GFRA4 Antibody
-
中文名稱:GFRA4兔多克隆抗體
-
貨號:CSB-PA271998
-
規格:¥1100
-
圖片:
-
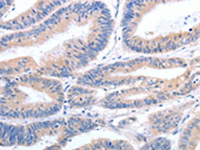
The image on the left is immunohistochemistry of paraffin-embedded Human colon cancer tissue using CSB-PA271998(GFRA4 Antibody) at dilution 1/40, on the right is treated with synthetic peptide. (Original magnification: ×200)
-
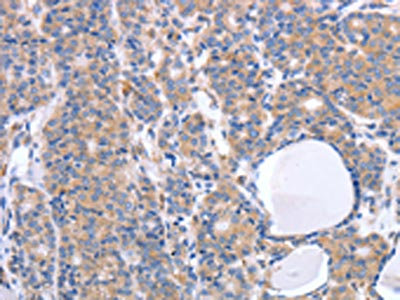
The image on the left is immunohistochemistry of paraffin-embedded Human thyroid cancer tissue using CSB-PA271998(GFRA4 Antibody) at dilution 1/40, on the right is treated with synthetic peptide. (Original magnification: ×200)
-
-
其他:
產品詳情
-
Uniprot No.:
-
基因名:
-
別名:GDNF family receptor alpha 4 antibody; GDNF family receptor alpha-4 antibody; GDNF receptor alpha-4 antibody; GDNFR-alpha-4 antibody; GFR alpha 4 antibody; GFR receptor alpha 4 antibody; GFR-alpha-4 antibody; GFRA4 antibody; GFRA4_HUMAN antibody; Glial cell line derived neurotrophic factor family receptor alpha 4 antibody; Neurotrophic factor receptor splice variant A (Gfra4 gene) antibody; OTTHUMP00000030106 antibody; OTTHUMP00000030107 antibody; Persephin receptor antibody
-
宿主:Rabbit
-
反應種屬:Human
-
免疫原:Synthetic peptide of Human GFRA4
-
免疫原種屬:Homo sapiens (Human)
-
標記方式:Non-conjugated
-
抗體亞型:IgG
-
純化方式:Antigen affinity purification
-
濃度:It differs from different batches. Please contact us to confirm it.
-
保存緩沖液:-20°C, pH7.4 PBS, 0.05% NaN3, 40% Glycerol
-
產品提供形式:Liquid
-
應用范圍:ELISA,IHC
-
推薦稀釋比:
Application Recommended Dilution ELISA 1:1000-1:5000 IHC 1:25-1:100 -
Protocols:
-
儲存條件:Upon receipt, store at -20°C or -80°C. Avoid repeated freeze.
-
貨期:Basically, we can dispatch the products out in 1-3 working days after receiving your orders. Delivery time maybe differs from different purchasing way or location, please kindly consult your local distributors for specific delivery time.
-
用途:For Research Use Only. Not for use in diagnostic or therapeutic procedures.
相關產品
靶點詳情
-
功能:Receptor for persephin. Mediates the GDNF-induced autophosphorylation and activation of the RET receptor. May be important in C-cell development and, in the postnatal development of the adrenal medulla.
-
基因功能參考文獻:
- Results support that aberrant CpG hypermethylation at least partly accounts for GFRA4 silencing in HSCR, which impairs its protective role in enteric nervous system. PMID: 29634418
- High GFRA4 expression is associated with Hirschsprung's Disease. PMID: 29090971
- GDNF/GFRalpha1 is crucial for efficient signal transduction to recruit Ret protein into lipid rafts. PMID: 15225646
-
亞細胞定位:[Isoform GFRalpha4a]: Cell membrane; Lipid-anchor, GPI-anchor.; [Isoform GFRalpha4b]: Cell membrane; Lipid-anchor, GPI-anchor.; [Isoform GFRalpha4c]: Secreted.
-
蛋白家族:GDNFR family
-
組織特異性:Predominantly expressed in the adult thyroid gland. Low levels also found in fetal adrenal and thyroid glands.
-
數據庫鏈接:
Most popular with customers
-
-
YWHAB Recombinant Monoclonal Antibody
Applications: ELISA, WB, IHC, IF, FC
Species Reactivity: Human, Mouse, Rat
-
-
-
-
-
-















