GALK1 Antibody
-
中文名稱:GALK1兔多克隆抗體
-
貨號:CSB-PA073623
-
規格:¥1100
-
圖片:
-
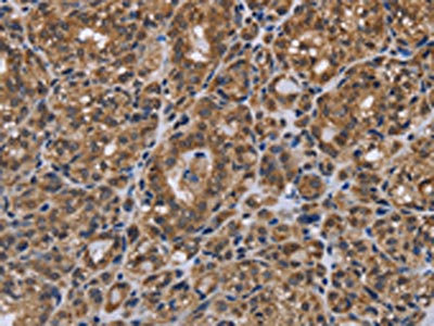
The image on the left is immunohistochemistry of paraffin-embedded Human thyroid cancer tissue using CSB-PA073623(GALK1 Antibody) at dilution 1/40, on the right is treated with fusion protein. (Original magnification: ×200)
-
The image on the left is immunohistochemistry of paraffin-embedded Human brain tissue using CSB-PA073623(GALK1 Antibody) at dilution 1/40, on the right is treated with fusion protein. (Original magnification: ×200)
-
Gel: 8%SDS-PAGE, Lysate: 40 μg, Lane: Human fetal liver tissue, Primary antibody: CSB-PA073623(GALK1 Antibody) at dilution 1/450, Secondary antibody: Goat anti rabbit IgG at 1/8000 dilution, Exposure time: 30 seconds
-
-
其他:
產品詳情
-
Uniprot No.:
-
基因名:GALK1
-
別名:EC 2.7.1.6 antibody; epididymis secretory protein Li 19 antibody; Galactokinase 1 antibody; Galactokinase antibody; Galactose kinase antibody; GALK 1 antibody; GALK antibody; GALK1 antibody; GALK1_HUMAN antibody; GK1 antibody; GLK antibody; GLK1 antibody; HEL-S-19 antibody
-
宿主:Rabbit
-
反應種屬:Human,Mouse
-
免疫原:Fusion protein of Human GALK1
-
免疫原種屬:Homo sapiens (Human)
-
標記方式:Non-conjugated
-
抗體亞型:IgG
-
純化方式:Antigen affinity purification
-
濃度:It differs from different batches. Please contact us to confirm it.
-
保存緩沖液:-20°C, pH7.4 PBS, 0.05% NaN3, 40% Glycerol
-
產品提供形式:Liquid
-
應用范圍:ELISA,WB,IHC
-
推薦稀釋比:
Application Recommended Dilution ELISA 1:2000-1:5000 WB 1:500-1:2000 IHC 1:50-1:200 -
Protocols:
-
儲存條件:Upon receipt, store at -20°C or -80°C. Avoid repeated freeze.
-
貨期:Basically, we can dispatch the products out in 1-3 working days after receiving your orders. Delivery time maybe differs from different purchasing way or location, please kindly consult your local distributors for specific delivery time.
-
用途:For Research Use Only. Not for use in diagnostic or therapeutic procedures.
相關產品
靶點詳情
-
功能:Major enzyme for galactose metabolism.
-
基因功能參考文獻:
- Mutation in the GALK gene is associated with mental disorders in galactosemia. PMID: 28672748
- The GALK1 gene was included in this interval and direct sequencing. PMID: 24211322
- Data indicate taht the interactions between galactokinase (GALK) and its potential inhibitors by molecular dynamics simulations. PMID: 23517731
- The study highlighted the importance of GALK gene analysis in diagnosis of galactosemia in Indian population. PMID: 22632133
- A possible mechanism for the unfolding caused by the Pro(28)Thr point mutation of human galactokinase. PMID: 21264483
- Pathogenic mutations in GALK1 that are responsible for autosomal recessive congenital cataracts in consanguineous Pakistani families, are reported. PMID: 20405025
- 2 new GALK1 mutations near the ATP-binding site were found in a homozygotic Turkish immigrant: S142I and G148C. PMID: 11978883
- a functional analysis of disease-causing mutations in this enzyme PMID: 12694189
- In this northern Italian population age-related cataract does not appear to be associated with GALK1 alleles. PMID: 12942049
- structure and function of galactokinase, and role in type II galactosemia [review] PMID: 15526155
- active site geometry of this enzyme upon which to more fully understand the consequences of the those mutations known to give rise to Type II galactosemia. PMID: 15590630
- Mutations in GALK1 resulted in reduction of GALK activity and caused GALK deficiency. PMID: 17517531
- These results suggest that the elevated GALK1 activity resulted from enhanced gene expression, due to nucleotide variation within GALK1 promoter PMID: 19309526
- Structure of the human enzyme complexed with MgAMP.PNP and galactose PMID: 15590630
- The disease-causing point mutations in the human enzyme are mapped onto the structure of the protein from Pyrococcus furiosus and speculations made about the structural consequences. PMID: 15003454
- 2-deoxy-D-galactose is a substrate for this enzyme. D-glucose, D-fucose, L-arabinose and N-acetyl-D-galactosamine are not. Mutations H44A, H44I, E43G/H44I are insoluble, D46A is inactive, E43G has reduced activity and E43A has wild-type activity. PMID: 14596685
- Has ordered ternary complex mechanism with ATP being the first substrate to bind. PMID: 12694189
顯示更多
收起更多
-
相關疾?。?/div>Galactosemia II (GALCT2)蛋白家族:GHMP kinase family, GalK subfamily數據庫鏈接:
Most popular with customers
-
YWHAB Recombinant Monoclonal Antibody
Applications: ELISA, WB, IHC, IF, FC
Species Reactivity: Human, Mouse, Rat
-
Phospho-YAP1 (S127) Recombinant Monoclonal Antibody
Applications: ELISA, WB, IHC
Species Reactivity: Human
-
-
-
-
-
-















