Fxn Antibody
-
中文名稱:Fxn兔多克隆抗體
-
貨號:CSB-PA009086LA01MO
-
規格:¥3,900
-
圖片:
-
Western Blot
Positive WB detected in: HepG2 whole cell lysate(30μg), Hela whole cell lysate(30μg), JK whole cell lysate(20μg), Raji whole cell lysate(30μg), A549 whole cell lysate(30μg), Mouse Brain tissue lysate(30μg),Mouse Liver tissue lysate(30μg)
All lanes: Fxn antibody at 1:1000
Secondary
Goat polyclonal to rabbit IgG at 1/20000 dilution
Predicted band size: 23 kDa
Observed band size: 23 kDa
Exposure time: 120s -
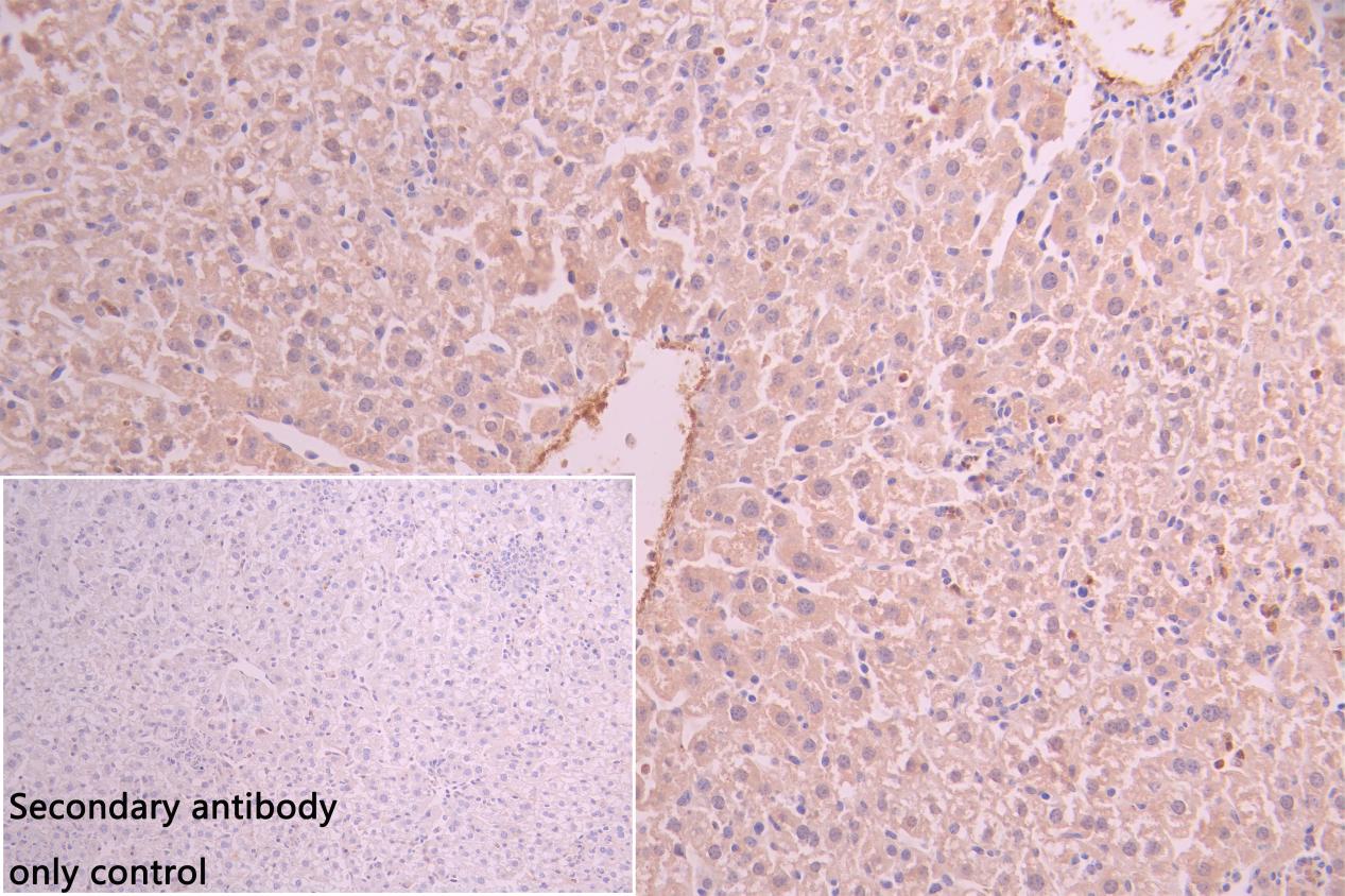
IHC image of CSB-PA009086LA01MO diluted at 1:66 and staining in paraffin-embedded human Liver tissue performed on a Leica BondTM system. After dewaxing and hydration, antigen retrieval was mediated by high pressure in a citrate buffer (pH 6.0). Section was blocked with 10% normal goat serum 30min at RT. Then primary antibody (1% BSA) was incubated at 4°C overnight. The primary is detected by a Goat anti-rabbit polymer IgG labeled by HRP and visualized using 0.05% DAB. Secondary antibody only control: uses 1% BSA instead of primary antibody
-
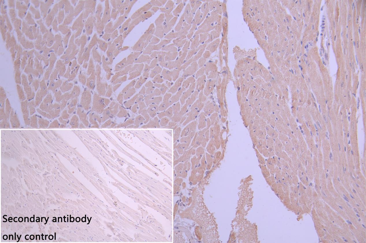
IHC image of CSB-PA009086LA01MO diluted at 1:66 and staining in paraffin-embedded human Heart tissue performed on a Leica BondTM system. After dewaxing and hydration, antigen retrieval was mediated by high pressure in a citrate buffer (pH 6.0). Section was blocked with 10% normal goat serum 30min at RT. Then primary antibody (1% BSA) was incubated at 4°C overnight. The primary is detected by a Goat anti-rabbit polymer IgG labeled by HRP and visualized using 0.05% DAB. Secondary antibody only control: uses 1% BSA instead of primary antibody
-
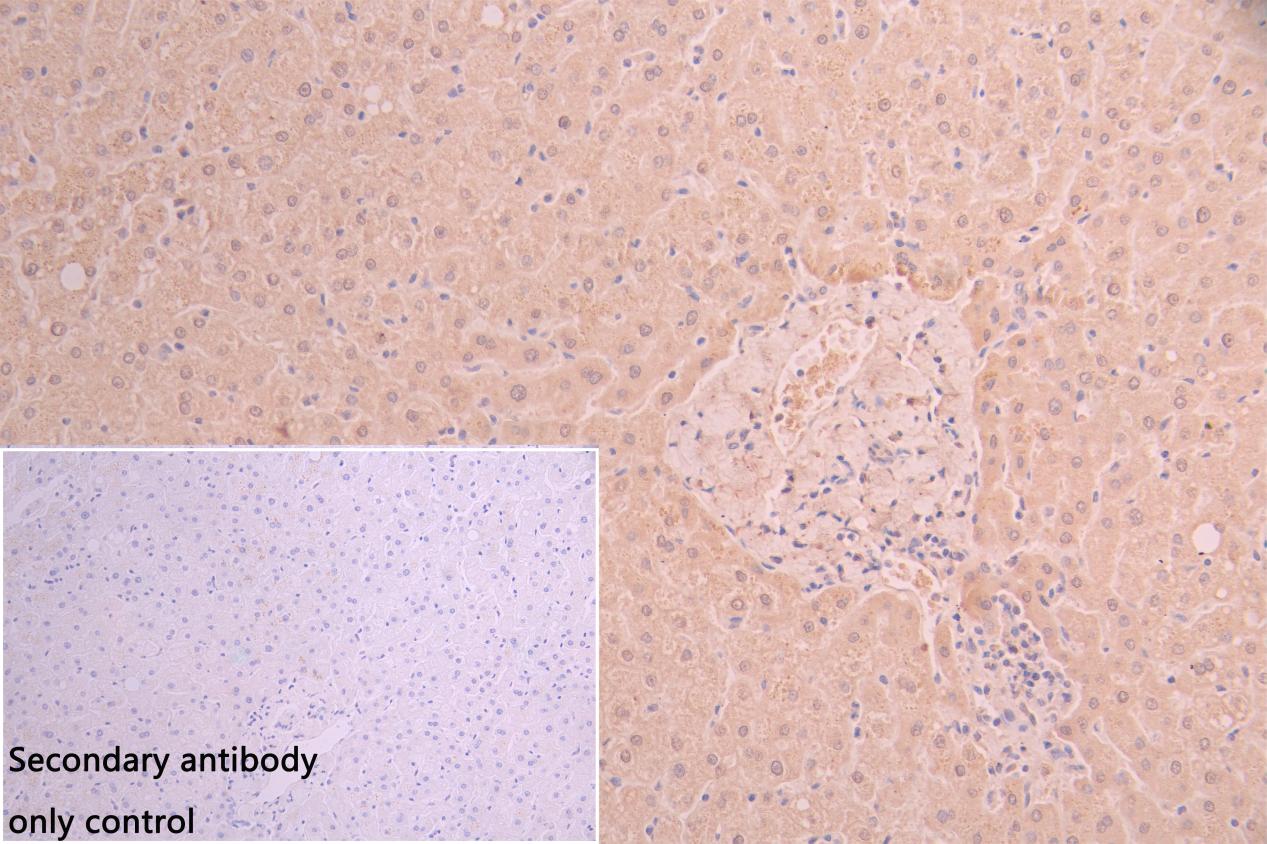
IHC image of CSB-PA009086LA01MO diluted at 1:66 and staining in paraffin-embedded rat Liver tissue performed on a Leica BondTM system. After dewaxing and hydration, antigen retrieval was mediated by high pressure in a citrate buffer (pH 6.0). Section was blocked with 10% normal goat serum 30min at RT. Then primary antibody (1% BSA) was incubated at 4°C overnight. The primary is detected by a Goat anti-rabbit polymer IgG labeled by HRP and visualized using 0.05% DAB. Secondary antibody only control: uses 1% BSA instead of primary antibody
-
IHC image of CSB-PA009086LA01MO diluted at 1:66 and staining in paraffin-embedded mouse Liver tissue performed on a Leica BondTM system. After dewaxing and hydration, antigen retrieval was mediated by high pressure in a citrate buffer (pH 6.0). Section was blocked with 10% normal goat serum 30min at RT. Then primary antibody (1% BSA) was incubated at 4°C overnight. The primary is detected by a Goat anti-rabbit polymer IgG labeled by HRP and visualized using 0.05% DAB. Secondary antibody only control: uses 1% BSA instead of primary antibody
-
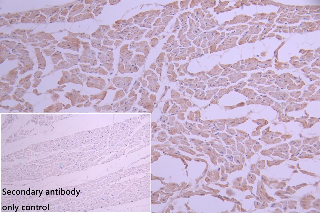
IHC image of CSB-PA009086LA01MO diluted at 1:66 and staining in paraffin-embedded mouse Heart tissue performed on a Leica BondTM system. After dewaxing and hydration, antigen retrieval was mediated by high pressure in a citrate buffer (pH 6.0). Section was blocked with 10% normal goat serum 30min at RT. Then primary antibody (1% BSA) was incubated at 4°C overnight. The primary is detected by a Goat anti-rabbit polymer IgG labeled by HRP and visualized using 0.05% DAB. Secondary antibody only control: uses 1% BSA instead of primary antibody
-
-
其他:
產品詳情
-
產品名稱:Rabbit anti-Mus musculus (Mouse) Fxn Polyclonal antibody
-
Uniprot No.:
-
基因名:
-
別名:Fxn antibody; FrdaFrataxin antibody; mitochondrial antibody; Fxn antibody; EC 1.16.3.1) [Cleaved into: Frataxin intermediate form; Frataxin mature form] antibody
-
宿主:Rabbit
-
反應種屬:Mouse, Human
-
免疫原:Recombinant Mouse Frataxin, mitochondrial protein (78-207AA)
-
免疫原種屬:Mus musculus (Mouse)
-
克隆類型:Polyclonal
-
抗體亞型:IgG
-
純化方式:Antigen?affinity?purification
-
濃度:It differs from different batches. Please contact us to confirm it.
-
保存緩沖液:Preservative: 0.02% sodium azide
Constituents: 50% Glycerol, 0.01M PBS, pH 7.4 -
產品提供形式:Liquid
-
應用范圍:ELISA, WB, IHC
-
推薦稀釋比:
Application Recommended Dilution WB 1:500-1:2000 IHC 1:50-1:200 -
Protocols:
-
儲存條件:Upon receipt, store at -20°C or -80°C. Avoid repeated freeze.
-
貨期:Basically, we can dispatch the products out in 1-3 working days after receiving your orders. Delivery time maybe differs from different purchasing way or location, please kindly consult your local distributors for specific delivery time.
-
用途:For Research Use Only. Not for use in diagnostic or therapeutic procedures.
相關產品
靶點詳情
-
功能:Promotes the biosynthesis of heme and assembly and repair of iron-sulfur clusters by delivering Fe(2+) to proteins involved in these pathways. May play a role in the protection against iron-catalyzed oxidative stress through its ability to catalyze the oxidation of Fe(2+) to Fe(3+); the oligomeric form but not the monomeric form has in vitro ferroxidase activity. May be able to store large amounts of iron in the form of a ferrihydrite mineral by oligomerization. Modulates the RNA-binding activity of ACO1.
-
基因功能參考文獻:
- This study demonstrated that mouse model of Friedreich's ataxia showed that decreased grip strength endurance time , threshold of peripheral sensitivity using Von Frey monofilaments and gait parameters. PMID: 27575947
- Here, the authors show that loss of Fxn in the nervous system in mice also activates an iron/sphingolipid/PDK1/Mef2 pathway, indicating that the mechanism is evolutionarily conserved. PMID: 27901468
- The in vitro antioxidant treatments trigger the axonal re-growth and the increase in stable MTs in shFxn, thus contributing to identify new neuronal targets of oxidation in this disease and providing a novel approach for antioxidant therapies. PMID: 27516386
- Retinal FXN levels are increased in response to ischemia. Furthermore, elevated FXN levels had a clear neuroprotective effect as shown by increased ganglion cell survival after acute retinal ischemia/reperfusion. Frataxin's neuroprotective effect was associated with an upregulation of antioxidative enzymes. PMID: 27537261
- Frataxin Deficiency Promotes Excess Microglial DNA Damage and Inflammation that Is Rescued by PJ34 PMID: 26954031
- Frataxin-deficient mice, which had higher mitochondrial iron loading, showed impaired airway mucociliary clearance and higher pulmonary inflammation at baseline. PMID: 26752519
- Using a mouse model of hepatic FXN deficiency in combination with mice deficient for IRP1, a key regulator of cellular iron metabolism, we show that IRP1 activation in conditions of Fe-S deficiency increases the available cytosolic labile iron pool PMID: 25651183
- The Fxn KO/Mck mice tested from one to two months of age showed abnormal gait patterns accompanied by a loss in motor skills PMID: 25765157
- Reduced expression of frataxin in Friedreich's ataxia leads to elevation of COX2-mediated oxylipin synthesis stimulated by increases in transcription factors that respond to increased reactive oxygen species. PMID: 25104852
- Frataxin-deficient cells showed a specific inhibition of mitochondrial Complex I activity already at 70% residual frataxin levels, whereas the glutathione imbalance progressively increased after silencing. PMID: 24714088
- The results support a mechanistic hypothesis in which frataxin deficiency decreases Nrf2 expression in vivo, causing the sensitivity to oxidative stress in target tissues the DRG and the cerebella, which contributes to the process of neurodegeneration. PMID: 23350650
- rescue of the Friedreich ataxia knockout mutation in transgenic mice containing an FXN-EGFP genomic reporter PMID: 24667739
- these results indicate that IGF-I exerts cell-context neuroprotection in frataxin deficiency that maybe therapeutically effective. PMID: 23039828
- Data show that the respiratory chain defects accompanying frataxin deficiency cause progressive hyperacetylation of cardiac mitochondrial proteins due to the inhibition of SIRT3 deacetylase. PMID: 22394676
- dual, pro-proliferative but chemosensitizing role in astrocytic tumors PMID: 21863062
- Distribution of frataxin in eye retina of normal mice and of transgenic R7E mice with retinal degeneration PMID: 20799613
- As an attempt to generate a mouse model of Friedreich ataxia, we introduced a (GAA)(230) repeat within the mouse frataxin gene by homologous recombination. PMID: 11852098
- studies indicate an association between frataxin deficiency, iron deposits and cardiac fibrosis, but no obvious association between iron accumulation and neurodegeneration similar to Friedreich ataxia could be detected PMID: 12880182
- frataxin has a role in cellular growth arrest and apoptosis, and its absence can cause experimental diabetes PMID: 12925693
- We have generated two mouse models for FRDA that specifically develop progressive mixed cerebellar and sensory ataxia, the most prominent neurological features of Friedreich ataxia with a slowly progressive neurological degeneration PMID: 14985441
- frataxin may act as a mitochondrial tumor suppressor protein PMID: 16278235
- The identification of a core set of genes changing early in the FRDA pathogenesis can be a useful tool in both clarifying the disease process and in evaluating new therapeutic strategies. PMID: 16442805
- Reduced expression of mitochondrial frataxin in mice exacerbates diet-induced obesity. PMID: 17404227
- The fxn GAA repeat expansion mutation induces comparable epigenetic changes in human and transgenic mouse brain and heart. PMID: 18045775
- loss of Fxn markedly alters cellular Fe trafficking and Fe chelation limits myocardial hypertrophy in the mutant PMID: 18621680
- Frataxin deficiency causes upregulation of mitochondrial Lon and ClpP proteases and severe loss of mitochondrial Fe-S proteins. PMID: 19154341
- The PPARG pathway is dysregulated in frataxin deficient mice and Friedreich's ataxia patients. PMID: 19376812
- We showed that complete absence of murine frataxin in fibroblasts inhibits cell division and leads to cell death. This lethal phenotype was rescued through transgenic expression of human wild type as well as mutant (hFXN(G130V) and hFXN(I154F)) frataxin PMID: 19629184
- Results enable the construction of a model explaining the cytosolic iron deficiency and mitochondrial iron loading in the absence of frataxin, which is important for understanding the pathogenesis of Friedreich's ataxia. PMID: 19805308
顯示更多
收起更多
-
亞細胞定位:Cytoplasm, cytosol. Mitochondrion. Note=PubMed:17597094 describes localization exclusively in mitochondria.
-
蛋白家族:Frataxin family
-
組織特異性:Heart, liver, skeletal muscle, kidney, spleen and thymus. Weakly expressed in the brain and lung.
-
數據庫鏈接:
Most popular with customers
-
-
YWHAB Recombinant Monoclonal Antibody
Applications: ELISA, WB, IHC, IF, FC
Species Reactivity: Human, Mouse, Rat
-
Phospho-YAP1 (S127) Recombinant Monoclonal Antibody
Applications: ELISA, WB, IHC
Species Reactivity: Human
-
-
-
-
-















