GCH1 Antibody
-
中文名稱:GCH1兔多克隆抗體
-
貨號:CSB-PA964562
-
規格:¥1100
-
圖片:
-
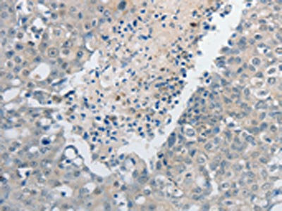
The image on the left is immunohistochemistry of paraffin-embedded Human breast cancer tissue using CSB-PA964562(GCH1 Antibody) at dilution 1/15, on the right is treated with synthetic peptide. (Original magnification: ×200)
-
Gel: 12%SDS-PAGE, Lysate: 60 μg, Lane: Human fetal liver tissue, Primary antibody: CSB-PA964562(GCH1 Antibody) at dilution 1/200, Secondary antibody: Goat anti rabbit IgG at 1/8000 dilution, Exposure time: 15 seconds
-
-
其他:
產品詳情
-
Uniprot No.:
-
基因名:GCH1
-
別名:dystonia 14 antibody; DYT 5 antibody; DYT14 antibody; DYT5 antibody; DYT5a antibody; GCH 1 antibody; GCH antibody; Gch1 antibody; GCH1_HUMAN antibody; GTP CH 1 antibody; GTP CH I antibody; GTP cyclohydrolase 1 (dopa responsive dystonia) antibody; GTP cyclohydrolase 1 antibody; GTP cyclohydrolase I antibody; GTP-CH-I antibody; GTPCH 1 antibody; GTPCH1 antibody; Guanosine 5' triphosphate cyclohydrolase I antibody; HPABH4B antibody
-
宿主:Rabbit
-
反應種屬:Human
-
免疫原:Synthetic peptide of Human GCH1
-
免疫原種屬:Homo sapiens (Human)
-
標記方式:Non-conjugated
-
抗體亞型:IgG
-
純化方式:Antigen affinity purification
-
濃度:It differs from different batches. Please contact us to confirm it.
-
保存緩沖液:-20°C, pH7.4 PBS, 0.05% NaN3, 40% Glycerol
-
產品提供形式:Liquid
-
應用范圍:ELISA,WB,IHC
-
推薦稀釋比:
Application Recommended Dilution ELISA 1:1000-1:5000 WB 1:500-1:2000 IHC 1:5-1:20 -
Protocols:
-
儲存條件:Upon receipt, store at -20°C or -80°C. Avoid repeated freeze.
-
貨期:Basically, we can dispatch the products out in 1-3 working days after receiving your orders. Delivery time maybe differs from different purchasing way or location, please kindly consult your local distributors for specific delivery time.
-
用途:For Research Use Only. Not for use in diagnostic or therapeutic procedures.
相關產品
靶點詳情
-
功能:Positively regulates nitric oxide synthesis in umbilical vein endothelial cells (HUVECs). May be involved in dopamine synthesis. May modify pain sensitivity and persistence. Isoform GCH-1 is the functional enzyme, the potential function of the enzymatically inactive isoforms remains unknown.
-
基因功能參考文獻:
- Study identified 15 patients with GCH1 mutations (15 patients from seven families and five sporadic cases). The patients presented two distinctive phenotypes of juvenile or young-onset dopa-responsive dystonia and Parkinson's disease, which clinically and radiologically shared characteristic features. GCH1 mutations induce the distinctive symptoms among young or middle age at onset. PMID: 29948246
- It is a genetic risk for Parkinson's disease. PMID: 29724574
- One novel mutation of c.679A>G (p.T227A) in GCH1 and 3 known mutations of c.457C>T (p.R153X), c.739G>A (p.G247S), and c.698G>A (p.R227H) in tyrosine hydroxylase (TH) have been found and predicted to be damaging or deleterious. PMID: 29405179
- Our data expand the genotypic spectrum of GCH1 and confirm the broad phenotypic spectrum of GTP cyclohydrolase 1-deficient DOPA-responsive dystonia in the Serbian population PMID: 28958832
- Our results suggest that rs329648 is associated with risk of developing PD in the Han Chinese population. Our findings should be verified in further studies, and they highlight the need for functional studies of MIR4697. PMID: 28380328
- Association analysis indicated that the Tibetan version of GCH1 was significantly associated with multiple physiological traits in Tibetans, including blood nitric oxide concentration, blood oxygen saturation, and hemoglobin concentration. PMID: 28585439
- This study indicates that mutations in GCH1 are rare in late-onset Parkinson disease. PMID: 27185167
- This study shown GCH1 genetic variants for Parkinson's disease are associated with the risk of incident Parkinson's disease in the general population and with impairment in daily functioning in individuals without clinical parkinsonism. PMID: 27269966
- GCH1 variants affect early PD risk through altered dopamine uptake, and aging alters how genetic factors contribute to disease development. PMID: 27871051
- c.550C>T mutation is associated with dopa-responsive dystonia. PMID: 28397219
- This study demonstrated that whole-exome sequencing show reveled GCH1 mutation with early-onset generalized dystonia. PMID: 27666935
- Deletion of GCH1 likely contributes to dopa-responsive dystonia. PMID: 28558098
- High GCH1 expression is associated with esophageal squamous cell carcinoma. PMID: 27826622
- Dopa-responsive dystonia phenotype may have heterogeneous genetic background and may be caused by point mutations or rearrangements in the GCH1 gene as well as in the PARK2 gene. PMID: 27667361
- This study found that rs11158026 (GCH1) is associated with Parkinson disease in Iran population. PMID: 27653855
- No association between the GCH1 pain-protective haplotype and cervical dilation was found, but a previously demonstrated association with increased use of second-line analgesia was confirmed. PMID: 26392364
- GTPCH/Ang-1 interaction in stromal fibroblasts and activation of Tie2 on breast tumor cells could play an important role in supporting breast cancer growth. GTPCH may be an important mechanism of paracrine tumor growth and hence a target for therapy in breast cancer. PMID: 26814432
- suggest that the GCH1 and MIR4697 but not SIPA1L2 and VPS13C are genetic loci influencing risk of Parkinson's disease in Taiwan PMID: 26804608
- The risk of orofacial clefts is associated with variants of the GCH1 gene related to BH4 metabolism. PMID: 26215833
- Exonic deletion in the GCH1 gene only accounted for the etiology in a small percentage of patients with sporadic dopa-responsive dystonia in our Han Chinese cohort. PMID: 26400349
- identified a novel missense variant, c.5A > G, p.(Glu2Gly), within the GCH1 gene in affected family members displaying a range of phenotypes; variant is pathogenic in studied family and may underlie Parkinson's disease and Dopa-responsive dystonia PMID: 25634433
- No association was seen between the pain protective GCH-1 haplotype and the development of hypersensitivity following injury. An increase in baseline pain thresholds was seen between visits in protective haplotype carriers who sensitized to injury. PMID: 25783971
- Postherniotomy pain and related activity impairment was associated with functional variations in GCH1 (and COMT). PMID: 25599448
- This is the first study to report changes in the expression of GTP Cyclohydrolase I of this gene in schizophrenia. PMID: 25270546
- Five polymorphisms forming two haplotype blocks within the GTP cyclohydrolase 1 gene are associated with endothelial dysfunction and oxidative stress. PMID: 25369080
- DYT5 is caused by heterozygous mutations of the GCH1 gene, located on 14q22.1-q22.2[review] PMID: 25192508
- This study supports to the conclusions that susceptibility to idiopathic dystonia is not greatly affected by common genetic variants of GCH1 polynorphisms. PMID: 24674769
- alterations in GCH1 activity affect attentional function, especially sustained attention and vigilance. PMID: 24561090
- Elevated phenylalanine and phenylalanine:tyrosine ratio in the blood of schizophrenia patients which may be a guanosine triphosphate cyclohydrolase-1 metabolic pathway abnormality. PMID: 24465804
- Rare GCH1 variants are associated with an increased risk for Parkinson's disease. PMID: 24993959
- A novel GCH1 gene frameshifing mutation is aooociated with the dopa-responsive dystonia in a Chinese family. PMID: 25119902
- Clinical features and genetic testing results of GCH1 from 19 patients that included 4 families who have been followed-up for up to 25 years were analyzed. PMID: 24018121
- This is the first GCH1 regulatory substitution reported to act at a post-transcriptional level, increasing the list of genetic diseases caused by abnormal translation PMID: 24124602
- The presence of a GCH1 haplotype with high BH4 in populations of African ancestry could explain the association of rs8007267 with sickle cell anemia pain crises. PMID: 24136375
- Current known dystonia genes include those related to dopamine metabolism, transcription factor, cytoskeleton, transport of glucose and sodium ion, etc. PMID: 23782819
- Three novel GTP cyclohydrolase I mutations were identified in familial and sporadic dopa-responsive dystonia patients. PMID: 23762320
- Most GCH1 mutations were found to cluster in two regions of the coding sequence, suggesting the probable existence of mutation hotspot for the first time. PMID: 23211702
- Our study provides evidence that certain GCH1 haplotypes may be protective against susceptibility and pain sensitivity in FM. PMID: 23322459
- Results suggest that GCH1 may predict response to serotonin selective reuptake inhibitors in major depressive disorder in the Japanese population. PMID: 22770721
- No SNPs or haplotypes in GCH1 were associated with pain intensity in a black southern African population with HIV-associated sensory neuropathy. PMID: 23314412
- This study reveled that Three novel mutations in GCH1 gene have been found and are shown to be associated with variable clinical phenotypes mostly within the spectrum of dopa responsive dystonia. PMID: 22373569
- The GCH1 3'-UTR C+243T variant was an independent predictor of worsening long-term outcomes in patients with first-onset ischemic stroke. PMID: 21181356
- Offspring and maternal variation in the GCH1 gene and altered tetrahydrobiopterin biosynthesis may contribute to neural tube defects risk. PMID: 23059057
- GTPCH1 non-covalently interacts with polyubiquitin via an ubiquitin-binding domain. PMID: 22984419
- The results of this study identificated and charactered of a novel 24-kb deletion spanning exon 1 and the 5' regulatory region of GCH1 causing a wide spectrum of motor and nonmotor symptoms in a large Belgian dopa-responsive dystonia family. PMID: 22976901
- The results of this study gave no support to the hypothesis that polymorphism in the GCH1-gene contributes to the etiology of provoked vestibulodynia . PMID: 22971341
- Data indicate that myocardial nitric oxide synthase 1 (NOS1) activity was increased in GCH1 transgenic mice (mGCH1-Tg). PMID: 22798524
- This study found that Modest genotypic associations (P<0.05) were observed for three GCH1 SNPs (rs12147422, rs3759664 and rs10483639) when comparing all cases against controls. PMID: 22172551
- this study reported that 2 children with dopa-responsive dystonia with GTP-cyclohydrolase 1 mutations. PMID: 22068827
- Subsequently, the role of GTP cyclohydrolase 1 in painful HIV-associated sensory neuropathy remains possible. PMID: 22293547
顯示更多
收起更多
-
相關疾病:Hyperphenylalaninemia, BH4-deficient, B (HPABH4B); Dystonia, dopa-responsive (DRD)
-
亞細胞定位:Cytoplasm. Nucleus.
-
蛋白家族:GTP cyclohydrolase I family
-
組織特異性:In epidermis, expressed predominantly in basal undifferentiated keratinocytes and in some but not all melanocytes (at protein level).
-
數據庫鏈接:
Most popular with customers
-
-
Phospho-YAP1 (S127) Recombinant Monoclonal Antibody
Applications: ELISA, WB, IHC
Species Reactivity: Human
-
-
-
-
-
-















