GATAD2B Antibody
-
中文名稱:GATAD2B兔多克隆抗體
-
貨號:CSB-PA823905LA01HU
-
規格:¥440
-
圖片:
-
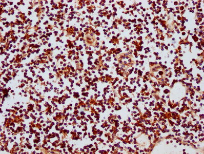
IHC image of CSB-PA823905LA01HU diluted at 1:400 and staining in paraffin-embedded human placenta tissue performed on a Leica BondTM system. After dewaxing and hydration, antigen retrieval was mediated by high pressure in a citrate buffer (pH 6.0). Section was blocked with 10% normal goat serum 30min at RT. Then primary antibody (1% BSA) was incubated at 4°C overnight. The primary is detected by a biotinylated secondary antibody and visualized using an HRP conjugated SP system.
-
IHC image of CSB-PA823905LA01HU diluted at 1:400 and staining in paraffin-embedded human lymph node tissue performed on a Leica BondTM system. After dewaxing and hydration, antigen retrieval was mediated by high pressure in a citrate buffer (pH 6.0). Section was blocked with 10% normal goat serum 30min at RT. Then primary antibody (1% BSA) was incubated at 4°C overnight. The primary is detected by a biotinylated secondary antibody and visualized using an HRP conjugated SP system.
-
-
其他:
產品詳情
-
產品名稱:Rabbit anti-Homo sapiens (Human) GATAD2B Polyclonal antibody
-
Uniprot No.:
-
基因名:GATAD2B
-
別名:FLJ37346 antibody; GATA zinc finger domain containing 2B antibody; GATA zinc finger domain containing protein 2B antibody; GATA zinc finger domain-containing protein 2B antibody; GATAD2B antibody; KIAA1150 antibody; MGC138257 antibody; MGC138285 antibody; mKIAA1150 antibody; p66/p68 antibody; P66B_HUMAN antibody; P66beta antibody; RGD1308533 antibody; transcription repressor p66 beta component of the MeCP1 complex antibody; Transcriptional repressor p66 beta antibody; Transcriptional repressor p66-beta antibody
-
宿主:Rabbit
-
反應種屬:Human
-
免疫原:Recombinant Human Transcriptional repressor p66-beta protein (58-146AA)
-
免疫原種屬:Homo sapiens (Human)
-
標記方式:Non-conjugated
本頁面中的產品,GATAD2B Antibody (CSB-PA823905LA01HU),的標記方式是Non-conjugated。對于GATAD2B Antibody,我們還提供其他標記。見下表:
-
克隆類型:Polyclonal
-
抗體亞型:IgG
-
純化方式:>95%, Protein G purified
-
濃度:It differs from different batches. Please contact us to confirm it.
-
保存緩沖液:Preservative: 0.03% Proclin 300
Constituents: 50% Glycerol, 0.01M PBS, pH 7.4 -
產品提供形式:Liquid
-
應用范圍:ELISA, IHC
-
推薦稀釋比:
Application Recommended Dilution IHC 1:200-1:500 -
Protocols:
-
儲存條件:Upon receipt, store at -20°C or -80°C. Avoid repeated freeze.
-
貨期:Basically, we can dispatch the products out in 1-3 working days after receiving your orders. Delivery time maybe differs from different purchasing way or location, please kindly consult your local distributors for specific delivery time.
-
用途:For Research Use Only. Not for use in diagnostic or therapeutic procedures.
相關產品
靶點詳情
-
功能:Transcriptional repressor. Enhances MBD2-mediated repression. Efficient repression requires the presence of GATAD2A. Targets MBD3 to discrete loci in the nucleus. May play a role in synapse development.
-
基因功能參考文獻:
- GATAD2B interacts with C-MYC to enhance KRAS driven tumor growth. PMID: 30013058
- This data suggests that 1q21.3 microdeletion is a recurrent microdeletion syndrome with distinguishable phenotypes, and loss of function of GATAD2B is the major contributor of the characteristic facies and ID. PMID: 28211977
- findings suggest that GATAD2B serves as an important mediator of progesterone-progesterone receptor suppression of proinflammatory and contractile genes during pregnancy; decreased GATAD2B expression near term may contribute to the decline in progesterone receptor function, leading to labor PMID: 28576827
- This is the first report of GATAD2B in Chinese ID patients. Our findings will broaden the spectrum of GATAD2B mutations and facilitate genetic diagnosis and counseling. PMID: 28077840
- p66beta might be important for the regulation of LOX in the nucleus. PMID: 25118846
- Detailed clinical description showed that all four individuals with a GATAD2B aberration had a distinctive phenotype with childhood hypotonia, severe intellectual disability. PMID: 23644463
- identification as potent transcriptional repressors interacting with MBD2 and MBD3 PMID: 12183469
顯示更多
收起更多
-
相關疾病:Mental retardation, autosomal dominant 18 (MRD18)
-
亞細胞定位:Nucleus speckle.
-
組織特異性:Widely expressed.
-
數據庫鏈接:
Most popular with customers
-
-
YWHAB Recombinant Monoclonal Antibody
Applications: ELISA, WB, IHC, IF, FC
Species Reactivity: Human, Mouse, Rat
-
Phospho-YAP1 (S127) Recombinant Monoclonal Antibody
Applications: ELISA, WB, IHC
Species Reactivity: Human
-
-
-
-
-















