GH2 Antibody
-
中文名稱:GH2兔多克隆抗體
-
貨號:CSB-PA902740
-
規格:¥1100
-
圖片:
-
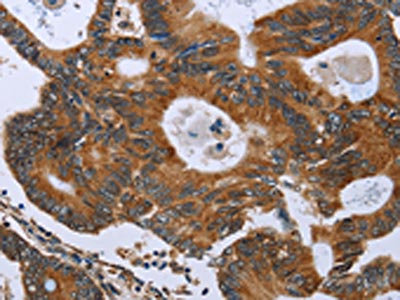
The image on the left is immunohistochemistry of paraffin-embedded Human colon cancer tissue using CSB-PA902740(GH2 Antibody) at dilution 1/40, on the right is treated with fusion protein. (Original magnification: ×200)
-
The image on the left is immunohistochemistry of paraffin-embedded Human lung cancer tissue using CSB-PA902740(GH2 Antibody) at dilution 1/40, on the right is treated with fusion protein. (Original magnification: ×200)
-
Gel: 10%SDS-PAGE, Lysate: 40 μg, Lane: Human placenta tissue, Primary antibody: CSB-PA902740(GH2 Antibody) at dilution 1/500, Secondary antibody: Goat anti rabbit IgG at 1/8000 dilution, Exposure time: 10 seconds
-
-
其他:
產品詳情
-
Uniprot No.:
-
基因名:
-
別名:GH2 antibody; Growth hormone variant antibody; GH-V antibody; Growth hormone 2 antibody; Placenta-specific growth hormone antibody
-
宿主:Rabbit
-
反應種屬:Human
-
免疫原:Fusion protein of Human GH2
-
免疫原種屬:Homo sapiens (Human)
-
標記方式:Non-conjugated
-
抗體亞型:IgG
-
純化方式:Antigen affinity purification
-
濃度:It differs from different batches. Please contact us to confirm it.
-
保存緩沖液:-20°C, pH7.4 PBS, 0.05% NaN3, 40% Glycerol
-
產品提供形式:Liquid
-
應用范圍:ELISA,WB,IHC
-
推薦稀釋比:
Application Recommended Dilution ELISA 1:2000-1:5000 WB 1:500-1:2000 IHC 1:50-1:200 -
Protocols:
-
儲存條件:Upon receipt, store at -20°C or -80°C. Avoid repeated freeze.
-
貨期:Basically, we can dispatch the products out in 1-3 working days after receiving your orders. Delivery time maybe differs from different purchasing way or location, please kindly consult your local distributors for specific delivery time.
-
用途:For Research Use Only. Not for use in diagnostic or therapeutic procedures.
相關產品
靶點詳情
-
功能:Plays an important role in growth control. Its major role in stimulating body growth is to stimulate the liver and other tissues to secrete IGF-1. It stimulates both the differentiation and proliferation of myoblasts. It also stimulates amino acid uptake and protein synthesis in muscle and other tissues.
-
基因功能參考文獻:
- Type 1 diabetic women delivering large for gestational age infants had lower placental GH levels in early pregnancy. PMID: 26589570
- genetic association studies in populations in Estonia, Czech Republic, and Bashkortostan/Russia: Data suggest an SNP in GH2 (rs2006123) is associated with adult height (not body mass index); A-allele is associated with taller stature. [META-ANALYSIS] PMID: 24035309
- Maternal serum PGH at 11-13 weeks' gestation is unlikely to be a useful biochemical marker for early prediction of small for gestational age neonates. PMID: 22489624
- results are consistent with a pleiotropic effect of placental hGH/CSH genes at the maternal-fetal interface relating to the regulation of fetal growth and the risk of affected maternal metabolism. PMID: 22387044
- These results suggest that the normal PGH-IGF-I-IGFBP3 axis in pregnancy is abnormal in Type 1 Diabetic pregnancies. PMID: 22363400
- early first trimester maternal serum marker for Down syndrome PMID: 19844941
- The hGH-V promoter activity and the endogenous mRNA expression in human placental choriocarcinoma cell line JAR in the presence of glucose and demethylating genome conditions, were compared. PMID: 20005926
- GH-V plays a major role in affecting target cells expressing the GH receptor, thus potentially exerting significant GH-like effects on maternal physiology during pregnancy. PMID: 12213191
- Data show that improved binding affinity of human growth hormone (hGH(v)) results from numerous small contributions distributed broadly over the interface. PMID: 12946357
- Using a mutagenesis-scanning analysis of 81 single and 32 pairwise double mutations, it is shown that the GHv hormone's two spatially distal receptor binding sites (Site1 and Site2) are allosterically coupled PMID: 15563602
- results offer the first evidence for a placental role of human placental growth hormone(hPGH) and suggest an autocrine/paracrine role of hPGH in the regulation of trophoblast invasion PMID: 15718272
- PGH may play a role in the mechanisms of disease in preeclampsia and fetal growth restriction. PMID: 17701665
- Placental growth hormone (PGH) secretion by BeWo cells is regulated by hormonal factors and adipokines. Elevated insulin and leptin levels might down-regulate PGH secretion. PMID: 18356738
顯示更多
收起更多
-
亞細胞定位:Secreted.
-
蛋白家族:Somatotropin/prolactin family
-
組織特異性:Expressed in the placenta.
-
數據庫鏈接:
Most popular with customers
-
-
YWHAB Recombinant Monoclonal Antibody
Applications: ELISA, WB, IHC, IF, FC
Species Reactivity: Human, Mouse, Rat
-
Phospho-YAP1 (S127) Recombinant Monoclonal Antibody
Applications: ELISA, WB, IHC
Species Reactivity: Human
-
-
-
-
-















