GADD45G Antibody
-
中文名稱:GADD45G兔多克隆抗體
-
貨號:CSB-PA009164DSR1HU
-
規格:¥440
-
圖片:
-
Western Blot
Positive WB detected in: SY5Y whole cell lysate(30μg),MCF7 whole cell lysate(30μg), HT29 whole cell lysate(30μg), A431 whole cell lysate(30μg), K562 whole cell lysate(30μg), 293 whole cell lysate(30μg),BxPC-3 whole cell lysate(30μg),786-O whole cell lysate(30μg),Rat Heart tissue lysate(30μg)
All lanes: GADD45G antibody at 1:1000
Secondary
Goat polyclonal to rabbit IgG at 1/40000 dilution
Predicted band size: 18 kDa
Observed band size: 18 kDa
Exposure time: 120s -
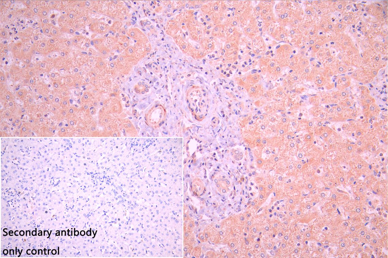
IHC image of CSB-PA009164DSR1HU diluted at 1:50 and staining in paraffin-embedded human Liver tissue performed on a Leica BondTM system. After dewaxing and hydration, antigen retrieval was mediated by high pressure in a citrate buffer (pH 6.0). Section was blocked with 10% normal goat serum 30min at RT. Then primary antibody (1% BSA) was incubated at 4°C overnight. The primary is detected by a Goat anti-rabbit polymer IgG labeled by HRP and visualized using 0.05% DAB. Secondary antibody only control: uses 1% BSA instead of primary antibody
-
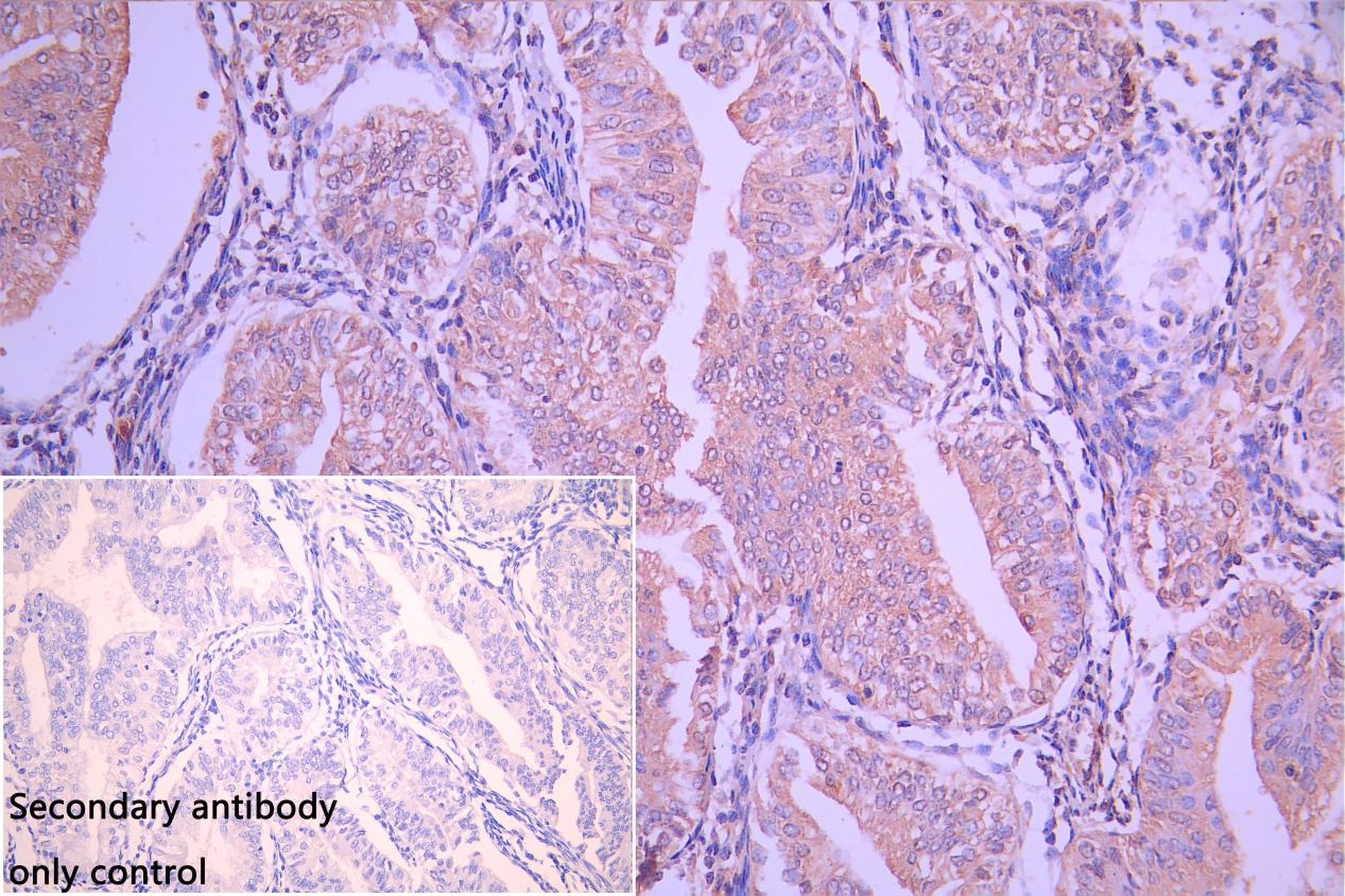
IHC image of CSB-PA009164DSR1HU diluted at 1:50 and staining in paraffin-embedded human endometrial cancer performed on a Leica BondTM system. After dewaxing and hydration, antigen retrieval was mediated by high pressure in a citrate buffer (pH 6.0). Section was blocked with 10% normal goat serum 30min at RT. Then primary antibody (1% BSA) was incubated at 4°C overnight. The primary is detected by a Goat anti-rabbit polymer IgG labeled by HRP and visualized using 0.05% DAB. Secondary antibody only control: uses 1% BSA instead of primary antibody
-
Immunofluorescence staining of A549 cell with CSB-PA009164DSR1HU at 1:30, counter-stained with DAPI. The cells were fixed in 4% formaldehyde and and permeated by 0.2% TritonX-100 for 15 min. Then 10% normal goat serum to block non-specific protein-protein interactions . The cells were then incubated with the antibody overnight at 4℃. The secondary antibody was Alexa Fluor 488-congugated AffiniPure Goat Anti-Rabbit IgG(H+L).
-
Immunofluorescence staining of A549 cell with 5% goat serum, counter-stained with DAPI. The cells were fixed in 4% formaldehyde and blocked in 10% normal Goat Serum. The cells were then incubated with the antibody overnight at 4C. The secondary antibody was Alexa Fluor 488-congugated AffiniPure Goat Anti-Rabbit IgG(H+L).
-
Immunofluorescence staining of U251 cell with CSB-PA009164DSR1HU at 1:30, counter-stained with DAPI. The cells were fixed in 4% formaldehyde and and permeated by 0.2% TritonX-100 for 15 min. Then 10% normal goat serum to block non-specific protein-protein interactions . The cells were then incubated with the antibody overnight at 4℃. The secondary antibody was Alexa Fluor 488-congugated AffiniPure Goat Anti-Rabbit IgG(H+L).
-
Immunofluorescence staining of U251 cell with 5% goat serum, counter-stained with DAPI. The cells were fixed in 4% formaldehyde and blocked in 10% normal Goat Serum. The cells were then incubated with the antibody overnight at 4C. The secondary antibody was Alexa Fluor 488-congugated AffiniPure Goat Anti-Rabbit IgG(H+L).
-
-
其他:
產品詳情
-
產品名稱:Rabbit anti-Homo sapiens (Human) GADD45G Polyclonal antibody
-
Uniprot No.:
-
基因名:
-
別名:CR6 antibody; Cytokine responsive protein CR6 antibody; Cytokine-responsive protein CR6 antibody; DDIT-2 antibody; DDIT2 antibody; DNA damage-inducible transcript 2 protein antibody; GA45G_HUMAN antibody; Gadd45g antibody; Growth arrest and DNA damage inducible gamma antibody; Growth arrest and DNA damage-inducible protein GADD45 gamma antibody; GRP17 antibody
-
宿主:Rabbit
-
反應種屬:Human, Rat
-
免疫原:Recombinant Human Growth arrest and DNA damage-inducible protein GADD45 gamma protein (1-159AA)
-
免疫原種屬:Homo sapiens (Human)
-
標記方式:Non-conjugated
-
克隆類型:Polyclonal
-
抗體亞型:IgG
-
純化方式:>95%, Protein G purified
-
濃度:It differs from different batches. Please contact us to confirm it.
-
保存緩沖液:Preservative: 0.03% Proclin 300
Constituents: 50% Glycerol, 0.01M PBS, PH 7.4 -
產品提供形式:Liquid
-
應用范圍:ELISA, WB, IHC, IF
-
推薦稀釋比:
Application Recommended Dilution WB 1:1000-1:5000 IHC 1:20-1:200 IF 1:20-1:100 -
Protocols:
-
儲存條件:Upon receipt, store at -20°C or -80°C. Avoid repeated freeze.
-
貨期:Basically, we can dispatch the products out in 1-3 working days after receiving your orders. Delivery time maybe differs from different purchasing way or location, please kindly consult your local distributors for specific delivery time.
-
用途:For Research Use Only. Not for use in diagnostic or therapeutic procedures.
相關產品
靶點詳情
-
功能:Involved in the regulation of growth and apoptosis. Mediates activation of stress-responsive MTK1/MEKK4 MAPKKK.
-
基因功能參考文獻:
- In an Eastern Chinese population, carriers of GADD45G rs8252T variant genotypes had a significantly lower risk of NSCLC. rs8252 variant CT/TT carriers showed significantly higher levels of GADD45G mRNA expression than CC carriers in the target tissues. There was some evidence of interactions between rs8252 genotypes and sex in NSCLC risk. PMID: 27861856
- In contrast to solid tumors, in DLBCL, the frequency of GADD45gamma methylation is higher and may be associated with progression. Nodal involvement is more likely to be present in patients with unmethylated GADD45gamma. PMID: 25912017
- PAX5 was found to be an epigenetically inactivated tumor suppressor that inhibited non-small-cell lung proliferation and metastasis, through down-regulating the beta-catenin pathway and up-regulating GADD45G expression. PMID: 26843424
- GADD45G protein, human PMID: 26521045
- Results establish that the dowregulation of GADD45G-SIP1 axis may contribute to cellular senescence evasion and HCC development. PMID: 26378039
- we demonstrated that GADD45gamma expression in hepatocellular carcinoma cells was associated with sorafenib sensitivity PMID: 26172295
- demonstrate for the first time that miR-383 can specifically regulates the expression of Gadd45g by directly targeting to the 3-UTR region of Gadd45g mRNA, a regulatory process conserved in human tumor cells and mouse embryonic stem cells PMID: 25415264
- Expression of GADD45gamma was significantly higher in pituitary adenomas of female patients. PMID: 25126861
- Suggest that cucurbitacin E induced mitosis delay is regulated by GADD45gamma overexpression in malignant gliomas. PMID: 24577085
- GADD45G functions as a negative regulator of the Jak-Stat3 pathway and inhibits hepatocellular carcinoma by inducing cellular senescence. PMID: 23897841
- The gadd45g gene has both tumor suppressor and tumor promoter functions, dependent on the tissue/cell type and transforming event. (Review) PMID: 24104471
- Decreased expression and aberrant methylation of Gadd45G is associated with tumor progression in esophageal squamous cell carcinoma. PMID: 23793925
- Methylation-mediated repression of GADD45G expression is associated with gastric cardia adenocarcinoma. PMID: 23616123
- In addition, eight genes classified as 'second tier' hits in the original study (PAX7, THADA, COL8A1/FILIP1L, DCAF4L2, GADD45G, NTN1, RBFOX3 and FOXE1) showed evidence of linkage and association in this replication sample. PMID: 23512105
- Knock-down of GADD45gamma significantly attenuates TNF-a and IL-6 production in the human monocyte-macrophage THP-1 cell line as well as in human peripheral blood mononuclear cells PMID: 22752116
- clinically non-functioning adenomas had a significant decrease (P<0.001) in the relative levels of GADD45c expression (13 of 14 adenomas or 92%), compared to functioning adenomas (11 of 24 or 46%) PMID: 21850407
- Data show that mda-7/IL-24 activation leads to upregulation of growth arrest and DNA damage inducible (GADD) 45 alpha and gamma and JNK activation. PMID: 21931671
- These results reveal the mechanism of self-association by Gadd45 proteins and the importance of this self-association for their biological function PMID: 22058036
- The induction of GADD45gamma gene expression by 1,25-(OH)2D3 may mark therapeutic response in prostate cancer. PMID: 20739400
- Epigenetic regulation of GADD45G is associated with carcinogenesis in stomach, colorectal and pancreateic cancers. PMID: 20111973
- Flow cytometric analysis revealed significant G2/M arrest in cells transfected with either Gadd45alpha or Gadd45gamma. Importantly, we found that expression of either Gadd45alpha or Gadd45gamma activated P38 and JNK kinase pathways to induce G2/M arrest. PMID: 19048389
- a powerful growth suppressor controlling pituitary cell proliferation and the first identified gene whose expression is lost in the majority of human pituitary tumors. PMID: 11889197
- results suggest that CRIF1 is a novel nuclear protein that interacts with Gadd45 and may play a role in negative regulation of cell cycle progression and cell growth PMID: 12716909
- Data show that GADD45 gamma mRNA expression is down-regulated in hepatocellular carcinoma, and that GADD45 gamma causes cell cycle arrest at G2/M transition when transfected into Hep-G2 cells. PMID: 14672412
- GADD45g induction by androgens requires new protein synthesis; overexpression of GADD45g inhibited cell growth and caused morphological changes in prostate cell lines, arguing that GADD45g is involved in differentiation induced by androgens PMID: 15062559
- Inhibition of GADD45alpha and gamma in cancer cells by small interfering RNA abrogates apoptosis induction by the inhibitor of NF-kappaB PMID: 15353598
- Results show that GADD45G can act as a functional new-age tumor suppressor but being frequently inactivated epigenetically in multiple tumors. PMID: 16166418
- Establish MDA-7/IL-24 and GADD45alpha and GADD45gamma as critical mediators of apoptosis and growth arrest in response to NSAIDs in cancer cells. PMID: 17178890
- Human Gadd45gamma and its selenomethionine derivative were expressed in an Escherichia coli expression system and purified; they were then crystallized using the hanging-drop vapour-diffusion method. PMID: 18997345
- urinary GADD45gamma expression is associated with progression of renal disease PMID: 19293565
顯示更多
收起更多
-
蛋白家族:GADD45 family
-
數據庫鏈接:
Most popular with customers
-
-
YWHAB Recombinant Monoclonal Antibody
Applications: ELISA, WB, IHC, IF, FC
Species Reactivity: Human, Mouse, Rat
-
Phospho-YAP1 (S127) Recombinant Monoclonal Antibody
Applications: ELISA, WB, IHC
Species Reactivity: Human
-
-
-
-
-















