GFRA3 Antibody
-
中文名稱:GFRA3兔多克隆抗體
-
貨號:CSB-PA037992
-
規格:¥1100
-
圖片:
-
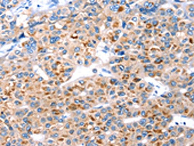
The image on the left is immunohistochemistry of paraffin-embedded Human liver cancer tissue using CSB-PA037992(GFRA3 Antibody) at dilution 1/20, on the right is treated with synthetic peptide. (Original magnification: ×200)
-
Gel: 10%SDS-PAGE, Lysate: 40 μg, Lane 1-2: Human fetal kidney tissue, Human brain tissue, Primary antibody: CSB-PA037992(GFRA3 Antibody) at dilution 1/1000, Secondary antibody: Goat anti rabbit IgG at 1/8000 dilution, Exposure time: 5 minutes
-
-
其他:
產品詳情
-
Uniprot No.:
-
基因名:
-
別名:GDNF family receptor alpha 3 antibody; GDNF family receptor alpha-3 antibody; GDNF receptor alpha-3 antibody; GDNFR-alpha-3 antibody; GDNFR3 antibody; GFR-alpha-3 antibody; GFRA3 antibody; GFRA3_HUMAN antibody; Glial cell line derived neurotrophic factor receptor alpha 3 antibody; GPI linked receptor antibody; OTTHUMP00000159486 antibody; OTTHUMP00000224020 antibody
-
宿主:Rabbit
-
反應種屬:Human,Mouse,Rat
-
免疫原:Synthetic peptide of Human GFRA3
-
免疫原種屬:Homo sapiens (Human)
-
標記方式:Non-conjugated
-
抗體亞型:IgG
-
純化方式:Antigen affinity purification
-
濃度:It differs from different batches. Please contact us to confirm it.
-
保存緩沖液:-20°C, pH7.4 PBS, 0.05% NaN3, 40% Glycerol
-
產品提供形式:Liquid
-
應用范圍:ELISA,WB,IHC
-
推薦稀釋比:
Application Recommended Dilution ELISA 1:1000-1:5000 WB 1:1000-1:3000 IHC 1:20-1:100 -
Protocols:
-
儲存條件:Upon receipt, store at -20°C or -80°C. Avoid repeated freeze.
-
貨期:Basically, we can dispatch the products out in 1-3 working days after receiving your orders. Delivery time maybe differs from different purchasing way or location, please kindly consult your local distributors for specific delivery time.
-
用途:For Research Use Only. Not for use in diagnostic or therapeutic procedures.
相關產品
靶點詳情
-
功能:Receptor for the glial cell line-derived neurotrophic factor, ARTN (artemin). Mediates the artemin-induced autophosphorylation and activation of the RET receptor tyrosine kinase.
-
基因功能參考文獻:
- increased GFRalpha3 expression is significantly correlated with poor prognosis of patients with urothelial carcinoma PMID: 28651425
- Mir-34a directly regulates GFRA3 via its coding region.GFRA3 is crucial for breast cancer growth. PMID: 28356515
- The GFRA3 promoter region showed marked hypermethylation in almost all tumors, and its correlation with survival and other clinicopathological parameters may have important prognostic significance. PMID: 26984265
- The lack of expression of the RET/GFRA system could be related to the cell mislocation and deregulated growth of craniopharyngiomas. PMID: 22031517
- Artemin and GFRalpha3 expressions may play an important role in perineural invasion of pancreatic carcinoma. PMID: 19304517
- 1.92 A crystal structure of the complex formed between ARTN and its receptor GFRalpha3 was reported. PMID: 16765900
- In the human digestive and reproductive systems, a subset of epithelial cells exhibited GFRalpha3- and RET-like staining, suggesting co-localization. PMID: 16773224
顯示更多
收起更多
-
亞細胞定位:Cell membrane; Lipid-anchor, GPI-anchor.
-
蛋白家族:GDNFR family
-
組織特異性:Widely expressed in adult and fetus which exhibit a similar pattern. Essentially not expressed in the central nervous system, but highly expressed in several sensory and sympathetic ganglia of the peripheral nervous system. Moderate expression in many non
-
數據庫鏈接:
Most popular with customers
-
-
YWHAB Recombinant Monoclonal Antibody
Applications: ELISA, WB, IHC, IF, FC
Species Reactivity: Human, Mouse, Rat
-
Phospho-YAP1 (S127) Recombinant Monoclonal Antibody
Applications: ELISA, WB, IHC
Species Reactivity: Human
-
-
-
-
-















