GDF6 Antibody
-
中文名稱:GDF6兔多克隆抗體
-
貨號:CSB-PA245851
-
規格:¥1100
-
圖片:
-
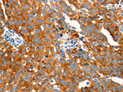
The image on the left is immunohistochemistry of paraffin-embedded Human colon cancer tissue using CSB-PA245851(GDF6 Antibody) at dilution 1/20, on the right is treated with synthetic peptide. (Original magnification: ×200)
-
The image on the left is immunohistochemistry of paraffin-embedded Human ovarian cancer tissue using CSB-PA245851(GDF6 Antibody) at dilution 1/20, on the right is treated with synthetic peptide. (Original magnification: ×200)
-
Gel: 8%SDS-PAGE, Lysate: 40 μg, Lane: Human fetal muscle tissue, Primary antibody: CSB-PA245851(GDF6 Antibody) at dilution 1/300, Secondary antibody: Goat anti rabbit IgG at 1/8000 dilution, Exposure time: 2 minutes
-
-
其他:
產品詳情
-
Uniprot No.:
-
基因名:
-
別名:GDF6 antibody; BMP13 antibody; GDF16Growth/differentiation factor 6 antibody; GDF-6 antibody; Bone morphogenetic protein 13 antibody; BMP-13 antibody; Growth/differentiation factor 16 antibody
-
宿主:Rabbit
-
反應種屬:Human
-
免疫原:Synthetic peptide of Human GDF6
-
免疫原種屬:Homo sapiens (Human)
-
標記方式:Non-conjugated
-
抗體亞型:IgG
-
純化方式:Antigen affinity purification
-
濃度:It differs from different batches. Please contact us to confirm it.
-
保存緩沖液:-20°C, pH7.4 PBS, 0.05% NaN3, 40% Glycerol
-
產品提供形式:Liquid
-
應用范圍:ELISA,WB,IHC
-
推薦稀釋比:
Application Recommended Dilution ELISA 1:1000-1:2000 WB 1:200-1:1000 IHC 1:25-1:100 -
Protocols:
-
儲存條件:Upon receipt, store at -20°C or -80°C. Avoid repeated freeze.
-
貨期:Basically, we can dispatch the products out in 1-3 working days after receiving your orders. Delivery time maybe differs from different purchasing way or location, please kindly consult your local distributors for specific delivery time.
-
用途:For Research Use Only. Not for use in diagnostic or therapeutic procedures.
相關產品
靶點詳情
-
功能:Growth factor that controls proliferation and cellular differentiation in the retina and bone formation. Plays a key role in regulating apoptosis during retinal development. Establishes dorsal-ventral positional information in the retina and controls the formation of the retinotectal map. Required for normal formation of bones and joints in the limbs, skull, digits and axial skeleton. Plays a key role in establishing boundaries between skeletal elements during development. Regulation of GDF6 expression seems to be a mechanism for evolving species-specific changes in skeletal structures. Seems to positively regulate differentiation of chondrogenic tissue through the growth factor receptors subunits BMPR1A, BMPR1B, BMPR2 and ACVR2A, leading to the activation of SMAD1-SMAD5-SMAD8 complex. The regulation of chondrogenic differentiation is inhibited by NOG. Also involved in the induction of adipogenesis from mesenchymal stem cells. This mechanism acts through the growth factor receptors subunits BMPR1A, BMPR2 and ACVR2A and the activation of SMAD1-SMAD5-SMAD8 complex and MAPK14/p38.
-
基因功能參考文獻:
- findings indicate that increased BMP signaling owing to a GDF6 gain-of-function mutation is responsible for loss of joint formation and profound functional impairment in patients with Multiple Synostoses Syndrome 4. PMID: 26643732
- As fetal age increased, the expression of growth differentiation factor 6 was decreased correspondingly with the progress of ossification in vertebral bodies and restricted to cartilaginous regions. PMID: 26184900
- BMP13 has a role in enhancing extracellular matrix accumulation and inducing cell migration in certain intervertebral disc cells PMID: 26134557
- GDF6 is overexpressed in Leri's pleonosteosis. PMID: 24442880
- There was a possible weak association between the rs6982567 near GDF6 and polypoidal choroidal vasculopathy in this replication study with an independent Han Chinese cohort. PMID: 25416513
- Deficiency of gdf6 results in photoreceptor degeneration, so demonstrating a connection between Gdf6 signaling and photoreceptor survival. PMID: 23307924
- a critical role of HTRA1 in the regulation of angiogenesis via TGF-beta signaling and identified GDF6 as a novel disease gene for AMD. PMID: 22049084
- studies show that even though tenogenic (BMP 12 and BMP 13) and osteogenic (BMP2) BMPs bind the same receptors with high affinity they signal much differently and result in differential activation of osteogenic and tenogenic markers PMID: 21702718
- induces ligamentogenic differentiation in mesenchymal progenitors PMID: 20334610
- Observational study of gene-disease association. (HuGE Navigator) PMID: 20734064
- These data suggest a potential role for BMP-13 (the human homologue to GDF-6) in tendon matrix modeling and/or remodeling. PMID: 19492402
- Observational study of gene-disease association. (HuGE Navigator) PMID: 20494911
- The spectrum of disorders generated by morpholino inhibition and the more severe defects (microphthalmia and anophthalmia) observed at higher doses illustrate the key role of GDF6 in ocular development. PMID: 17236135
- Mutation screening of a large and clinically diverse Klippel-Feil syndrome (KFS) cohort has identified GDF6 missense mutations in both familial and sporadic KFS patients. PMID: 18425797
- These data establish the important role of growth differentiation factor 6 in ocular and vertebral development. PMID: 19129173
- BMP-13 inhibited osteogenic differentiation of bone marrow multipotent mesenchymal stromal cells, implying that functional mutations or deficiency of BMP-13 may allow excess bone formation PMID: 19240811
- Observational study of gene-disease association. (HuGE Navigator) PMID: 20057906
- Observational study of gene-disease association. (HuGE Navigator) PMID: 18716610
顯示更多
收起更多
-
相關疾病:Klippel-Feil syndrome 1, autosomal dominant (KFS1); Microphthalmia, isolated, 4 (MCOP4); Leber congenital amaurosis 17 (LCA17)
-
亞細胞定位:Secreted.
-
蛋白家族:TGF-beta family
-
數據庫鏈接:
Most popular with customers
-
-
YWHAB Recombinant Monoclonal Antibody
Applications: ELISA, WB, IHC, IF, FC
Species Reactivity: Human, Mouse, Rat
-
Phospho-YAP1 (S127) Recombinant Monoclonal Antibody
Applications: ELISA, WB, IHC
Species Reactivity: Human
-
-
-
-
-















