the effect of Hsepi overexpression on HS chain length was abolished by simultaneous overexpression of 2OST. PMID: 27511124
- The obtained data suggest an involvement of GLCE rs3865014 in breast cancer development. Heterozygous AG genotype might be a risk factor for breast cancer susceptibility in Siberian women and is associated with aggressive ER-negative and triple-negative cancer subtypes. PMID: 28734894
- The GLCE gene polymorphism rs3865014 appears to have biological relevance in human pathophysiology. PMID: 27699767
- C5-epimerase and 2-O-sulfotransferase in association generate extended domains of consecutive GlcNS-IdoA2S Sequence. PMID: 25594747
- GLCE may be used as a potential model to study the functional role of intratumor cell heterogeneity in prostate cancer progression. PMID: 24403231
- activation of angiogenesis as a main molecular mechanism of pro-oncogenic effect of GLCE in prostate cancer. PMID: 24264315
- positive correlation between miRNA-218 and GLCE mRNA, and negative correlation between miRNA-218 and GLCE protein levels in breast tissues and primary tumors in vivo, supporting a direct involvement of miRNA-218 in posttranscriptional regulation of GLCE PMID: 22968430
- Chondroitin-glucuronate C5-epimerase is a potential candidate for tumour antigen with immunogenicity and the peptides derived from this antigen could be useful in hepatocellular carcinoma immunotherapy. PMID: 22830596
- A correlation was observed between D-glucuronyl C5-epimerase (GLCE), TCF4 and beta-catenin expression in breast cancer cells and primary tumors, suggesting an important role for TCF4/beta-catenin in regulating GLCE expression both in vitro and in vivo. PMID: 22805760
- The biphasic mode of C(5)-epi offers a novel mechanism to regulate the biosynthesis of HS with the desired biological functions. PMID: 22528493
- Loss of D-glucuronyl C-5 epimerase is associated with small-cell lung cancer. PMID: 21654676
- SNPs in GLCE are associated with triglyceride and HDL-C levels in Turks, and mouse studies support a role for glce in lipid metabolism. PMID: 21488854
- The regulation of GLCE expression by 2 cis-acting elements of the beta-catenin-TCF4 complex located in the enhancer region of the promoter are reported. PMID: 15853773
- in 82-84% of human breast tumors there is either downregulation or loss of D-glucuronyl C5-epimerase mRNA expression and significant decrease of the protein content PMID: 17985344
顯示更多
收起更多
-
亞細胞定位:Golgi apparatus membrane; Single-pass type II membrane protein.
-
蛋白家族:D-glucuronyl C5-epimerase family
-
數據庫鏈接:
Most popular with customers
-
-
YWHAB Recombinant Monoclonal Antibody
Applications: ELISA, WB, IHC, IF, FC
Species Reactivity: Human, Mouse, Rat
-
Phospho-YAP1 (S127) Recombinant Monoclonal Antibody
Applications: ELISA, WB, IHC
Species Reactivity: Human
-
-
-
-
-















