GJB3 Antibody
-
中文名稱:GJB3兔多克隆抗體
-
貨號:CSB-PA093051
-
規格:¥1100
-
圖片:
-
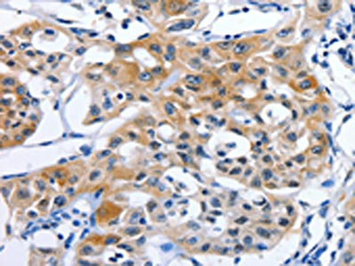
The image on the left is immunohistochemistry of paraffin-embedded Human lung cancer tissue using CSB-PA093051(GJB3 Antibody) at dilution 1/15, on the right is treated with synthetic peptide. (Original magnification: ×200)
-
Gel: 10%SDS-PAGE, Lysate: 40 μg, Lane: Hela cells, Primary antibody: CSB-PA093051(GJB3 Antibody) at dilution 1/300, Secondary antibody: Goat anti rabbit IgG at 1/8000 dilution, Exposure time: 30 seconds
-
-
其他:
產品詳情
-
Uniprot No.:
-
基因名:GJB3
-
別名:GJB3; CX31; Gap junction beta-3 protein; Connexin-31; Cx31
-
宿主:Rabbit
-
反應種屬:Human
-
免疫原:Synthetic peptide of Human GJB3
-
免疫原種屬:Homo sapiens (Human)
-
標記方式:Non-conjugated
-
抗體亞型:IgG
-
純化方式:Antigen affinity purification
-
濃度:It differs from different batches. Please contact us to confirm it.
-
保存緩沖液:-20°C, pH7.4 PBS, 0.05% NaN3, 40% Glycerol
-
產品提供形式:Liquid
-
應用范圍:ELISA,WB,IHC
-
推薦稀釋比:
Application Recommended Dilution ELISA 1:1000-1:5000 WB 1:200-1:1000 IHC 1:10-1:50 -
Protocols:
-
儲存條件:Upon receipt, store at -20°C or -80°C. Avoid repeated freeze.
-
貨期:Basically, we can dispatch the products out in 1-3 working days after receiving your orders. Delivery time maybe differs from different purchasing way or location, please kindly consult your local distributors for specific delivery time.
-
用途:For Research Use Only. Not for use in diagnostic or therapeutic procedures.
相關產品
靶點詳情
-
功能:One gap junction consists of a cluster of closely packed pairs of transmembrane channels, the connexons, through which materials of low MW diffuse from one cell to a neighboring cell.
-
基因功能參考文獻:
- The results of this study showed that GJB3 mutants appear to account for a small proportion in double heterozygous state with autosomal recessive GJB2 mutation . PMID: 29926981
- GJB3 c.538C>T does not contribute to hearing loss, and this conclusion will assist with genetic counseling and risk prediction for deafness related to the GJB3 c.538C>T variant PMID: 29106878
- The results of the present study indicated that combined heterozygous mutations of the SLC264 and GJB3 genes may result in severe hearing loss. These results contribute to the understanding of clinical phenotype of deaf patients carrying combined mutations in the SLC26A4 and GJB3 genes. PMID: 27176802
- study suggests that Connexin-31 mutant proteins are un/misfolded to cause erythrokeratodermia variabilis likely via an AP-1-mediated mechanism and identifies a small molecule with therapeutic potential of the disease PMID: 26251042
- identified dominant pathogenic missense mutation in the M4 transmembrane domain of GJB3; mutation led to the erythrokeratodermia variabilis (EKV) phenotype in the patient's family; results, combined with literature review, suggest dominant missense mutations outside the E2 domain in GJB3 are associated with EKV, and those within the E2 domain cause ADNSHL PMID: 25556823
- The CX31 V174M mutant may have an effect on the formation and function of the gap junction, in nonsyndromic hearing loss. PMID: 24913888
- In this study, we found no mutations of GJB3 in two Progressive symmetrical erythrokeratoderma families. PMID: 23678955
- mutations prevalent in hearing loss patients PMID: 23638949
- We report a missense mutation p.G45E in the GJB3 gene, which was responsible for Erythrokeratodermia variabilis in a Chinese family. PMID: 22681493
- GJB3 and GJB6 genetic variants are associated with the pathogenicity of nonsyndromic sensorineural hearing loss. PMID: 22617145
- Mutation analysis of GJB3 and GJB4 in Chinese patients with erythrokeratodermia variabilis. PMID: 21950330
- Pathogenic connexin-31 forms constitutively active hemichannels to promote necrotic cell death PMID: 22393412
- A neonatal hearing screening program in Campania, Italy did not find any incidence of GJB6 or GJB3 mutations. PMID: 21916817
- GJB3 gene mutations were not the main cause of hereditary nonsyndromic hearing loss in Uighur and Han people. PMID: 21055240
- There were no mutations found in the GJB3 gene and the true pathogenesis of progressive symmetrical erythrokeratodermia remains unknown. PMID: 21198793
- endoplasmic reticulum stress leading to the unfolded protein response is the main mechanism of mutant Cx31-associated cell death. PMID: 19755382
- a homozygote mutation in the connexin 31 gene, found in a family that shows recessive inheritance of the disorder, thus providing the first molecular support for a recessive variant of erythrokeratodermia variabilis PMID: 12019212
- Connexin 31 mutation is associated with defective trafficking and cell death in skin disease PMID: 12165562
- Expression of a connexin31 mutation causing erythrokeratodermia variabilis is lethal for HeLa cells PMID: 12176042
- pathogenic mutations of CX31 are infrequent in sporadic non-syndromic hearing impairment PMID: 12630965
- effects of sequence variants G12D and R32W on Cx31 biogenesis and gap junction activity PMID: 12702148
- These results not only provide new insights into epidermal connexin synthesis and polymerization, but also allow a novel molecular explanation for the similarity of EKV phenotypes. PMID: 14583444
- In summary, disease-associated Cx31 mutants impair the formation of normal gap junctions at different levels. PMID: 16077902
- Not all clincally diagnosed inviduals with erythrokeratoderma variabilis harbor Cx31 disease-associated mutations. PMID: 16297190
- provide an important first step in evaluating the pathogenesis of inherited human diseases associated with mutations in the gene for Cx31 PMID: 16549784
顯示更多
收起更多
-
相關疾病:Erythrokeratodermia variabilis et progressiva 1 (EKVP1); Deafness, autosomal dominant, 2B (DFNA2B)
-
亞細胞定位:Cell membrane; Multi-pass membrane protein. Cell junction, gap junction.
-
蛋白家族:Connexin family, Beta-type (group I) subfamily
-
數據庫鏈接:
Most popular with customers
-
-
YWHAB Recombinant Monoclonal Antibody
Applications: ELISA, WB, IHC, IF, FC
Species Reactivity: Human, Mouse, Rat
-
Phospho-YAP1 (S127) Recombinant Monoclonal Antibody
Applications: ELISA, WB, IHC
Species Reactivity: Human
-
-
-
-
-















