GATM Antibody
-
中文名稱:GATM兔多克隆抗體
-
貨號:CSB-PA009284ESR1HU
-
規格:¥440
-
圖片:
-
Western Blot
Positive WB detected in: THP-1 whole cell lysate(20μg), 293 whole cell lysate(20μg), Mouse Liver tissue lysate(20μg), Mouse Kidney tissue lysate(20μg)
All lanes: GATM antibody at 1:1000
Secondary
Goat polyclonal to rabbit IgG at 1/50000 dilution
Predicted band size: 49, 45 kDa
Observed band size: 49 kDa
Exposure time: 120s -
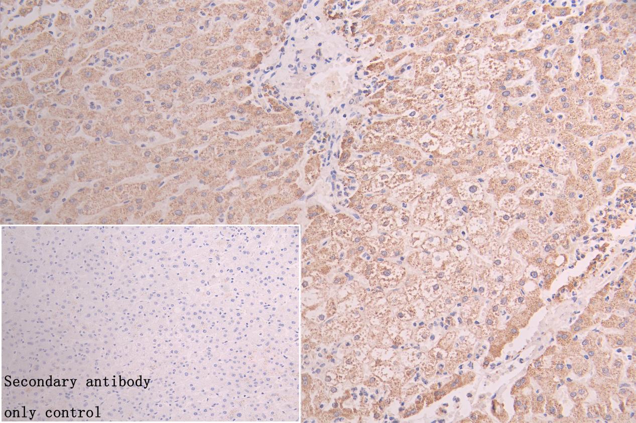
IHC image of CSB-PA009284ESR1HU diluted at 1:300 and staining in paraffin-embedded human liver tissue performed on a Leica BondTM system. After dewaxing and hydration, antigen retrieval was mediated by high pressure in a citrate buffer (pH 6.0). Section was blocked with 10% normal goat serum 30min at RT. Then primary antibody (1% BSA) was incubated at 4°C overnight. The primary is detected by a Goat anti-rabbit polymer IgG labeled by HRP and visualized using 0.05% DAB. Secondary antibody only control: uses 1% BSA instead of primary antibody
-
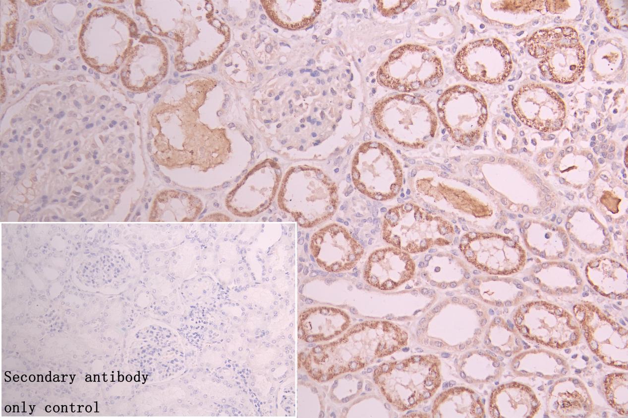
IHC image of CSB-PA009284ESR1HU diluted at 1:300 and staining in paraffin-embedded human kidney tissue performed on a Leica BondTM system. After dewaxing and hydration, antigen retrieval was mediated by high pressure in a citrate buffer (pH 6.0). Section was blocked with 10% normal goat serum 30min at RT. Then primary antibody (1% BSA) was incubated at 4°C overnight. The primary is detected by a Goat anti-rabbit polymer IgG labeled by HRP and visualized using 0.05% DAB. Secondary antibody only control: uses 1% BSA instead of primary antibody
-
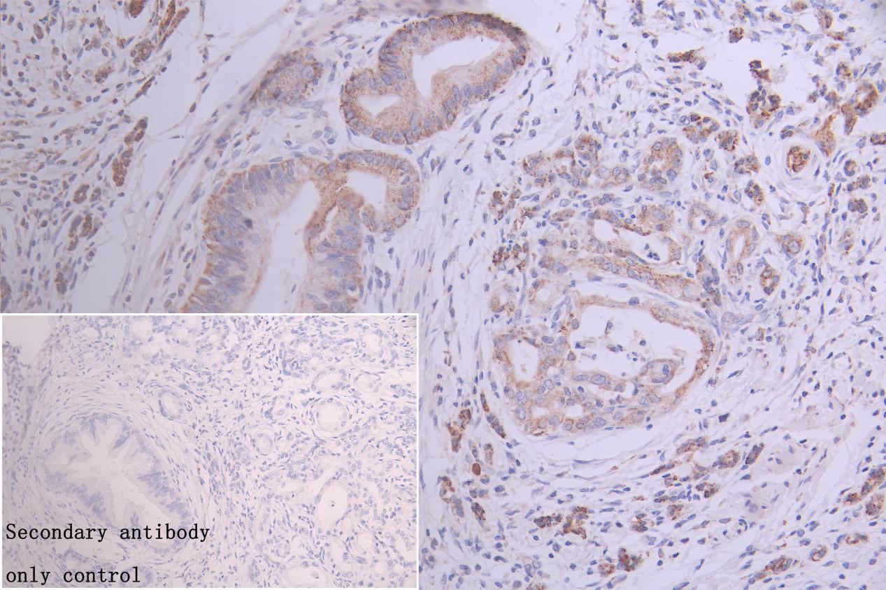
IHC image of CSB-PA009284ESR1HU diluted at 1:300 and staining in paraffin-embedded human pancreatic cancer performed on a Leica BondTM system. After dewaxing and hydration, antigen retrieval was mediated by high pressure in a citrate buffer (pH 6.0). Section was blocked with 10% normal goat serum 30min at RT. Then primary antibody (1% BSA) was incubated at 4°C overnight. The primary is detected by a Goat anti-rabbit polymer IgG labeled by HRP and visualized using 0.05% DAB. Secondary antibody only control: uses 1% BSA instead of primary antibody
-
-
其他:
產品詳情
-
產品名稱:Rabbit anti-Homo sapiens (Human) GATM Polyclonal antibody
-
Uniprot No.:
-
基因名:GATM
-
別名:AGAT antibody; AT antibody; GATM antibody; GATM_HUMAN antibody; Glycine amidinotransferase antibody; Glycine amidinotransferase, mitochondrial antibody; L-arginine:glycine amidinotransferase antibody; mitochondrial antibody; Transamidinase antibody
-
宿主:Rabbit
-
反應種屬:Human, Mouse
-
免疫原:Recombinant Human Glycine amidinotransferase, mitochondrial protein (124-423AA)
-
免疫原種屬:Homo sapiens (Human)
-
標記方式:Non-conjugated
-
克隆類型:Polyclonal
-
抗體亞型:IgG
-
純化方式:Antigen Affinity Purified
-
濃度:It differs from different batches. Please contact us to confirm it.
-
保存緩沖液:PBS with 0.02% sodium azide, 50% glycerol, pH7.3.
-
產品提供形式:Liquid
-
應用范圍:ELISA, WB, IHC
-
推薦稀釋比:
Application Recommended Dilution WB 1:500-1:5000 IHC 1:20-1:200 -
Protocols:
-
儲存條件:Upon receipt, store at -20°C or -80°C. Avoid repeated freeze.
-
貨期:Basically, we can dispatch the products out in 1-3 working days after receiving your orders. Delivery time maybe differs from different purchasing way or location, please kindly consult your local distributors for specific delivery time.
-
用途:For Research Use Only. Not for use in diagnostic or therapeutic procedures.
相關產品
靶點詳情
-
功能:Catalyzes the biosynthesis of guanidinoacetate, the immediate precursor of creatine. Creatine plays a vital role in energy metabolism in muscle tissues. May play a role in embryonic and central nervous system development. May be involved in the response to heart failure by elevating local creatine synthesis.
-
基因功能參考文獻:
- Measurements of creatine and guanidinoacetate in plasma are recommended for the diagnosis of AGAT and GAMT deficiency.Definitive confirmation of the diagnosis requires DNA sequencing of the appropriate gene and (if molecular analysis is ambiguous) measurement of AGAT or GAMT enzyme activity or of CRTR-mediated transport . PMID: 28055022
- Results show the functional characterization of rare missense variants in GATM which cause GATM deficiency. Seven of them report 0% of wild-type GATM activity indicating a putative pathogenicity. PMID: 27233232
- AGAT deficiency is a treatable intellectual disability. PMID: 26490222
- Meta-analysis yielded a marginal, but null, association of GATM rs9806699 with statin-induced myopathy. PMID: 25863251
- Genome-wide association reveals that plasma homoarginine is strongly associated with single nucleotide polymorphisms in the AGAT gene. PMID: 24004504
- promiscuous activity of AGAT, a key enzyme in creatine synthesis, plays a pivotal role in homoarginine synthesis PMID: 23010440
- GATM sequencing revealed a homozygous single nucleotide insertion 1111_1112insA, producing a frame-shift at Met-371 and premature termination at codon 376. PMID: 20682460
- AGAT mRNA expression was significantly elevated in all heart failure patients and returned to normal levels after recovery, suggesting a specific response to heart failure involving elevated local creatine synthesis. PMID: 16820567
顯示更多
收起更多
-
相關疾病:Cerebral creatine deficiency syndrome 3 (CCDS3)
-
亞細胞定位:[Isoform 1]: Mitochondrion inner membrane; Peripheral membrane protein; Intermembrane side. Note=Probably attached to the outer side of the inner membrane.; [Isoform 2]: Cytoplasm.
-
蛋白家族:Amidinotransferase family
-
組織特異性:Expressed in brain, heart, kidney, liver, lung, salivary gland and skeletal muscle tissue, with the highest expression in kidney. Biallelically expressed in placenta and fetal tissues.
-
數據庫鏈接:
Most popular with customers
-
-
YWHAB Recombinant Monoclonal Antibody
Applications: ELISA, WB, IHC, IF, FC
Species Reactivity: Human, Mouse, Rat
-
Phospho-YAP1 (S127) Recombinant Monoclonal Antibody
Applications: ELISA, WB, IHC
Species Reactivity: Human
-
-
-
-
-















