GABPA Antibody
-
中文名稱:GABPA兔多克隆抗體
-
貨號:CSB-PA22769A0Rb
-
規格:¥440
-
圖片:
-
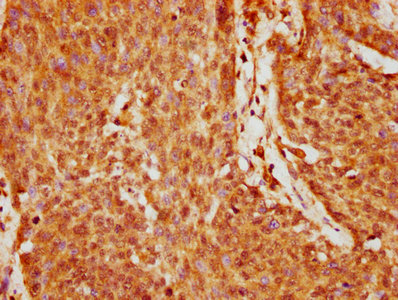
IHC image of CSB-PA22769A0Rb diluted at 1:200 and staining in paraffin-embedded human glioma performed on a Leica BondTM system. After dewaxing and hydration, antigen retrieval was mediated by high pressure in a citrate buffer (pH 6.0). Section was blocked with 10% normal goat serum 30min at RT. Then primary antibody (1% BSA) was incubated at 4°C overnight. The primary is detected by a biotinylated secondary antibody and visualized using an HRP conjugated SP system.
-
IHC image of CSB-PA22769A0Rb diluted at 1:200 and staining in paraffin-embedded human cervical cancer performed on a Leica BondTM system. After dewaxing and hydration, antigen retrieval was mediated by high pressure in a citrate buffer (pH 6.0). Section was blocked with 10% normal goat serum 30min at RT. Then primary antibody (1% BSA) was incubated at 4°C overnight. The primary is detected by a biotinylated secondary antibody and visualized using an HRP conjugated SP system.
-
Immunofluorescence staining of Hela cells with CSB-PA22769A0Rb at 1:67, counter-stained with DAPI. The cells were fixed in 4% formaldehyde, permeabilized using 0.2% Triton X-100 and blocked in 10% normal Goat Serum. The cells were then incubated with the antibody overnight at 4°C. The secondary antibody was Alexa Fluor 488-congugated AffiniPure Goat Anti-Rabbit IgG(H+L).
-
-
其他:
產品詳情
-
產品名稱:Rabbit anti-Homo sapiens (Human) GABPA Polyclonal antibody
-
Uniprot No.:
-
基因名:
-
別名:E4TF 1A antibody; E4TF1 60 antibody; E4TF1A antibody; GA binding protein alpha chain antibody; GA binding protein transcription factor alpha subunit 60kDa antibody; GA binding protein transcription factor alpha subunit antibody; GA-binding protein alpha chain antibody; GABP A antibody; GABP alpha subunit antibody; GABP subunit alpha antibody; Gabpa antibody; GABPA_HUMAN antibody; Human nuclear respiratory factor 2 subunit alpha antibody; NFT 2 antibody; NFT2 antibody; NRF 2 antibody; NRF 2A antibody; NRF2 antibody; NRF2A antibody; Nuclear respiratory factor 2 alpha subunit antibody; Nuclear respiratory factor 2 subunit alpha antibody; RCH04A07 antibody; Transcription factor E4TF1 60 antibody; Transcription factor E4TF1-60 antibody
-
宿主:Rabbit
-
反應種屬:Human
-
免疫原:Recombinant Human GA-binding protein alpha chain protein (268-372AA)
-
免疫原種屬:Homo sapiens (Human)
-
標記方式:Non-conjugated
本頁面中的產品,GABPA Antibody (CSB-PA22769A0Rb),的標記方式是Non-conjugated。對于GABPA Antibody,我們還提供其他標記。見下表:
-
克隆類型:Polyclonal
-
抗體亞型:IgG
-
純化方式:>95%, Protein G purified
-
濃度:It differs from different batches. Please contact us to confirm it.
-
保存緩沖液:Preservative: 0.03% Proclin 300
Constituents: 50% Glycerol, 0.01M PBS, pH 7.4 -
產品提供形式:Liquid
-
應用范圍:ELISA, IHC, IF
-
推薦稀釋比:
Application Recommended Dilution IHC 1:200-1:500 IF 1:50-1:200 -
Protocols:
-
儲存條件:Upon receipt, store at -20°C or -80°C. Avoid repeated freeze.
-
貨期:Basically, we can dispatch the products out in 1-3 working days after receiving your orders. Delivery time maybe differs from different purchasing way or location, please kindly consult your local distributors for specific delivery time.
-
用途:For Research Use Only. Not for use in diagnostic or therapeutic procedures.
相關產品
靶點詳情
-
功能:Transcription factor capable of interacting with purine rich repeats (GA repeats). Necessary for the expression of the Adenovirus E4 gene.
-
基因功能參考文獻:
- Data indicate the essential role of the GABP transcription factor in activating translocase of inner mitochondrial membrane 23 TIMM23 and TIMM23B expression. PMID: 29413900
- Collectively, our data indicate that GABPA inhibits hepatocellular carcinoma cell migration and could serve as a novel biomarker for prognosis PMID: 28549418
- CRISPR-mediated reversal of mutant TERT promoters, or deletion of its long-range interacting chromatin, abrogates GABPA binding and long-range interactions, leading to depletion of active histone marks, loss of POL2 recruitment, and suppression of TERT transcription PMID: 27650951
- potential mechanism of TERT reactivation mediated by a novel long-range chromatin interaction between the TERT promoter on chromosome 5p and a 300-kb upstream region. This permits recruitment of the transcription factor GABPA in mutant TERT promoters but not in wild-type promoters. PMID: 27807101
- a key role for GABPA/B1 as the critical ETS transcription factors deregulating SDHD expression in the context of highly recurrent promoter mutations in melanoma. PMID: 28108517
- Analyses of data sets link GABPa to cognitive disorders, diabetes, KRAB zinc finger (KRAB-ZNF), and human-specific genes. PMID: 26814189
- ELF1 binding occurs at both TERT promoter mutations in melanoma in vitro such that increased recruitment of GABP is enabled by the spatial architecture of native and novel ETS motifs in the TERT promoter region. PMID: 26553150
- The results suggest that NRF-2alpha is a regulator of SIRT3 expression and may shed light on how SIRT3 is upregulated during nutrient stress. PMID: 26109058
- GABPalpha Binding to Overlapping ETS and CRE DNA Motifs Is Enhanced by CREB1 PMID: 26185160
- study supports the crucial role of GABP in myeloid cell differentiation and identified ITGAM/CD11b as a novel GABP target gene PMID: 26170143
- GABPA thus directly links TERT promoter mutations to aberrant expression in multiple cancers. PMID: 25977370
- GABPA exhibits an increase in binding signal with higher numbers of ETS motifs per promoter. Analysis of the distance between inverted pairs of ETS motifs within promoters and binding by p53, ETS1 and GABPA, shows a coordination of binding for the 3. PMID: 24481480
- results demonstrate the functional importance of the C/EBPalpha C-terminus beyond the bZIP DNA-binding and dimerization region, which may mediate cooperative activation by C/EBPalpha and GABP of myeloid-specific genes PMID: 24076158
- GABP alpha is required for YAP expression in vitro and in vivo, and that YAP is an important effector downstream of GABP for cell survival and cell-cycle progression. PMID: 23684612
- When NRF-2alpha and NRF-2beta form a complex, the nuclear import of NRF-2alphabeta becomes strictly dependent on the nuclear localization signal within NRF-2beta. PMID: 23856623
- Results suggest that the NRF-2 A/C polymorphism is associated with endurance performance at the elite level in a Spanish population. PMID: 22749526
- although ELK1 and GABPA ultimately control the same biological process, they do so by regulating different cohorts of target genes associated with cytoskeletal functions and cell migration contro PMID: 23284628
- The phenotype is best uniformly termed congenital cone-rod synaptic disorder. In Saudi Arabia a founder homozygous c.81_82insA CABP4 mutation is a recurrent cause. PMID: 23099293
- expression of NRF-2alpha in hepatocellular carcinoma (HCC) and tumor-adjacent specimens; higher-grade frequency of expression of NRF-2alpha in tumor-adjacent tissues was higher than tumor tissues, suggesting NRF-2alpha may play important role in carcinogenesis of HCC PMID: 20127517
- Hepatoprotection of quercetin against oxidative stress by induction of metallothionein expression through activating MAPK and PI3K pathways and enhancing Nrf2 DNA-binding activity. PMID: 21624509
- an Nrf2-dependent response to exogenous stimuli may affect annual FEV1 decline PMID: 21774808
- NRF2 A/C and NRF2 C/T single nucleotide polymorphisms (SNPs) are associated, separately and in combination, with elite endurance athletes. PMID: 20028934
- Data show that NRF2 binds to the proximal promoter region of the genes coding for the mTERF, POLRMT, the B subunit of the DNA polymerase-gamma, TWINKLE, and the single-stranded DNA-binding protein mtSSB. PMID: 19951946
- Data show that a significant overlaps between the ELK1- and SRF-binding regions, and between ELK1- and GABPA-binding regions. PMID: 19687146
- GABP is essential for the regulation of IL-7Ralpha expression in T cells. PMID: 15361867
- there is a physical interaction between the GABPalpha subunit and C/EBPalpha PMID: 15928042
- TRAP220/MED1 plays a novel coregulatory role in facilitating the recruitment of TRAP/Mediator to specific target genes involved in growth and cell cycle progression via GABP PMID: 16574658
- GABPA and p300 are essential components of retinoic acid-induced enhanceosome in myeloid cells. PMID: 16581781
- NRF-2 may play a key role in the regulation of mitochondrial protein synthesis in a cell line. PMID: 17161026
- Upon activation of AChR, GABP recruits the histone acetyl transferase (HAT) p300 on the AChR epsilon subunit promoter, whereas it rather recruits the histone deacetylase HDAC1 when the promoter is not activated. PMID: 17304221
- These findings demonstrate that GABP regulates the majority of divergent promoters and suggest that bidirectional transcriptional activity is mediated through GABP binding and transactivation at both divergent and nondivergent promoters. PMID: 18020712
- nuclear respiratory factor-2 binding site methylation suppresses the promoter activity of the human TOMM70 gene PMID: 18852034
- ILF-3, which has been known to regulate IL-2 expression in T cells, up-regulates synoviolin expression with GABPalpha in rheumatoid synovial cells PMID: 19116932
- study identified a decrease in a transcription factor complex containing NRF-2 in nuclear extracts from multiple sclerosis cortex; decrease correlates with decreased expression of electron transport chain subunit genes & increased oxidative damage PMID: 19187944
- The intronic DNase I-hypersensitive sites element acts in cis to maintain transcriptional competency at the TMS1 locus and that this activity is mediated by the ets transcription factor, GABPalpha. PMID: 19324871
顯示更多
收起更多
-
亞細胞定位:Nucleus.
-
蛋白家族:ETS family
-
數據庫鏈接:
Most popular with customers
-
-
YWHAB Recombinant Monoclonal Antibody
Applications: ELISA, WB, IHC, IF, FC
Species Reactivity: Human, Mouse, Rat
-
Phospho-YAP1 (S127) Recombinant Monoclonal Antibody
Applications: ELISA, WB, IHC
Species Reactivity: Human
-
-
-
-
-















