GATAD2A Antibody
-
中文名稱:GATAD2A兔多克隆抗體
-
貨號:CSB-PA803156LA01HU
-
規格:¥440
-
圖片:
-
Western Blot
Positive WB detected in: Hela whole cell lysate, K562 whole cell lysate, 293 whole cell lysate, HL60 whole cell lysate, MCF-7 whole cell lysate, Rat stomach tissue
All lanes: GATAD2A antibody at 2.9μg/ml
Secondary
Goat polyclonal to rabbit IgG at 1/50000 dilution
Predicted band size: 69, 66 kDa
Observed band size: 69 kDa -
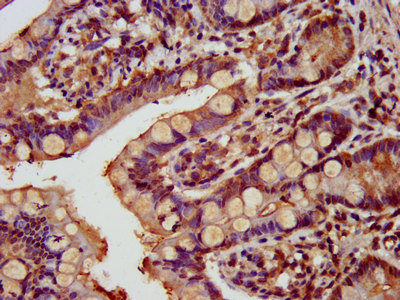
IHC image of CSB-PA803156LA01HU diluted at 1:800 and staining in paraffin-embedded human small intestine tissue performed on a Leica BondTM system. After dewaxing and hydration, antigen retrieval was mediated by high pressure in a citrate buffer (pH 6.0). Section was blocked with 10% normal goat serum 30min at RT. Then primary antibody (1% BSA) was incubated at 4°C overnight. The primary is detected by a biotinylated secondary antibody and visualized using an HRP conjugated SP system.
-
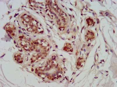
IHC image of CSB-PA803156LA01HU diluted at 1:800 and staining in paraffin-embedded human breast cancer performed on a Leica BondTM system. After dewaxing and hydration, antigen retrieval was mediated by high pressure in a citrate buffer (pH 6.0). Section was blocked with 10% normal goat serum 30min at RT. Then primary antibody (1% BSA) was incubated at 4°C overnight. The primary is detected by a biotinylated secondary antibody and visualized using an HRP conjugated SP system.
-
-
其他:
產品詳情
-
產品名稱:Rabbit anti-Homo sapiens (Human) GATAD2A Polyclonal antibody
-
Uniprot No.:
-
基因名:GATAD2A
-
別名:FLJ20085 antibody; FLJ21017 antibody; GATA zinc finger domain containing 2A antibody; GATA zinc finger domain containing protein 2A antibody; GATA zinc finger domain-containing protein 2A antibody; GATAD2A antibody; Hp66 alpha antibody; Hp66alpha antibody; OTTHUMP00000201911 antibody; OTTHUMP00000201912 antibody; P66 alpha antibody; P66A_HUMAN antibody; p66alpha antibody; Transcriptional repressor p66 alpha antibody; Transcriptional repressor p66-alpha antibody; Transcriptional repressor p66alpha antibody
-
宿主:Rabbit
-
反應種屬:Human, Rat
-
免疫原:Recombinant Human Transcriptional repressor p66-alpha protein (170-241AA)
-
免疫原種屬:Homo sapiens (Human)
-
標記方式:Non-conjugated
本頁面中的產品,GATAD2A Antibody (CSB-PA803156LA01HU),的標記方式是Non-conjugated。對于GATAD2A Antibody,我們還提供其他標記。見下表:
-
克隆類型:Polyclonal
-
抗體亞型:IgG
-
純化方式:>95%, Protein G purified
-
濃度:It differs from different batches. Please contact us to confirm it.
-
保存緩沖液:Preservative: 0.03% Proclin 300
Constituents: 50% Glycerol, 0.01M PBS, pH 7.4 -
產品提供形式:Liquid
-
應用范圍:ELISA, WB, IHC
-
推薦稀釋比:
Application Recommended Dilution WB 1:500-1:5000 IHC 1:500-1:1000 -
Protocols:
-
儲存條件:Upon receipt, store at -20°C or -80°C. Avoid repeated freeze.
-
貨期:Basically, we can dispatch the products out in 1-3 working days after receiving your orders. Delivery time maybe differs from different purchasing way or location, please kindly consult your local distributors for specific delivery time.
-
用途:For Research Use Only. Not for use in diagnostic or therapeutic procedures.
相關產品
靶點詳情
-
功能:Transcriptional repressor. Enhances MBD2-mediated repression. Efficient repression requires the presence of GATAD2B.
-
基因功能參考文獻:
- The MYND domain of ZMYND8 directly interacts with PPPLPhi motifs in the NuRD subunit GATAD2A. PMID: 27732854
- Results showed that suppression of GATAD2A attenuated thyroid cancer cell proliferation and colony formation and promoted apoptosis suggesting it as an essential factor in thyroid cancer cell pathogenesis. PMID: 28260108
-
亞細胞定位:Nucleus speckle.
-
組織特異性:Ubiquitous, both in fetal and adult tissues.
-
數據庫鏈接:
Most popular with customers
-
YWHAB Recombinant Monoclonal Antibody
Applications: ELISA, WB, IHC, IF, FC
Species Reactivity: Human, Mouse, Rat
-
Phospho-YAP1 (S127) Recombinant Monoclonal Antibody
Applications: ELISA, WB, IHC
Species Reactivity: Human
-
-
-
-
-
-















